Radiology/Interventional & Therapeutic Radiology/Radiation Oncology
KEYWORDS
- MRI
- endolymphatic hydrops
- 4D-flow
- breast cancer
- CAD
- PET
- IVR
- intraoperative radiotherapy
- carbon ion
- radiology
- radiation oncology
HEAD

LAB MEMBER
| Faculty | Position | Researchers |
|---|---|---|
| TAOKA Toshiaki | Designated Professor | Researchers |
| SATAKE Hiroko | Professor of Practice | Researchers |
| ISHIHARA Shunichi | Professor | Researchers |
| MINAMIMOTO Ryogo | Designated Professor | Researchers |
| IIMA Mami | Designated Professor | Researchers |
| KAWAMURA Mariko | Associate Professor | Researchers |
| KOMADA Tomohiro | Associate Professor | Researchers |
| ISHIGAKI Satoko | Lecturer | Researchers |
| OGAWA Hiroshi | Lecturer | Researchers |
| NAKAMICHI Rei | Assistant Lecturer | Researchers |
| NAKANE Toshiki | Assistant Lecturer | Researchers |
| HYODO Ryota | Assistant Lecturer | Researchers |
| ITO Rintaro | Assistant Lecturer | Researchers |
| NAGASAKA Ken | Assistant Professor | Researchers |
| ABE Yumi | Assistant Professor | Researchers |
| KAMIYA Shinichiro | Assistant Professor | Researchers |
| OKUMURA Masayuki | Assistant Professor | Researchers |
| HAYASHI Yoko | Assistant Professor | Researchers |
| TERABE Mitsuaki | Assistant Professor | Researchers |
| OTA Yasunori | Assistant Professor | Researchers |
| HORIGUCHI Ryota | Assistant Professor | Researchers |
| MIYACHI Takayuki | Assistant Professor | Researchers |
| NAGAI Naoya | Assistant Professor | Researchers |
| SATO Yuki | Assistant Professor | Researchers |
| UOTA Fuga | Assistant Professor | Researchers |
| YASUI Ryotaro | Assistant Professor | Researchers |
| TONE Yurika | Assistant Professor | Researchers |
| HIGASHI Marina | Assistant Professor | Researchers |
| OIE Yumi | Assistant Professor (part-time) |
CONTACT
| radchief.nagoya◎gmail.com (Please send a message after replacing "◎" mark with "@" mark. ) | |
| HP | Private Page |
OUTLINE
Our department is dedicated to advancing the field of radiology and radiation oncology in both education and research through clinical practice. While research is conducted in all areas of radiology and radiation oncology, we put emphasis especially on the clinical research that targets various diseases of all the organs in the body. Recent research include "Clinical application of high-field MRI", "High-precision radiotherapy", "Development of computer-aided diagnosis system (CAD) on CT", "Development and application of advanced IVR technology", "Nuclear medicine based on the use of new radiotracers".
Our principle direction for clinical research is to reduce radiation dose and invasive procedures in both diagnosis and treatment. We also put a lot of effort on the original works visualizing true conditions of diseases through images with collaboration across departments in our institution. Further, the developments of a new technology in cooperation with the industrial companies are also carried out.
We will continue to take great initiatives of cutting-edge diagnostic imaging techniques and advanced radiological therapies as well as training clinicians and researchers of this field for the next-generation.
RESEARCH PROJECTS
1. MRI
i) Inner ear
【Objective MRI diagnosis of endolymphatic hydrops in Meniere's disease and visualization of waste clearance system of brain】
Shinji Naganawa
Key features of Meniere's disease are rotating vertigo attacks, hearing loss, ear fullness and tinnitus. Pathological hallmark is endolymphatic hydrops. Conventional diagnosis has been based on subjective clinical diagnosis. By the collaboration with ENT department, we succeeded to visualize endolymphatic hydrops in Meniere's disease patient with MR imaging after intratymphatic gadolinium injection in 2007. Then we kept improving the methods and now we can obtain the images by clinically feasible intravenous gadolinium injection. Analysis of pathophysiology and treatment effect by the results of endolymphatic hydrops images are continuing in Meniere's disease and related diseases such as delayed endolymphatic hydrops and Migraine with vertigo. We are also trying to visualize the function of glymphatic system, which is the waste clearance system of brain.
References:
- Naganawa S, Nakane T, Kawai H, Taoka T. Gd-based Contrast Enhancement of the Perivascular Spaces in the Basal Ganglia. Magn Reson Med Sci. 2016 Jul 12. [Epub ahead of print] PubMed PMID: 27430361.
- Nakashima T, Pyykkö I, Arroll MA, Casselbrant ML, Foster CA, Manzoor NF, Megerian CA, Naganawa S, Young YH. Meniere's disease. Nat Rev Dis Primers. 2016 May 12;2:16028. doi: 10.1038/nrdp.2016.28. PubMed PMID: 27170253.

A MR image obtained 4 hours after intravenous administration of single dose gadolinium based contrast agent.
Dilated endolymphatic space (black area) is clearly depicted in a patient with delayed endolymphatic hydrops.
ii) Brain
【Exploring fine structure by MR diffusion images.】
Toshiaki Taoka
Diffusion image is an indispensable imaging technique in the clinical practice for central nervous system. At the same time, this technique is also a powerful tool for exploring fine structures of the tissue in the central nervous system. There are variety of imaging technique including diffusion tensor method which can delineate the special distribution of the water diffusion and non-Gaussian diffusion technique which can evaluate the modification of the water diffusion by tissue microstructure. We are studying and evaluating the tissue changes by various pathological status within central nervous system by using these techniques. We are now challenging on the evaluation of the glymphatic system, which is a functional waste clearance pathway for the vertebrate central nervous system, by using these diffusion images.
References:
- Taoka T, Fujioka M, Kashiwagi Y, Obata A, Rokugawa T, Hori M, Masutani Y, Aoki S, Naganawa S, Abe K. Time Course of Diffusion Kurtosis in Cerebral Infarctions of Transient Middle Cerebral Artery Occlusion Rat Model. J Stroke Cerebrovasc Dis. 2016 Mar;25(3):610-7. doi: 10.1016/j.jstrokecerebrovasdis. PMID: 26725123
- Taoka T, Fujioka M, Sakamoto M, Miyasaka T, Akashi T, Ochi T, Hori S, Uchikoshi M, Xu J, Kichikawa K. Time course of axial and radial diffusion kurtosis of white matter infarctions: period of pseudonormalization. AJNR Am J Neuroradiol. 2014 Aug;35(8):1509-14. doi: 10.3174/ajnr.A3908. PMID: 24699091

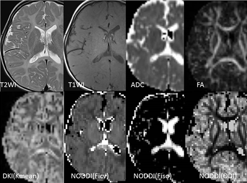
Diffusion images of a case of Pelizaeus-Merzbacher disease (PMD)
PMD is a disorder that shows impaired myelination. T2WI and T1WI indicate loss of the signal from normal white matter. ADC image shows slight increase of the diffusivity in the white matter, and fractional anisotropy (FA) image shows obvious high value along the white matter distribution.
The lower column shows non-Gaussian diffusion images. Diffusion kurtosis image (DKI) shows lower kurtosis except in the splenium. Neurite Orientation Dispersion and Density Imaging (NODDI) shows widespread decrease of the neurite density (Ficv), while free water diffusion (Fiso) and orientation dispersion index (ODI) shows resemble distribution with normal brain.
iii) Vascular imaging
【Abnormal blood flow dynamics may create vascular wall pathologies. Assessment with magnetic resonance.】
Yasuo Takehara
Recently, the investigator is engaged in blood flow analysis using 3D cine phase contrast MRI (4DFLOW). 4DFLOW can quantitatively measure blood flow of the organs and vessels. It is used for the correct assessment and diagnosis of endoleaks after endovascular stent replacement for the abdominal aortic aneurysm. The investigators have also been engaged in the research to predict vascular pathologies with use of 4DFLOW. The background of this research is based on the belief and evidences that the slow and turbulent flow creates atherosclerotic pathologies in the vessels. It is therefore expected that the detection of abnormal flow dynamics in the vessels may predict future atherosclerotic pathologies.
References:
- Mano Y, Takehara Y, Sakaguchi T, Alley MT, Isoda H, Shimizu T, Wakayama T, Sugiyama M, Sakahara H, Konno H, Unno N. Hemodynamic assessment of celiaco-mesenteric anastomosis in patients with pancreaticoduodenal artery aneurysm concomitant with celiac artery occlusion using flow-sensitive four-dimensional magnetic resonance imaging. Eur J Vasc Endovasc Surg. 2013 Sep;46(3):321-8. doi: 10.1016/j.ejvs.2013.06.011. PMID: 23880423
- Suwa K, Saitoh T, Takehara Y, Sano M, Nobuhara M, Saotome M, Urushida T, Katoh H, Satoh H, Sugiyama M, Wakayama T, Alley M, Sakahara H, Hayashi H. Characteristics of intra-left atrial flow dynamics and factors affecting formation of the vortex flow - analysis with phase-resolved 3-dimensional cine phase contrast magnetic resonance imaging. Circ J. 2015;79(1):144-52. doi: 10.1253/circj. PMID: 25391258
- Sakata M, Takehara Y, Katahashi K, Sano M, Inuzuka K, Yamamoto N, Sugiyama M, Sakahara H, Wakayama T, Alley MT, Konno H, Unno N. Hemodynamic Analysis of Endoleaks After Endovascular Abdominal Aortic Aneurysm Repair by Using 4-Dimensional Flow-Sensitive Magnetic Resonance Imaging. Circ J. 2016 Jul 25;80(8):1715-25. doi: 10.1253/circj. PMID: 27357219
- Suwa K, Saitoh T, Takehara Y, Sano M, Saotome M, Urushida T, Katoh H, Satoh H, Sugiyama M, Wakayama T, Alley M, Sakahara H, Hayashi H. Intra-left ventricular flow dynamics in patients with preserved and impaired left ventricular function: Analysis with 3D cine phase contrast MRI (4D-Flow). J Magn Reson Imaging. 2016 May 17. doi: 10.1002/jmri.25315. [Epub ahead of print] PubMed PMID: 27185516.

