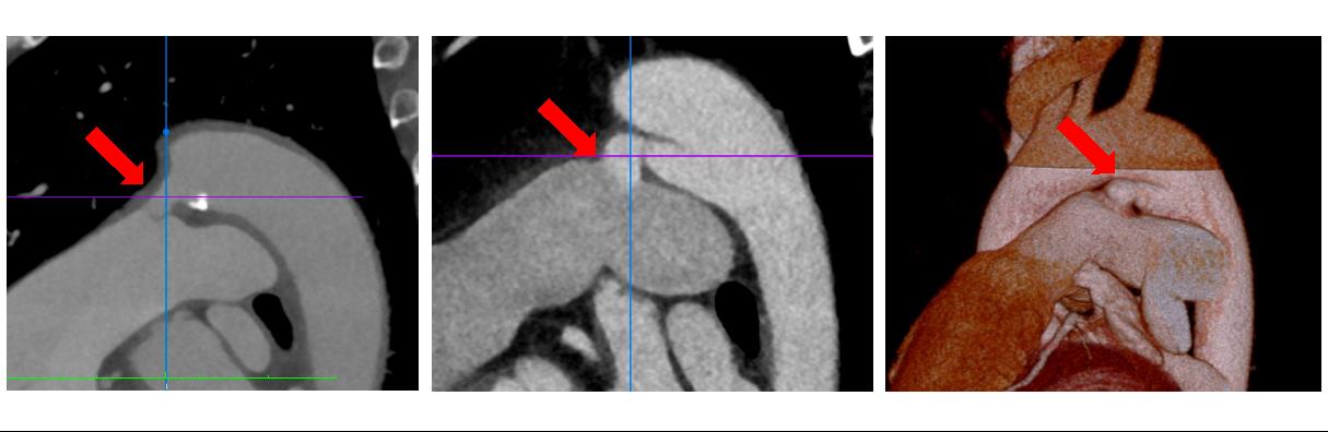
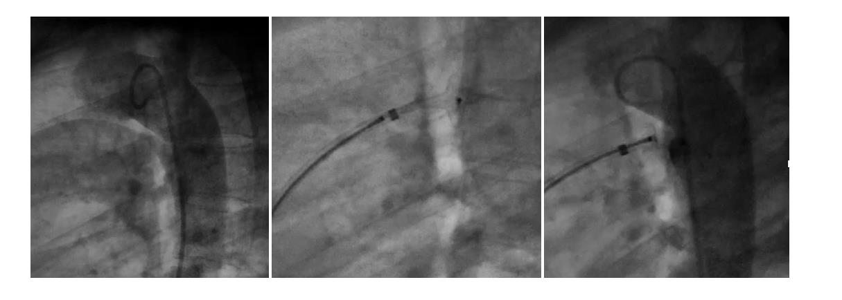
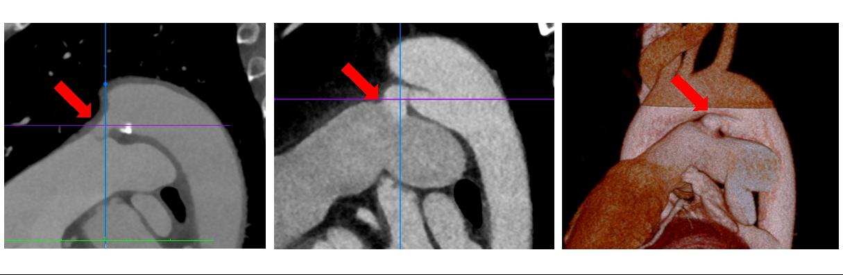
先天性心疾患の手術ができるようになったのは今から約70年前ですが、治療成績は飛躍的に向上してきました。国内で、すでに成人になった先天性心疾患の人は50万人以上いると言われています。
しかし長い年月が経ってから、以前受けた手術の影響や、元々の病気の悪化で、何らかの症状や問題が出てくることがあります。何らかの症状が出て悪くなる前の段階の適切なタイミングで適切な治療を受けることが、長く元気でいられるためには重要です。
当院では、特に成人先天性心疾患(ACHD:Adult congenital heart disease)の方の診断、治療、手術に取り組んでいます
以下の  成人先天性心疾患(ACHD)の外来を行っております
心臓外科
六鹿 雅登 月曜日
櫻井一  水曜日
循環器内科
森本 竜太 木曜日
古澤 健司 月曜日
田中 哲人 金曜日
原則的にはかかりつけ医さまからの紹介状を頂いた上、病診連携を通じて受診されてください
 




