胸腹部大動脈瘤の治療
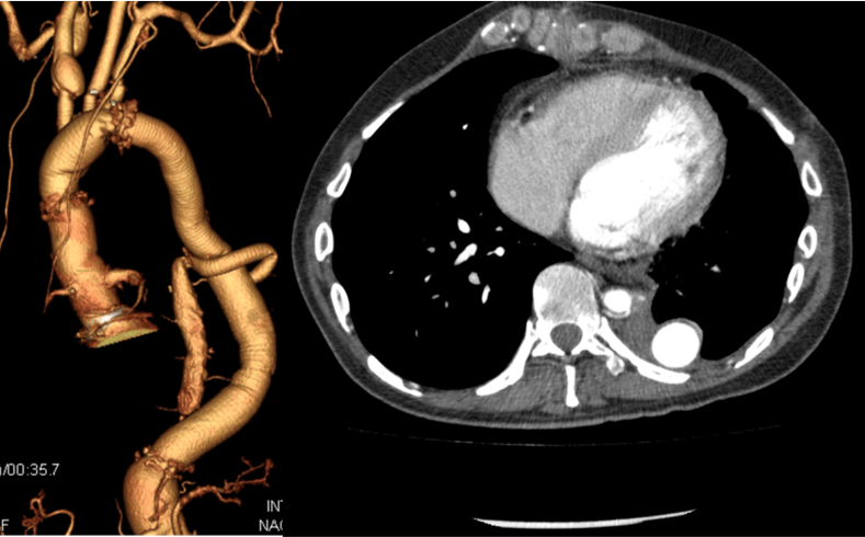
大動脈瘤(血管のこぶ)は「大動脈の一部の壁が、全周性または局所性に拡大または突出した状態」と定義され、その直径が正常径の1.5倍を超えて拡大した場合を指します。胸腹部大動脈瘤は、胸部と腹部を隔てる横隔膜にまたがる大動脈瘤のことであり、高血圧や大動脈解離などによる炎症が原因で発生します。
本邦のガイドラインでは、60mmを超えるものや半年で5mm以上拡大するものは特に破裂の危険性が高いといわれています。また60mmに満たなくても症状(痛み)のあるものは危険性が高いです。治療は開胸開腹下人工血管置換術、ステントグラフト内挿術が挙げられます。最近ステントグラフトによる治療が増えてきておりますが、人工血管置換術と比べて対麻痺を下げる結果には至っておりません。

開胸開腹下人工血管置換術について
手術範囲にもよりますが、第5-6肋間左開胸~第7-8肋間開胸に後腹膜アプローチを追加して大動脈に到達します。

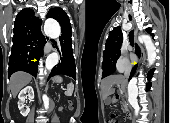
大動脈解離が原因の場合、動脈瘤が広範囲にわたることが多く脊髄を栄養する肋間動脈や腸・肝臓・膵臓や腎臓を栄養する腹部の動脈をどのように温存するかが重要になります。とくに脊髄の合併症が重篤であり、脊髄梗塞を発症すると下半身不随(対麻痺)や直腸膀胱障害を起こします。脊髄梗塞を予防する方法がこれまでに多数報告されてきておりますが、当院では術前の脊髄動脈(Adamkiewics動脈)の特定(CT、MRI)を行っております。脊髄動脈は、肋間動脈の第7肋間動脈~第4腰動脈のいずれかから栄養されているといわれています。これまでは同定が困難といわれていましたが、臨床画像の進化により最近ではある程度同定ができるようになってきました。脊髄動脈の特定を予め行っておくことで重要な肋間動脈を選択に再建することが可能になり、これにより対麻痺の発症を下げることができるようになりました。また脊髄梗梗塞の危険性が高い方には、脊髄ドレナージ(術前・術後に脊髄腔へ管を入れる)を行うことで、ある程度予防また治療を行うことができます。

CTやMRIによる脊髄動脈の特定が困難な場合、患者様の状態によって肋間動脈をまとめて再建する方法を当科では行っております。これがVascular
Tube Technique(血管ロール法)による肋間動脈再建法です。この方法のメリットは、脊髄動脈を同定する必要がなくたくさんの肋間動脈を一気に再建できる点にあります。これにより脊髄動脈虚血を防ぎ、その虚血時間も短時間にできること、出血リスクをさげることができます。当院では、2004年頃よりVascular
Tube Techniqueを用いた肋間動脈再建を行い、この手術法により脊髄麻痺発症率0%と良好な成績を認めております。また遠隔期の成績も良好であり、遅発性対麻痺の発生もありません

引用
1) 日本循環器学会ガイドライン
2) J Thorac Cardiovasc Surg. 2019 Feb 12:S0022-5223(19)30352-6. doi: 10.1016/j.jtcvs.2019.01.120.
Online ahead of print.
3) Interact Cardiovasc Thorac Surg. 2010 Jul;11(1):15-9. doi: 10.1510/icvts.2009.223099.
Epub 2010 Apr 12.
4) Ann Thorac Surg. 2010 Oct;90(4):1237-44; discussion 1245. doi: 10.1016/j.athoracsur.2010.04.091.
5) Eur J Cardiothorac Surg. 2006 Mar;29(3):413-5. doi: 10.1016/j.ejcts.2005.12.010.
Epub 2006 Jan 24.
文責 六鹿雅登 内田亘 中田俊介