Streamline image at systole Wall shear stress map at systole
Stream line analysis and wall shear stress (WSS) map of a patient with infrarenal abdominal aortic aneurysm. (AAA) Although laminar in the undilated upstream aorta, marked vortex and turbulent flow is evident in the AAA on this streamline analysis. On the WSS map, AAA wall is characterized by diffusely decreased WSS, which may be suggesting further atheroscrelotic drive occurring in the AAA wall.
iv) Breast
【Clinical application of quantified breast cancer diagnosis using MRI】
Hiroko Satake
In the breast MRI, diffusion-weighted imaging (DWI) is a useful technique that provides microstructural information at the cellular level without the need for contrast media. On the other hand, dynamic contrast-enhanced MRI (DCE-MRI) is available for evaluating vascular function of tumor angiogenesis, which plays a key role in the growth and metastasis of breast cancer. We have been analyzing diagnosis and response to neoadjuvant chemotherapy of the breast cancers quantitatively using DWI and DCE-MRI. We are now studying correlation between quantitative parameters acquired from breast MRI and prognostic and survival factors of breast cancers.
References:
- Hirano M, Satake H, Ishigaki S, Ikeda M, Kawai H, Naganawa S. Diffusion-weighted imaging of breast masses: comparison of diagnostic performance using various apparent diffusion coefficient parameters. AJR Am J Roentgenol. 2012 Mar;198(3):717-22. doi: 10.2214/AJR.11.7093. PMID: 22358015
- Kawamura M, Satake H, Ishigaki S, Nishio A, Sawaki M, Naganawa S. Early prediction of response to neoadjuvant chemotherapy for locally advanced breast cancer using MRI. Nagoya J Med Sci. 2011 Aug;73(3-4):147-56. PMID: 21928696

DCE-MR images of triple-negative breast cancer.
The image shows a parametric color map of ve, which is a quantitative parameter referring to volume of stromal space. Peripheral tumor area shows higher ve values (red area, arrows). Intra-tumoral area includes regions with lower ve values (blue area).
2. CT
【Development of computer-aided diagnosis (CAD) for chest CT applying artificial intelligence】
Shingo Iwano
Diagnosis of chest CT has been assessed visually and qualitatively by radiologists, though multi-detector row CT (MDCT) and area-detector CT (ADCT) make them difficult to process only by manpower. In our group, a lot of CAD to quantify chest CT images has been developed by collaboration with respiratory medicine, thoracic surgery, image engineering, and enterprise. Main CAD system we have developed are as follows: 1) Shape classification, quantifying ground-glass opacity and 3D volumetry of lung cancer 2) Virtual bronchoscopy to guide bronchoscope 3) Virtual segmentectomy using 3D-CT angiography 4) Automated pulmonary lobar volumetry. Recently, we are approaching to CT diagnosis based on artificial intelligence.
References:
- Iwano S, Ito R, Umakoshi H, Ito S, Naganawa S. Evaluation of lung cancer by enhanced dual-energy CT: association between three-dimensional iodine concentration and tumour differentiation. Br J Radiol. 2015;88(1055):20150224 doi: 10.1259/bjr.20150224. PMID:26329466
- Iwano S, Yokoi K, Taniguchi T, Kawaguchi K, Fukui T, Naganawa S. Planning of segmentectomy using three-dimensional computed tomography angiography with a virtual safety margin: technique and initial experience. Lung Cancer. 2013;81(3):410-5. doi: 10.1016/j.lungcan.2013.06.001. PMID: 23838090

3. Nuclear Medicine
【Comparison of 18F-fluoride PET/CT, 18F-FDG PET/CT, and bone scintigraphy (planar and SPECT) in detection of bone metastases of differentiated thyroid cancer】
Katsuhiko Kato
Differentiated thyroid carcinoma (DTC) shows a relatively good prognosis compared with carcinomas of other organs and the 10-y survival rate of DTC is > 80%. However, metastases of DTC develop in 7- 23% of patients; the distant metastases occur commonly in lung, bone, and brain, and bone metastasis are the second common site of metastases of DTC. We found that the specificity and the overall accuracy of 18F-FDG PET for the detection of bone metastases in patients with DTC were higher than those of planar 99mTc bone scintigraphy, and concluded that 18F-FDG PET is superior to planar 99mTc bone scintigraphy because of its lower incidence of false-positive results in the detection of bone metastases of DTC. The sensitivity and accuracy of 18F-fluoride PET/CT for the detection of bone metastases of DTC are significantly higher than that of 99mTc bone scintigraphy (planar). However, the sensitivity and accuracy of 99mTc bone scintigraphy (planar) are improved to the level of 18F-fluoride PET/CT when SPECT is added to a planar scan. The sensitivity of 18F-FDG PET/CT is significantly lower than that of 18F-fluoride PET/CT or 99mTc bone scintigraphy (SPECT).
References:
- Ito S, Kato K, Ikeda M, Iwano S, Makino N, Tadokoro M, Abe S, Nakano S, Nishino M, Ishigaki T, Naganawa S. Comparison of 18F-FDG PET and bone scintigraphy in detection of bone metastases of thyroid cancer. J Nucl Med. 2007 Jun;48(6):889-95. doi: 10.2967/jnumed.106.039479. PMID: 17504877
- Ota N, Kato K, Iwano S, Ito S, Abe S, Fujita N, Yamashiro K, Yamamoto S, Naganawa S. Comparison of 18F-fluoride PET/CT, 18F-FDG PET/CT, and bone scintigraphy (planar and SPECT) in detection of bone metastases of differentiated thyroid cancer: a pilot study. Br J Radiol. 2014 Feb;87(1034):20130444. doi: 10.1259/bjr.20130444. PMID: 24297809

Multiple bone metastases of DTC.
From left to right: 131I scintigraphy, 18F-fluoride PET/CT, 18F-FDG PET/CT, anterior and posterior planar bone scintigraphy. Bone metastases at left pelvis and thoracic spine could be detected by all the 4 modalities.
【Comparison of 123I-IMP SPECT, 18F-FDG PET, and 8F-FDOPA PET in Detection of Choroidal Malignant Melanoma】
Katsuhiko Kato
Intraocular malignant melanoma is a rare disease, but it is the most common primary intraocular malignancy in adults. Of all the intraocular malignant melanoma, the most frequent presentation site is in the choroid. Previously we have compared the usefulness of 123I-IMP SPECT and 18F-FDG PET for the detection of choroidal malignant melanoma on the same patients to determine the diagnostic value of the latter in this disease. It has been demonstrated that 123I-IMP SPECT is a sensitive and accurate method for the detection of choroidal malignant melanoma, whereas the efficacy of 18F-FDG PET for this purpose is lower because of a high incidence of false-negative results. Furthermore, we have demonstrated that 123I-IMP SPECT is superior to 18F-FDG PET and 18F-FDOPA PET for the detection of choroidal malignant melanoma.
References:
- Kato K, Kubota T, Ikeda M, Tadokoro T, Abe S, Nakano S, Nishino M, Kobayashi H, Ishigaki T. Low Efficacy of 18F-FDG PET for Detection of Uveal Malignant Melanoma Compared with 123I-IMP SPECT. J Nucl Med. 2006 Mar;47(3):404-9. PMID: 16513608
- Kubota T, Kato K, Ichihara S, Hirose H. Diagnosis of atypical choroidal malignant melanoma using N-isopropyl-p-[123I]-iodoamphetamine single photon emission computed tomography. Jpn J Ophthalmol. 2006 Mar-Apr;50(2):185-7. doi: 10.1007/s10384-005-0280-2. PMID: 16604400
- Kato K, Kubota T, Abe S, Tsuchiya S, Koshiba Y, Yamamoto S, Naganawa S. Comparison of 123I-IMP SPECT, 18F-FDG PET, and 18F-FDOPA PET in Detection of Uveal Malignant Melanoma. J Nucl Med. 2015 May 1; 56 (supplement 3): 1465.

Images of Choroidal Malignant Melanoma.
123I-IMP SPECT images (coronal images) obtained 24 h after injection show positive area in site corresponding to left eye tumor.
4. Interventional Radiology
【Creating three-dimensional micro vascular model using three-dimensional printer】
Kojiro Suzuki
We are studying a three-dimensional vascular model using three-dimensional printer. We are evaluating image processing methods, three-dimensional printer models, and materials for creating hollow type vascular model. Nowadays, vascular model on the level of third vessel branch can be created. We are trying to make three-dimensional microvascular model (1 mm in diameter) using hydrogel material. Highly precise microvascular model is useful for making treatment strategy and choosing the best device for vascular embolization and/or stent deployment.


【Percutaneous transhepatic portal vein embolization -evaluation of embolic materials and liver function】
Kojiro Suzuki
Percutaneous transhepatic portal vein embolization (PTPE) is performed before major hepatic resection. However, the consensus about embolic materials for PTPE is not fully acquired. We use gelatin sponge particles and coils as embolic materials. We are evaluating embolic effect, liver volume change, liver function, and complication. The necessity of segment IV embolization before right hepatic trisegmentectomy is also evaluated.
References:
- Hyodo R, Suzuki K, Ebata T, Komada T, Mori Y, Yokoyama Y, Igami T, Sugawara G, Naganawa S, Nagino M. Assessment of percutaneous transhepatic portal vein embolization with portal vein stenting for perihilar cholangiocarcinoma with severe portal vein stenosis. J Hepatobiliary Pancreat Sci. 2015; 22: 310-5. doi: 10.1002/jhbp.200. PMID: 25546292
5. Radiation Oncology
【Intraoperative radiotherapy for early breast cancer】
Yoshiyuki Itoh, Mariko Kawamura
Accelerated partial breast irradiation (APBI) is now a considerable choice of the treatment for selected patients in Western countries. However, Japanese guideline of breast cancer still grades APBI as C2, that is "should only be performed as clinical trial". Intraoperative radiotherapy (IORT) is a method of APBI that enable to irradiate tumor bed without irradiating skin and by placing shield, heart and lung irradiation will also be avoided. Further, because the post-operative irradiation will be done during the operation, patients do not need to come back for 1.5month of irradiation. We initiated a prospective phase I/II clinical trial of APBI using the intraoperative radiotherapy technique first in Japan in 2007 and have reported its 5 years result first in Asia in 2015. We reported that Asian population tends to have more hypertrophic scarring thus we are continuing our research trying to mitigate the risk of hypertrophic scarring by creating a new shield with soft or flexible material so that the shield can be inserted from smaller scar and as a result, the scar will receive less stress from the shield.
References:
- Kawamura M, Itoh Y, Sawaki M, Kikumori T, Tsunoda N, Kamomae T, Kubota S, Okada T, Nakahara R, Ito J, Hayashi H, Naganawa S. A phase I/II trial of intraoperative breast radiotherapy in an Asian population: 5-year results of local control and cosmetic outcome. Radiat Oncol. 2015 Jul 25;10:150. doi: 10.1186/s13014-015-0469-6. PMID: 26205241

IORT image
【Establishment of Combined Modality Therapy Sequence for Malignant Primary Cardiac Tumors】
Tohru Okada
Cardiac malignancies are very difficult to treat and often refractory, leading to death due to intracardiac obstruction of blood flow. There is a high rate of recurrence with resection, and neither heart-lung machine nor major surgery has been shown to improve survival. All this combined with an extremely low incidence means that the treatment strategy remains unclear.
Presently, at the level of our academic medical center, this ultra-refractory cancer is managed cooperatively between the four departments of cardiac surgery, cardiology, medical oncology, and radiation oncology via a combined modality therapy sequence. First, in order to ameliorate intracardiac obstruction of blood flow and improve short-term prognosis, we employ cardiac debulking surgery followed by radiation (included carbon ion radiotherapy). After that there remains a high probability of metastasis. While managing hemodynamics, chemotherapy for each tissue type and chamber is determined based on radiation dose. For conventional treatment, median survival is 17 months if complete resection is demonstrated, and 6 months without complete resection. With the aforementioned combined modality therapy sequence, median survival improves to 20 months even with incomplete resection.
Accordingly, we aim to establish a cardio-oncology program with combined modality therapy and integrative case management in the future.
References:
- Okada T, Kamada T, Tsuji H, Mizoe JE, Baba M, Kato S, Yamada S, Sugahara S, Yasuda S, Yamamoto N, Imai R, Hasegawa A, Imada H, Kiyohara H, Jingu K, Shinoto M, Tsujii H. Carbon ion radiotherapy: clinical experiences at National Institute of Radiological Sciences (NIRS). Review. J Radiat Res. 2010;51(4):355-64. PMID: 20508375
- Simpson L, Kumar SK, Okuno SH, Schaff HV, Porrata LF, Buckner JC, Moynihan TJ. Malignant primary cardiac tumors: review of a single institution experience. Cancer. 2008 Jun;112(11):2440-6. doi: 10.1002/cncr.23459. PMID: 1842820

Malignant primary cardiac tumor (left ventricle)
Cardiac debulking surgery (incomplete) followed by carbon ion radiotherapy was performed. Intracardiac blood flow was maintained 3 years after cardiac treatment.
BIBLIOGRAPHY
2025
- Fuga Uota, Shingo Iwano, Shinichiro Kamiya, Rintaro Ito, Shota Nakamura, Toyofumi Fengshi Chen-Yoshikawa, Shinji Naganawa. Diagnostic utility of chest wall vessel involvement sign on ultra-high-resolution CT for primary lung cancer infiltrating the chest wall. Eur Radiol. doi: 10.1007/s00330-025-11382-x. Online ahead of print.
- Toshiaki Taoka. Imaging of Movement Disorders. Medical Radiology. 1-51.
- Toshiaki Taoka, Kunihiro Iwamoto, Seiko Miyata, Rintaro Ito, Rei Nakamichi, Toshiki Nakane, Ippei Okada, Kazushige Ichikawa, Hirohito Kan, Koji Kamagata, Junko Kikuta, Shigeki Aoki, Akihiro Fujimoto, Yuki Kogo, Nobuyasu Ichinose, Shinji Naganawa. MR Imaging Indices for Brain Interstitial Fluid Dynamics and the Effects of Orexin Antagonists on Sleep. Magn Reson Med Sci. doi: 10.2463/mrms.mp.2024-0176. Online ahead of print.
- Hiroshi Ogawa, Yasuo Takehara, Marina Higashi, Hidenori Mizumoto, Daichi Ito, Shinji Naganawa, Hideki Takami, Masato Nakaguro. A Case of an Ectopic Pacinian Corpuscle in the Pancreas Mimicking Pancreatic Metastasis of Renal Cell Carcinoma. Nagoya J. Med. Sci. 87.(1):178–181.
- Keiichiro Yamada, Yasuo Takehara, Satoko Ishigaki, Hiroshi Ogawa, Ayumi Nishida, Keita Kato, Tomoki Ebata, Takashi Mizuno, Shinji Naganawa. Added value of diffusion-weighted magnetic resonance imaging in the diagnosis of recurrent cholangiocarcinoma. Nagoya J. Med. Sci. 87.(1):22-36.
- Shinji Naganawa, Rintaro Ito, Mariko Kawamura, Toshiaki Taoka, Tadao Yoshida, Michihiko Sone. Preliminary Findings on Non-contrast Enhanced Positive Endolymph Images: Limited Delineation of Endolymphatic Space. Magn Reson Med Sci. doi:10.2463/mrms.bc.2025-0005 in press
- Shinji Naganawa, Rintaro Ito, Mariko Kawamura, Toshiaki Taoka, Tadao Yoshida, Michihiko Sone. The Endolymph Signal in Non-contrast Enhanced 3D-real IR Image Differs between the Ears with and without Significant Endolymphatic Hydrops. Magn Reson Med Sci. doi:10.2463/mrms.mp.2024-0191 in press
- Ryogo Minamimoto, Yumi Abe, Shinichiro Kamiya, Toshiki Nakane, Rintaro Ito, Katsuhiko Kato, Shinji Naganawa. Imaging insights of FDG-PET from neonates to infants. Jpn J Radiol. doi: 10.1007/s11604-025-01763-z. in press
- Rintaro Ito, Keita Kato, Kosuke Nanataki, Yumi Abe, Hiroshi Ogawa, Ryogo Minamimoto, Katsuhiko Kato, Toshiaki Taoka, Shinji Naganawa. Assessing large language models for Lugano classification of malignant lymphoma in Japanese FDG-PET reports. EJNMMI Rep. 9(1):8.
- Moto Nakaya, Koji Kamagata, Kaito Takabayashi, Christina Andica, Wataru Uchida, Akifumi Hagiwara, Toshiaki Akashi, Akihiko Wada, Toshiaki Taoka, Shinji Naganawa, Osamu Abe, Shigeki Aoki. Magnetic resonance imaging indices for early Alzheimer's disease detection: Brain clearance markers. J Cereb Blood Flow Metab. 271678X251321305.
- Hajime Narita, Jun Natsume, Takeshi Suzuki, Tadashi Shiohama, Masahiro Kawaguchi, Masaki Okazaki, Atsushi Hashizume, Shinji Naganawa, Yuji Ito, Hiroyuki Yamamoto, Tomohiko Nakata, Hiroyuki Kidokoro, Yoshiyuki Takahashi, Satoru Takahashi, Keita Tsujimura. Diffuse but Non-homogeneous Brain Atrophy: Identification of Specific Brain Regions and Their Correlation with Clinical Severity in Rett Syndrome. Brain Dev. 47(3):104348.
- Yutaka Kato, Takayoshi Nakaya, Kuniyasu Okudaira, Yumiko Noguchi, Mariko Kawamura, Shunichi Ishihara, Shinji Naganawa. Enhanced urethral identification for radiotherapy planning using fat-suppressed 3D T2-weighted magnetic resonance imaging. Radiol Phys Technol. doi: 10.1007/s12194-025-00903-4. Online ahead of print. in press
- Masamune Noguchi, Yutaro Koide, Yurika Shindo, Takahiro Aoyama, Shingo Hashimoto, Hiroyuki Tachibana, Takeshi Kodaira, Shunichi Ishihara, Shinji Naganawa. Repeat stereotactic radiosurgery for recurrent brain metastases: a retrospective comparison of local progression and distant brain metastases after prior radiosurgery. J Neurooncol. doi: 10.1007/s11060-025-05035-8. Online ahead of print.
- Rintaro Ito, Keita Kato, Kosuke Nanataki, Yumi Abe, Hiroshi Ogawa, Ryogo Minamimoto, Katsuhiko Kato, Toshiaki Taoka,Shinji Naganawa. Assessing large language models for Lugano classification of malignant lymphoma in Japanese FDG-PET reports. EJNMMI Reports. 9(1):8
- Geir Ringstad, Per Kristian Eide, Shinji Naganawa, Nivedita Agarwal. Gadolinium-Based Imaging and the Study of Neurofluid Dynamics. Neuroimaging Clin N Am. 35(2):191-209.
- Yusuke Matsui, Daiju Ueda, Shohei Fujita, Yasutaka Fushimi, Takahiro Tsuboyama, Koji Kamagata, Rintaro Ito, Masahiro Yanagawa, Akira Yamada, Mariko Kawamura, Takeshi Nakaura, Noriyuki Fujima, Taiki Nozaki, Fuminari Tatsugami, Tomoyuki Fujioka, Kenji Hirata, Shinji Naganawa. Applications of artificial intelligence in interventional oncology: An up-to-date review of the literature. Jpn J Radiol. 43(2):164-176.
- Shohei Fujita, Yasutaka Fushimi, Rintaro Ito, Yusuke Matsui, Fuminari Tatsugami, Tomoyuki Fujioka, Daiju Ueda, Noriyuki Fujima, Kenji Hirata, Takahiro Tsuboyama, Taiki Nozaki, Masahiro Yanagawa, Koji Kamagata, Mariko Kawamura, Akira Yamada, Takeshi Nakaura, Shinji Naganawa. Advancing clinical MRI exams with artificial intelligence: Japan's contributions and future prospects. Jpn J Radiol. 43(3):355-364.
- Mariko Kawamura, Masafumi Shimojo, Fuminari Tatsugami, Kenji Hirata, Shohei Fujita, Daiju Ueda, Yusuke Matsui, Yasutaka Fushimi, Tomoyuki Fujioka, Taiki Nozaki, Akira Yamada, Rintaro Ito, Noriyuki Fujima, Masahiro Yanagawa, Takeshi Nakaura, Takahiro Tsuboyama, Koji Kamagata, Shinji Naganawa. Stereotactic arrhythmia radioablation for ventricular tachycardia: a review of clinical trials and emerging roles of imaging. J Radiat Res. 66(1):1-9.
- Koji Kamagata, Shinji Naganawa. JJR-TOP GUN Phase 1, Year 2: new perspectives through the integration of artificial intelligence and radiology. Jpn J Radiol. 43(3):331-332.
- Shinji Naganawa, Rintaro Ito, Mariko Kawamura, Toshiaki Taoka. Intracranial Air Absorption through Arachnoid Granulation: New Considerations from Transsphenoidal Surgery and Implications for Neurofluid Dynamics. Magn Reson Med Sci. 24(1):144-147.
- Taiki Nozaki, Masahiro Hashimoto, Daiju Ueda, Shohei Fujita, Yasutaka Fushimi, Koji Kamagata, Yusuke Matsui, Rintaro Ito, Takahiro Tsuboyama, Fuminari Tatsugami, Noriyuki Fujima, Kenji Hirata, Masahiro Yanagawa, Akira Yamada, Tomoyuki Fujioka, Mariko Kawamura, Takeshi Nakaura, Shinji Naganawa. Recent topics in musculoskeletal imaging focused on clinical applications of AI: How should radiologists approach and use AI? Radiol Med. doi: 10.1007/s11547-024-01947-z
- Takayuki Miyachi, Takeshi Kamomae, Fumitaka Kawabata, Kuniyasu Okudaira, Mariko Kawamura, Shunichi Ishihara, Shinji Naganawa. Effects of cardiac motion on dose distribution during stereotactic arrhythmia radioablation treatment: A simulation and phantom study. J Appl Clin Med Phys. e70021. doi: 10.1002/acm2.70021.
- Mami Iima, Shinji Naganawa. TOP GUN initiative: advancing interdisciplinary collaboration in radiology. Jpn J Radiol. doi: 10.1007/s11604-025-01803-8.
- Kentaro Nishioka, Mariko Kawamura, Mami Iima, Daiju Ueda, Rintaro Ito, Tsukasa Saida, Ryo Kurokawa, Koji Takumi, Akihiko Sakata, Satoru Ide, Maya Honda, Masahiro Yanagawa, Shunsuke Sugawara, Seitaro Oda, Tadashi Watabe, Keitaro Sofue, Kenji Hirata, Shinji Naganawa. The glymphatic system in oncology: from the perspective of a radiation oncologist. J Radiat Res. doi: 10.1093/jrr/rraf027.
- Toshiaki Taoka. Editorial for \\\"Cognition-Eye-Brain Connection in Alzheimer's Disease Spectrum Revealed by Multimodal Imaging\\\". J Magn Reson Imaging. doi: 10.1002/jmri.70005. Online ahead of print.
- Hiroki Shibata, Akiko Noda, Yuanjie Mao, Kunihiro Iwamoto, Masato Okuda, Ippei Okada, Seiko Miyata, Toshiaki Taoka, Fumihiko Yasuma. Effects of Sleep-Disordered Breathing on Daytime Brain Activity in Community-Dwelling Older Adults. Sleep Sci. 18(1):e10-e16.
- Philine Marie Schirge, Robert Perneczky, Toshiaki Taoka 6, Adriana L Ruiz-Rizzo, Ersin Ersoezlue, Robert Forbrig, Selim Guersel, Carolin Kurz, Matthias Brendel, Julian Hellmann-Regen, Josef Priller, Anja Schneider, Frank Jessen, Emrah Düzel, Katharina Buerger, Stefan Teipel, Christoph Laske, Oliver Peters, Eike Spruth, Klaus Fliessbach, Ayda Rostamzadeh, Wenzel Glanz, Daniel Janowitz, Ingo Kilimann, Sebastian Sodenkamp, Michael Ewers, Boris-Stephan Rauchmann. Perivascular space and white matter hyperintensities in Alzheimer's disease: associations with disease progression and cognitive function. Alzheimers Res Ther. 17(1):62.
- Junko Kikuta, Yasuhito Nagai, Koji Kamagata, Hongkai Chen, Yuki Yamada,Takafumi Kitagawa, Wataru Uchida, Rinako Iseki, Sen Guo, Kaito Takabayashi,Akifumi Hagiwara, Akihiko Wada, Toshiaki Taoka, Tadafumi Kato, Shigeki Aoki. Association between frontal pole atrophy and glymphatic dysfunction in patients with bipolar disorder. J Affect Disord. 389:119686.
- Toshiaki Taoka, Kunihiro Iwamoto, Seiko Miyata, Rintaro Ito, Koji Kamagata, Rei Nakamichi, Toshiki Nakane, Mami Iima, Hiroshige Fujishiro, Masashi Ikeda, Kazushige Ichikawa, Akifumi Kamiunten, Nobuyasu Ichinose, Junko Kikuta, Shigeki Aoki, Shinji Naganawa. Contribution of white matter microstructure to diffusion tensor image analysis along perivascular space in obstructive sleep apnea. Jpn J Radiol. doi: 10.1007/s11604-025-01838-x. Online ahead of print.
- Takashi Eto, Toshiaki Taoka, Mathieu Felices, Camille Pitrou. Pharmacokinetics and safety of gadopiclenol in Japanese healthy volunteers. Jpn J Radiol. doi: 10.1007/s11604-025-01842-1. Online ahead of print.
- Ryota Horiguch, Ryota Hyodo, Daiki Tamashiro, Ken Nagasaka, Masaya Matsushima, Yosuke Inukai, Yoji Ishizu, Shinji Naganawa. Successful embolization of a large intrahepatic portosystemic shunt using the coil-in-plug technique: A case report assessed with four-dimensional flow magnetic resonance imaging. Radiology Case Reports. 20 (11) :5741-5745.
2024
- Takeshi Nakaura, Shinji Naganawa. Response to \\\"Striking a balance: embracing LLMs while upholding scientific integrity\\\". Jpn J Radiol. 42(2):210-211.
- Mika Tamura, Kunihiro Nakada, Haruna Iwanaga, Naotoshi Fujita, Katsuhiko Kato. Effect of previous administration of potassium iodine and different durations of low iodine diets for radioiodine therapy on the treatment of Graves' disease in iodine-rich areas. Eur J Nucl Med Mol Imaging. 51(4):1060-1069.
- Shoko Hara, Junko Kikuta, Kaito Takabayashi,Koji Kamagata, Shihori Hayashi, Motoki Inaji, Yoji Tanaka, Masaaki Hori, Kenji Ishii, Tadashi Nariai, Toshiaki Taoka, Shinji Naganawa, Shigeki Aoki,Taketoshi Maehara. Decreased diffusivity along the perivascular space and cerebral hemodynamic disturbance in adult moyamoya disease. J Cereb Blood Flow Metab. 2024 Apr 4:271678X241245492. doi: 10.1177/0271678X241245492.
- Online ahead of print.
- Takashi Mamiya, Yoshio Araki, Toshiaki Taoka, Naotoshi Fujita, Kinya Yokoyama, Kenji Uda, Shinsuke Muraoka, Fumiaki Kanamori, Kai Takayanagi, Kazuki Ishii, Masahiro Nishihori, Takashi Izumi, Katsuhiko Kato, Ryuta Saito. Characteristics of donor vessels and cerebral blood flow in the chronic phase after combined revascularization surgery for moyamoya disease. Clin Neurol Neurosurg. 2024 Jan:236:108110. doi: 10.1016/j.clineuro.2023.108110.
- 2023 US-Japan NVU Workshop Group. From bench to bedside: US-Japan Collaborative Workshop on the NVU. J Physiol Sci. 2024 May 30;74(Suppl 1):31. doi: 10.1186/s12576-024-00917-4.
- Daiju Ueda, Shannon L Walstona, Shohei Fujita, Yasutaka Fushimi, Takahiro Tsuboyama, Koji Kamagata, Akira Yamada, Masahiro Yanagawa,
- Rintaro Ito, Noriyuki Fujima,Mariko Kawamura, Takeshi Nakaura, Yusuke Matsui, Fuminari Tatsugami, Tomoyuki Fujioka, Taiki Nozaki, Kenji Hirata, Shinji Naganawa. Climate change and artificial intelligence in healthcare: Review and recommendations towards a sustainable future
- Diagn Interv Imaging. S2211-5684(24)00138-4.
- Takeshi Nakaura, Rintaro Ito, Daiju Ueda, Taiki Nozaki, Yasutaka Fushimi, Yusuke Matsui, Masahiro Yanagawa, Akira Yamada, Takahiro Tsuboyama, Noriyuki Fujima, Fuminari Tatsugami, Kenji Hirata, Shohei Fujita, Koji Kamagata, Tomoyuki Fujioka, Mariko Kawamura, Shinji Naganawa. The impact of large language models on radiology: a guide for radiologists on the latest innovations in AI. Jpn J Radiol. 42(7):685-696.
- Rukeye Tuerxun, Koji Kamagata, Yuya Saito, Christina Andica, Kaito Takabayashi, Wataru Uchida, Seina Yoshida, Junko Kikuta, Hiroki Tabata, Hitoshi Naito, Yuki Someya, Hideyoshi Kaga, Mari Miyata, Toshiaki Akashi, Akihiko Wada, Toshiaki Taoka, Shinji Naganawa, Yoshifumi Tamura, Hirotaka Watada, Ryuzo Kawamori, Shigeki Aoki. Assessing interstitial fluid dynamics in type 2 diabetes mellitus and prediabetes cases through diffusion tensor imaging analysis along the perivascular space. Front Aging Neurosci. 16:1362457.
- Yohei Momoki, Akimichi Ichinose, Keigo Nakamura, Shingo Iwano, Shinichiro Kamiya, Keiichiro Yamada, Shinji Naganawa. Development of automatic generation system for lung nodule finding descriptions. PLoS One. 19(3):e0300325.
- Rei Nakamichi, Toshiaki Taoka, Rintaro Ito, Tadao Yoshida, Michihiko Sone, Shinji Naganawa. Imaging evaluation and volumetric measurement of the space surrounding the diploic veins. Jpn J Radiol. 42(9):953-961.
- Hiroko Satake, Fumie Kinoshita, Satoko Ishigaki, Keita Kato, Yusuke Jo, Satoko Shimada, Norikazu Masuda, Shinji Naganawa. Predictive Performance of Radiomic Features Extracted from Breast MR Imaging in Postoperative Upgrading of Ductal Carcinoma in Situ to Invasive Carcinoma. Magn Reson Med Sci. doi: 10.2463/mrms.mp.2023-0168. Online ahead of print.
- Hideyuki Kaida, Tadao Yoshida, Satofumi Sugimoto, Masumi Kobayashi, Shinji Naganawa, Michihiko Sone. Clinical significance of posterior expansion of the utricular endolymphatic space. Acta Otolaryngol. 144(2):107-111.
- Toshiaki Taoka, Rintaro Ito, Rei Nakamichi, Toshiki Nakane,Hisashi Kawai, Shinji Naganawa. Diffusion Tensor Image Analysis ALong the Perivascular Space (DTI-ALPS): Revisiting the Meaning and Significance of the Method. Magn Reson Med Sci. 23 (6) ; 268–290.
- Mami Iima, Rena Nakayama, Masako Kataoka, Martins Otikovs, Noam Nissan, Lucio Frydman, Yuta Urushibata, Maya Honda, Aika Okazawa, Hiroko Satake, Shinji Naganawa, Yuji Nakamoto. Comparing Lesion Conspicuity and ADC Reliability in High-resolution Diffusion-weighted Imaging of the Breast. Magn Reson Med Sci. 2024 Sep 26. doi: 10.2463/mrms.tn.2024-0089.
- Denis Le Bihan, Mami Iima, Savannah C Partridge. Fat-signal suppression in breast diffusion-weighted imaging: the Good, the Bad, and the Ugly Eur Radiol. doi: 10.1007/s00330-024-10973-4.
- Mami Iima, Masako Kataoka, Maya Honda, Denis Le Bihan. Diffusion-Weighted MRI for the Assessment of Molecular Prognostic Biomarkers in Breast Cancer Korean J Radiol. 25(7):623-633.
- Yuko Someya, Mami Iima, Hirohiko Imai, Hiroyoshi Isoda, Tsuyoshi Ohno, Masako Kataoka, Denis Le Bihan, Yuji Nakamoto. In Vivo and Post-mortem Comparisons of IVIM/Time-dependent Diffusion MR Imaging Parameters in Melanoma and Breast Cancer Xenograft Models. Magn Reson Med Sci. doi: 10.2463/mrms.mp.2023-0078. Online ahead of print.
- Masako Kataoka, Mami Iima. Potential of the Diffusion-based Noncontrast Protocol for Breast Imaging: Current Status and Hints for Improvements Radiology. 311(2):e241058.
- Maya Honda, Eric E. Sigmund, Denis Le Bihan, Katja Pinker, Paola Clauser, Dimitrios Karampinos, Savannah C. Partridge, Eva Fallenberg, Laura Martincich, Pascal Baltzer, Ritse M. Mann, Julia Camps-Herrero, Mami Iima. Advanced breast diffusion-weighted imaging: what are the next steps? A proposal from the EUSOBI International Breast Diffusion-weighted Imaging working group. European Radiology.
- Masumi Kobayashi, Tadao Yoshida, Yukari Fukunaga, Daisuke Hara, Satofumi Sugimoto, Shinji Naganawa, Michihiko Sone. Improvement of vertigo symptoms and acoustic power absorbance in cases with endolymphatic hydrops. Laryngoscope Investigative Otolaryngology. doi:10.1002/lio2.1210
- Shinji Naganawa, Rintaro Ito, Mariko Kawamura, Toshiaki Taoka, Tadao Yoshida, Michihiko Sone. Association between the Putative Meningeal Lymphatics at the Posterior Wall of the Sigmoid Sinus and Delayed Contrast-agent Elimination from the Cerebrospinal Fluid. Magn Reson Med Sci. 23(1):80-91.
- Ryota Hyodo, Yasuo Takehara, Yoji Ishizu, Kazuki Nishida, Takashi Mizuno, Kazushige Ichikawa, Ryota Horiguchi, Nobuhiko Kurata, Yasuhiro Ogura, Shinya Yokoyama, Shinji Naganawa, Ning Jin, Yoshito Ichiba. Evaluation of 4D Flow MRI-Derived Relative Residence Time as a Marker for Cirrhosis Associated Portal Vein Thrombosis. J Magn Reson Imaging. doi: 10.1002/jmri.29357. Online ahead of print.
- Seiko Miyata, Kunihiro Iwamoto, Ippei Okada, Akihiro Fujimoto, Yuki Kogo, Nao Matsuyama, Kazuki Nishida, Masahiko Ando, Toshiaki Taoka, Shinji Naganawa, Norio Ozaki. Assessing the Real-World, Long-Term Impact of Lemborexant on Sleep Quality in a Home-Based Clinical Study
- Nature and Science of Sleep. Nat Sci Sleep. 16:291-303.
- Masumi Kobayashi, Tadao Yoshida, Yukari Fukunaga, Daisuke Hara, Shinji Naganawa, Michihiko Sone. Perilymphatic enhancement and endolymphatic hydrops: MRIfindings and clinical associations. Laryngoscope Investig Otolaryngol. 9(5): e1312.
- Saya Nakamura, Keiko Wakahara, Suguru Majima, Eito Yokoi, Eriko Fukutani, Ryo Otsuki, Shingo Iwano, Toyofumi Fengshi Chen-Yoshikawa, Fumie Kinoshita, Takashi Abe, Toyokazu Sashio, Tomoki Kimura, Kenji Izuhara, Naozumi Hashimoto, Makoto Ishii, Yoshinori Hasegawa. Blood eosinophil count correlates with alveolar damage in emphysema-predominant COPD. BMC Pulm Med. 24(1):510.
- Takayasu Ito, Kazuki Nishida, Shingo Iwano, Shotaro Okachi, Shota Nakamura, Masahiro Morise, Chen Yoshikawa Fengshi Toyofumi, Makoto Ishii. Diagnostic Value and Safety of Addition of Transbronchial Needle Aspiration to Transbronchial Biopsy Through Endobronchial Ultrasonography Using a Guide Sheath Under Virtual Bronchoscopic Navigation for the Diagnosis of Peripheral Pulmonary Lesions. J Bronchology Interv Pulmonol. 31(4):e0984.
- Tomoko Oikawa, Kaori Saito, Keiichi Kurihara, Daisuke Horikawa, Katsuhiko Uruno, Hironori Kajiwara, Shuhei Ohashi, Masatoshi Hotta, Naoyuki Yagi, Hideaki Kitamura, Shinichi Hasegawa, Ryogo Minamimoto. Evaluation of X-ray protective goggles in mitigating eye lens radiation exposure during radiopharmaceutical handling and patient care in nuclear medicine. Glob Health Med. 6(4):244-250.
- Kensuke Komatsu, Sota Kimura, Yoko Kiryu, Aki Watanabe, Ei Kinai, Shinichi Oka, Satoshi Kimura, Junko Fujitani, Mikiko Ogata, Ryogo Minamimoto, Masatoshi Hotta, Kota Yokoyama, Tomoyuki Noguchi, Koubun Imai. Prevalence and associated factors of low vigor in patients living with HIV and hemophilia in Japan: A cross-sectional observational study. Glob Health Med. 6(3):174-182.
- Motoharu Sasaki, Yuji Nakaguchi, Takeshi Kamomae, Akira Tsuzuki, Soma Sawada, Koki Shibuya, Masataka Oita, Masahide Tominaga, Yuki Tominaga, Hitoshi Ikushima. Comparative analysis of two dose-volume histogram prediction tools for treatment planning in volumetric-modulated arc therapy: A multi-planner study. Med Dosim. 49(3):271-275.
- Kohei Nakanishi, Naotoshi Fujita, Haruna Iwanaga, Yuki Asano, Shinji Abe, Ryuichi Nishii, Katsuhiko Kato. A Monte Carlo study comparing dead-time losses of a gamma camera between tungsten functional paper and lead sheet for dosimetry in targeted radionuclide therapy with Lu-177. Ann Nucl Med. doi: 10.1007/s12149-024-01987-5.
- Haruna Iwanaga, Naotoshi Fujita, Shinji Abe, Shinji Naganawa, Katsuhiko Kato. Correlation between the thyroid computed tomography value and thyroid function in hyperthyroidism: a retrospective study. Ann Nucl Med. 38(8):659-665.
- Mami Iima, Maya Honda, Hiroko Satake, Masako Kataoka. Standardization and advancements efforts in breast diffusion‑weighted imaging
- Japanese Journal of Radiology. in press
- Mami Iima, Ryosuke Mizuno, Masako Kataoka, Kazuki Tsuji, Toshiki Yamazaki, Akihiko Minami, Maya Honda, Keiho Imanishi, Masahiro Takada, Yuji Nakamoto. Deep Learning Applied to Diffusion-weighted Imaging for Differentiating Malignant and Benign Breast Tumors Without Lesion Segmentation. Radiology: Artificial Intelligence. in press
- Yurika Shindo, Yutaro Koide, Naoya Nagai, Tomoki Kitagawa, Takahiro Aoyama, Hidetoshi Shimizu, Shingo Hashimoto, Hiroyuki Tachibana, Takeshi Kodaira, Shunichi Ishihara, Shinji Naganawa. Palliative radiotherapy for painful non-bone lesions in patients with advanced cancer: a single center retrospective study. Jpn J Radiol. 42(6):656-661.
2023
- Shinji Naganawa, Toshiaki Taoka, Rintaro Ito, Mariko Kawamura. The Glymphatic System in Humans: Investigations With Magnetic Resonance Imaging. Invest Radiol doi: 10.1097/RLI.0000000000000969.
- Shinji Naganawa, Rintaro Ito, Toshiaki Taoka, Tadao Yoshida, Michihiko Sone. Parasagittal Cystic Lesions May Arise from the Pial Sheath around the Cortical Venous Wall. Magn Reson Med Sci. 22(1):143-146.
- Shinji Naganawa, Rintaro Ito, Mariko Kawamura, Toshiaki Taoka, Tadao Yoshida, Michihiko Sone. Peripheral Retinal Leakage after Intravenous Administration of a Gadolinium-based Contrast Agent: Age Dependence, Temporal and Inferior Predominance and Potential Implications for Eye Homeostasis. Magn Reson Med Sci. 22(1):45-55.
- Mariko Kawamura, Masafumi Shimojo, Yasuya Inden, Takeshi Kamomae, Kuniyasu Okudaira, Tomohiro Komada, Sumire Aoki, Yurika Shindo, Ryotaro Yasui, Yusuke Yanagi, Masayuki Okumura, Takehiro Yamada, Yuka Kozai, Yumi Oie, Yutaka Kato, Shunichi Ishihara, Toyoaki Murohara, Shinji Naganawa. Stereotactic radiotherapy for ventricular tachycardia: A study protocol [version 1; peer review: awaiting peer review] F1000Research. 12:798.
- Ryota Hyodo, Yasuo Takehara, Takashi Mizuno, Kazushige Ichikawa, Ryota Horiguchi, Shoji Kawakatsu, Takashi Mizuno, Tomoki Ebata, Shinji Naganawa, Ning Jin, Yoshito Ichiba. Four-dimensional Flow MRI Assessment of Portal Hemodynamics and Hepatic Regeneration after Portal Vein Embolization. Radiology. 308(3):e230709.
- Ryota Hyodo, Yasuo Takehara, Takashi Mizuno, Kazushige Ichikawa, Shinya Yokoyama, Yoji Ishizu, Shinji Naganawa. Assessing the Complicated Venous Hemodynamics and Therapeutic Outcomes of Budd-Chiari Syndrome with Respiratory-gated 4D Flow MR Imaging During the Expiratory and Inspiratory Phases. Magn Reson Med Sci. 22(1):1-6.
- Yutaka Kato, Shinji Naganawa, Toshiaki Taoka, Tadao Yoshida, Michihiko Sone. Pitfalls of Using T2-contrast Enhancement Techniques in 3D-FLAIR to Detect Endolymphatic Hydrops. Magn Reson Med Sci. 22(3):335-344.
- Ryota Horiguchi, Yasuo Takehara, Masataka Sugiyama, Ryota Hyodo, Tomohiro Komada, Masaya Matsushima, Shinji Naganawa, Takashi Mizuno, Yasuo Sakurai, Masayuki Sugimoto, Hiroshi Banno, Kimihiro Komori, Keiichi Itatani. Postendovascular Aneurysmal Repair Increase in Local Energy Loss for Fusiform Abdominal Aortic Aneurysm: Assessments With 4D flow MRI. J Magn Reson Imaging. 57(4):1199-1211.
- Yutaka Kato, Kuniyasu Okudaira, Yumiko Noguchi, Mariko Kawamura, Shunichi Ishihara, Shinji Naganawa. Shifting-field-of-view technique enhancing the inflow effect for identifying tumor/vessel boundaries in MRI for radiotherapy treatment planning. Radiol Phys Technol. doi: 10.1007/s12194-023-00745-y.
- Yasutaka Fushimi, Toshiaki Taoka, Shinji Naganawa. From pituitary adenoma to PitNET: it is time to discuss PitNET/pituitary adenoma. Jpn J Radiol. 41(8):787-788.
- Christina Andica, Koji Kamagata, Kaito Takabayashi, Junko Kikuta, Hideyoshi Kaga, Yuki Someya, Yoshifumi Tamura, Ryuzo Kawamori, Hirotaka Watada, Toshiaki Taoka, Shinji Naganawa, Shigeki Aoki. Neuroimaging findings related to glymphatic system alterations in older adults with metabolic syndrome. Neurobiol Dis.177:105990. doi: 10.1016/j.nbd.2023.105990.
- Yuichi Morita, Koji Kamagata, Christina Andica, Kaito Takabayashi, Junko Kikuta, Shohei Fujita, Thomas Samoyeau, Wataru Uchida, Yuya Saito, Hiroki Tabata, Hitoshi Naito, Yuki Someya, Hideyoshi Kaga, Yoshifumi Tamura, Mari Miyata, Toshiaki Akashi, Akihiko Wada, Toshiaki Taoka, Shinji Naganawa, Hirotaka Watada, Ryuzo Kawamori, Osamu Abe, Shigeki Aoki. Glymphatic system impairment in nonathlete older male adults who played contact sports in their youth associated with cognitive decline: A diffusion tensor image analysis along the perivascular space study. Front Neurol. 14:1100736.
- Fuminari Tatsugami, Takeshi Nakaura, Masahiro Yanagawa, Shohei Fujita, Koji Kamagata, Rintaro Ito, Mariko Kawamura, Yasutaka Fushimi, Daiju Ueda, Yusuke Matsui, Akira Yamada , Noriyuki Fujima, Tomoyuki Fujioka, Taiki Nozaki, Takahiro Tsuboyama, Kenji Hirata, Shinji Naganawa. Recent advances in artificial intelligence for cardiac CT: Enhancing diagnosis and prognosis prediction. Diagn Interv Imaging. 2023 Jul 4;S2211-5684(23)00148-1.
- Yuta Yamanaka, Masaki Sano, Kazuto Katahashi, Kazunori Inuzuka, Yasuo Takehara,Toshiyuki Ojima, Hiroya Takeuchi, Naoki Unno. Pre-Operative Four Dimensional Flow Sensitive Magnetic Resonance Imaging Assessment of Aortic Side Branches as a Method to Predict Risk of Type II Endoleak Resulting in Sac Enlargement After EVAR. Eur J Vasc Endovasc Surg. 66(1):17-26.
- Tadao Yoshida, Masumi Kobayashi, Satofumi Sugimoto, Yukari Fukunaga, Daisuke Hara, Shinji Naganawa, Michihiko Sone. Presence of endolymphatic hydrops on listening difficulties in patients with normal hearing level. Acta Otolaryngol. 2023 Feb;143(2):163-169.
- Nivedita Agarwal, Laura D Lewis, Lydiane Hirschler, Leonardo Rivera Rivera, Shinji Naganawa, Swati Rane Levendovszky, Geir Ringstad, Marijan Klarica, Joanna Wardlaw, Costantino Iadecola, Cheryl Hawkes, Roxana Octavia Carare,Jack Wells, Erik N T P Bakker, Vartan Kurtcuoglu, Lynne Bilston, Maiken Nedergaard, Yuki Mori, Marcus Stoodley, Noam Alperin, Mony de Leon, Matthias J P van Osch. Current Understanding of the Anatomy, Physiology, and Magnetic Resonance Imaging of Neurofluids: Update From the 2022 “ISMRM Imaging Neurofluids Study group” Workshop in Rome. J Magn Reson Imaging. 2023 May 4. doi: 10.1002/jmri.28759.
- Naoya Nagai, Yutaro Koide, Yurika Shindo, Shingo Hashimoto, Hiroyuki Tachibana, Takeshi Kodaira, Shunichi Ishihara, Shinji Naganawa. Retrospective non‑inferiority study of stereotactic radiosurgery for more than ten brain metastases. J Neurooncol. 163(2):385-395.
- Maria Assunta Rocca, Monica Margoni, Marco Battaglini, Arman Eshaghi, Jeffrey Iliff, Elisabetta Pagani, Paolo Preziosa, Loredana Storelli, Toshiaki Taoka, Paola Valsasina, Massimo Filippi. Emerging Perspectives on MRI Application in Multiple Sclerosis: Moving from Pathophysiology to Clinical Practice Radiology. 307(5):e221512.
- Daiju Ueda, Taichi Kakinuma, Shohei Fujita, Koji Kamagata, Yasutaka Fushimi,Rintaro Ito, Yusuke Matsui, Taiki Nozaki, Takeshi Nakaura, Noriyuki Fujima, Fuminari Tatsugami, Masahiro Yanagawa, Kenji Hirata, Akira Yamada, Takahiro Tsuboyama, Mariko Kawamura, Tomoyuki Fujioka, Shinji Naganawa. Fairness of artificial intelligence in healthcare: review and recommendations. Jpn J Radiol. doi: 10.1007/s11604-023-01474-3.
- Noriyuki Fujima, Koji Kamagata, Daiju Ueda, Shohei Fujita, Yasutaka Fushimi, Masahiro Yanagawa, Rintaro Ito, Takahiro Tsuboyama, Mariko Kawamura, Takeshi Nakaura, Akira Yamada , Taiki Nozaki, Tomoyuki Fujioka, Yusuke Matsui, Kenji Hirata, Fuminari Tatsugami, Shinji Naganawa
- Current State of Artificial Intelligence in Clinical Applications for Head and Neck MR Imaging. Magn Reson Med Sci. doi: 10.2463/mrms.rev.2023-0047.
- Akira Yamada, Koji Kamagata, Kenji Hirata, Rintaro Ito, Takeshi Nakaura, Daiju Ueda, Shohei Fujita, Yasutaka Fushimi, Noriyuki Fujima, Yusuke Matsui, Fuminari Tatsugami, Taiki Nozaki, Tomoyuki Fujioka, Masahiro Yanagawa, Takahiro Tsuboyama, Mariko Kawamura, Shinji Naganawa, Clinical applications of artificial intelligence in liver imaging. Radiol Med. 128(6):655-667.
- Takeshi Nakaura, Shinji Naganawa. Writing medical papers using large-scale language models: a perspective from the Japanese Journal of Radiology. Jpn J Radiol.41(5):457-458.
- Michihiko Sone, Masumi Kobayashi, Tadao Yoshida, Shinji Naganawa. Pathophysiological analysis of idiopathic sudden sensorineural hearing loss by magnetic resonance imaging: A mini scoping review. Front Neurol.14:1193104.
- Tamami Ono, Yoshiyuki Itoh, Shunichi Ishihara, Mariko Kawamura, Yumi Oie, Yuuki Takase, Masayuki Okumura, Hidekazu Oyoshi, Naoya Nagai, Shinji Naganawa. Optimized radiotherapy treatment strategy for early glottic carcinoma. Nagoya J Med Sci. 85(2):241-254.
- Shinji Naganawa, Yutaka Kato, Tadao Yoshida, Michihiko Sone. Fluid signal suppression characteristics of 3D-FLAIR with a T2 selective inversion pulse in the skull base. Nat Commun. 14(1):4915.
- Naoya Nagai, Yutaro Koide, Yurika Shindo, Shingo Hashimoto, Hiroyuki Tachibana, Takeshi Kodaira, Shunichi Ishihara, Shinji Naganawa. Retrospective non-inferiority study of stereotactic radiosurgery for more than ten brain metastases. J Neurooncol. 163(2):385-395.
- Ryota Hyodo, Yasuo Takehara, Ayumi Nishida, Masaya Matsushima, Shinji Naganawa. \\\"Speckled Enhancement\\\" on Gd-EOB-DTPA Enhanced MR Imaging of Primary Hepatic Mucosa-associated Lymphoid Tissue Lymphoma. Magn Reson Med Sci. 22(3):273-281.
- Ryota Hyodo, Yasuo Takehara, Takashi Mizuno, Kazushige Ichikawa, Shinya Yokoyama, Yoji Ishizu, Shinji Naganawa. Assessing the Complicated Venous Hemodynamics and Therapeutic Outcomes of Budd-Chiari Syndrome with Respiratory-gated 4D Flow MR Imaging During the Expiratory and Inspiratory Phases. Magn Reson Med Sci. 22(1):1-6.
- Hidekazu Oyoshi, Hidenari Hirata, Yasuhiro Hirano, Sadamoto Zenda, Yuzheng Zhou, Kento Tomizawa, Takeshi Fujisawa, Masaki Nakamura, Hidehiro Hojo, Atsushi Motegi, Shun-Ichiro Kageyama, Yoshitaka Zenke, Koichi Goto, Shunichi Ishihara, Shinji Naganawa, Tetsuo Akimoto. Prognostic impact of EGFR/ALK alterations in leptomeningeal metastasis from lung adenocarcinoma treated with whole-brain radiotherapy. Clin Exp Metastasis. doi: 10.1007/s10585-023-10225-7.
- Yuya Saito, Koji Kamagata, Christina Andica, Toshiaki Taoka, Rukeye Tuerxun, Wataru Uchida, Kaito Takabayashi, Mana Owaki, Seina Yoshida, Keigo Yamazaki, Shinji Naganawa, Shigeki Aoki. Multisite harmonization of diffusion tensor image analysis along the perivascular space using the COMBined Association Test. Jpn J Radiol. doi: 10.1007/s11604-023-01432-z.
- Masumi Kobayashi, Naomi Katayama, Tadao Yoshida, Satofumi Sugimoto, Shinji Naganawa, Michihiko Sone. Significance of an augmented response on cervical vestibular evoked myogenic potential testing in Meniere's disease. Nagoya J Med Sci. 85(2):375-379.
- Toshio Ohashi, Shinji Naganawa, Yusuke Nasu, Kayao Kuno, Katsuhiko Kato. Magnetic resonance imaging of endolymphatic hydrops: a comparison of methods with and without gadolinium-based contrast agent administration. Nagoya J Med Sci. 85(2):299-309.
- Tadao Yoshida, Masumi Kobayashi, Satofumi Sugimoto, Shinji Naganawa, Michihiko Sone. Labyrinthine calcification in ears with otitis media and antineutrophil cytoplasmic antibody-associated vasculitis (OMAAV): A report of two cases. Auris Nasus Larynx. 50(2):299-304.
- Masumi Kobayashi, Tadao Yoshida, Satofumi Sugimoto, Shinji Naganawa, Michihiko Sone. Disruption of the Blood-Perilymph Barrier Preceding Endolymphatic Hydrops Formation in Meniere's Disease. Otol Neurotol. 2023 Aug 15. doi: 10.1097/MAO.0000000000003981. Online ahead of print.
- Tomohiro Tada, Kazuhiro Hara, Naotoshi Fujita, Yoshinori Ito, Hiroshi Yamaguchi, Reiko Ohdake, Kazuya Kawabata, Aya Ogura, Toshiyasu Kato, Takamasa Yokoi Michihito Masuda, Shinji Abe, Shinichi Miyao, Shinji Naganawa, Masahisa Katsuno, Hirohisa Watanabe, Gen Sobue, Katsuhiko Kato. Comparative examination of the pons and corpus callosum as reference regions for quantitative evaluation in positron emission tomography imaging for Alzheimer's disease using 11C-Pittsburgh Compound-B. Ann Nucl Med. 37(7):410-418.
- Tomohiro Takamura, Shoko Hara, Tadashi Nariai, Yutaka Ikenouchi, Michimasa Suzuki, Toshiaki Taoka, Masahiro Ida, Keiichi Ishigame, Masaaki Hori, Kanako Sato, Koji Kamagata, Kanako Kumamaru, Hidenori Oishi, Sho Okamoto, Yoshio Araki, Kenji Uda, Masakazu Miyajima, Taketoshi Maehara, Motoki Inaji, Yoji Tanaka, Shinji Naganawa, Hisashi Kawai, Toshiki Nakane, Yasuaki Tsurushima, Toshiyuki Onodera, Shuko Nojiri, Shigeki Aoki. Effect of Temporal Sampling Rate on Estimates of the Perfusion Parameters for Patients with Moyamoya Disease Assessed with Simultaneous Multislice Dynamic Susceptibility Contrast-enhanced MR Imaging. Magn Reson Med Sci. 22(3):301-312.
- Shinji Naganawa, Yutaka Kato, Tadao Yoshida, Michihiko Sone. Fluid signal suppression characteristics of 3D-FLAIR with a T2 selective inversion pulse in the skull base. Nat Commun. 14(1):4915.
- Tadashi Shiohama, Norihide Maikusa, Masahiro Kawaguchi, Jun Natsume,Yoshiyuki Hirano, Keito Saito, Jun-ichi Takanashi, Jacob Levman, Emi Takahashi, Koji Matsumoto, Hajime Yokota, Shinya Hattori, Keita Tsujimura, Daisuke Sawada,Tomoko Uchida, Tomozumi Takatani, Katsunori Fujii, Shinji Naganawa, Noriko Sato, Hiromichi Hamada. A Brain Morphometry Study with Across-Site Harmonization Using a ComBat-Generalized Additive Model in Children and Adolescents. Diagnostics 2023, 13(17) 2774
- Yutaka Kato, Shintaro Okumiya, Kuniyasu Okudaira, Junji Ito, Motoki Kumagai, Takeshi Kamomae, Yumiko Noguchi, Mariko Kawamura, Shunichi Ishihara, Shinji Naganawa. Urethral identification using three-dimensional magnetic resonance imaging and interfraction urethral motion evaluation for prostate stereotactic body radiotherapy. Nagoya J. Med. Sci. 85. 504–517.
- Toshiaki Taoka, Rintaro Ito, Rei Nakamichi, Toshiki Nakane, Mariko Kawamura, Shunichi Ishihara, Kazushige Ichikawa, Hisashi Kawai, Shinji Naganawa. Evaluation of alterations in interstitial fluid dynamics in cases of whole-brain radiation using the diffusion-weighted image analysis along the perivascular space method. NMR Biomed. e5030. doi: 10.1002/nbm.5030. Online ahead of print.
- Masato Okuda, Akiko Noda, Kunihiro Iwamoto, Nozomi Hishikawa, Seiko Miyata, Fumihiko Yasuma, Toshiaki Taoka, Norio Ozaki, Julie A. Suhr, Soichiro Miyazak. Assessment of cognitive function and sleep–wake rhythms in community‑dwelling older adults. Sleep and Biological Rhythms. doi:10.1007/s41105-023-00491-z
- Yan Qin, Runcheng He, Juan Chen, Xiaoxia Zhou, Xun Zhou, Zhenhua Liu, Qian Xu, Ji-Feng Guo, Xin-Xiang Yan, Nana Jiang, Weihua Liao, Toshiaki Taoka, Dongcui Wang, Beisha Tang. Neuroimaging uncovers distinct relationships of glymphatic dysfunction and motor symptoms in Parkinson’s disease. J Neurol. 270(5):2649-2658.
- Shinji Naganawa, Rintaro Ito, Mariko Kawamura, Toshiaki Taoka. Intracranial Air Absorption through Arachnoid Granulation: New Considerations from Transsphenoidal Surgery and Implications for Neurofluid Dynamics. Magn Reson Med Sci. doi:10.2463/mrms.bc.2023-0122 in press
2022
- Shinji Naganawa, Toshiaki Taoka. The Glymphatic System: A Review of the Challenges in Visualizing its Structure and Function with MR Imaging. Magn Reson Med Sci. 21(1):182-194.
- Shinji Naganawa, Rintaro Ito, Toshiaki Taoka, Tadao Yoshida, Michihiko Sone. Letter to editor on the article “A non‑invasive, automated diagnosis of Menière's disease using radiomics and machine learning on conventional magnetic resonance imaging: a multicentric, case‑controlled feasibility study” by van der Lubbe Mfa et al. La radiologia medica https://doi.org/10.1007/s11547-022-01486-5
- Saki Kamiya, Hiroko Satake, Yoko Hayashi, Satoko Ishigaki, Rintaro Ito, Mariko Kawamura, Toshiaki Taoka, Shingo Iwano, Shinji Naganawa. Features from MRI texture analysis associated with survival outcomes in triple negative breast cancer patient. Breast Cancer. 29(1):164-173.
- Hiroko Satake, Satoko Ishigaki, Rintaro Ito, Shinji Naganawa. Radiomics in breast MRI: current progress toward clinical application in the era of artificial intelligence. Radiol Med. 127(1):39-56.
- Tadao Yoshida, Masumi Kobayashi, Satofumi Sugimoto, Shinji Naganawa, Michihiko Sone. Labyrinthine calcification in ears with otitis media and antineutrophil cytoplasmic antibody-associated vasculitis (OMAAV): A report of two cases. Auris Nasus Larynx. S0385-8146(22)00024-4.
2021
- Toshiaki Taoka, Shinji Naganawa Imaging for central nervous system (CNS) interstitial fluidopathy: disorders with impaired interstitial fluid dynamics. Jpn J Radiol.39(1): 1-14. 2021/01
- Jun Natsume, Naoko Ishikawa, Yoshiteru Azuma, Tomohiko Nakata, Tomoya Takeuchi, Masaharu Tanaka, Yoko Sakaguchi, Yu Okai, Yuji Ito, Hiroyuki Yamamoto, Atsuko Ohno, Hiroyuki Kidokoro, Ayako Hattori, Shin Nabatame, Katsuhiko Kato Lenticular nuclei to thalamic ratio on PET is useful for diagnosis of GLUT1 deficiency syndrome. Brain & Development.43: 69-77. 2021/01
- Toshiaki Taoka, Hisashi Kawai, Toshiki Nakane, Takashi Abe, Rei Nakamichi, Rintaro Ito, Yutaro Sasaki, Ayumi Nishida, Shinji Naganawa Evaluating the Effect of Arterial Pulsation on Cerebrospinal Fluid Motion in the Sylvian Fissure of Patients with Middle Cerebral Artery Occlusion Using Low b-value Diffusion-weighted Imaging. Magn Reson Med Sci. doi: 10.2463/mrms.mp.2020-0121. 2021/01
- Shingo Iwano, Shinichiro Kamiya, Rintaro Ito, Shota Nakamura, Shinji Naganawa Iodine-related attenuation in contrastenhanced dual energy computed tomography in small-sized solid-type lung cancers is associated with the postoperative prognosis. Cancer Imaging. 21(1): 7. 2021/01
- Shinji Naganawa, Rintaro Ito, Rei Nakamichi, Mariko Kawamura, Toshiaki Taoka, Tadao Yoshida, Michihiko Sone Relationship between Time-dependent Signal Changes in Parasagittal Perivenous Cysts and Leakage of Gadolinium-based Contrast Agents into the Subarachnoid Space. Magn Reson Med Sci. doi: 10.2463/mrms.mp.2020-0138. 2021/1
- Naoki Ozeki, Takayuki Fukui, Shingo Iwano, Shuhei Hakiri, Shota Nakamura, Koji Kawaguchi, Yota Mizuno, Takayuki Inoue, Motoki Nagaya, Toyofumi Fengshi Chen-Yoshikawa Factors associated with changes in the 12-m stair-climbing time after lung lobectomy. Gen Thorac Cardiovasc Surg. 69(2): 282-289. 2021/02
- Hsiu-Ling Chen, Pei-Chin Chen, Cheng-Hsien Lu, Nai-Wen Tsai, Chiun-Chieh Yu, Kun-Hsien Chou, Yun-Ru Lai, Toshiaki Taoka, Wei-Che Lin Associations among Cognitive Functions, Plasma DNA, and Diffusion Tensor Image along the Perivascular Space (DTI-ALPS) in Patients with Parkinson's Disease. Oxid Med Cell Longev. 4034509. 2021/02
- Toshiaki Taoka, Hisashi Kawai, Toshiki Nakane, Takashi Abe, Rei Nakamichi, Rintaro Ito, Yuki Sato, Mayuko Sakai, Shinji Naganawa Diffusion analysis of fluid dynamics with incremental setength of motion proving gradient (DANDYISM) to evaluate cerebrospinal fluid dynamics. Japanese Journal of Radiology. 39: 315-323. 2021/04
- Motoharu Sasaki, Yuji Nakaguuchi, Takeshi Kamomae, Akira Tsuzuki, Satoshi Kobuchi, Kenmei Kuwahara, Shoji Ueda, Yuto Endo, Hitoshi Ikushima Analysis of prostate intensity‐ and volumetric‐modulated arc radiation therapy planning quality with PlanIQTM. J Appl Clin Med Phys. 22(4): 132–142. 2021/04
- Shinji Naganawa, Rintaro Ito, Hisashi Kawai, Mariko Kawamura, Toshiaki Taoka, Mayuko Sakai, Kazushige Ichikawa, Tadao Yoshida, Michihiko Sone MR Imaging of Endolymphatic Hydrops in Five Minutes. Magn Reson Med Sci. doi: 10.2463/mrms.ici.2021-0022. 2021/04
- Shinji Naganawa, Rintaro Ito, Hisashi Kawai, Mariko Kawamura, Toshiaki Taoka, Tadao Yoshida, Michihiko Sone. Cross-sectional Area of the Superior Petrosal Sinus is Reduced in Patients with
- Significant Endolymphatic Hydrops. Magn Reson Med Sci. doi:10.2463/mrms.mp.2021-0010. 2021/04
- Toshiaki Taoka. Neurofluid as Assessed by Diffusion-Weighted Imaging. Magn Reson Imaging Clin N Am. 29 (2): 243-251. 2021/05
- Yuuki Takase, Yoshiyuki Itoh, Kazuhiro Ohtakara, Mariko Kawamura, Junji Ito, Yumi Oie, Tamami Ono, Yutaro Sasaki, Ayumi Nishida and Shinji Naganawa Early glottic cancer treatment with concurrent chemoradiotherapy with once-daily orally administered S-1. Nagoya J. Med. Sci. 83. 251–258. 2021/05
- Rei Nakamichi, Toshiaki Taoka, Hisashi Kawai, Tadao Yoshida, Michihiko Sone, Shinji Naganawa Magnetic resonance cisternography imaging fndings related to the leakage of Gadolinium into the subarachnoid space. Japanese Journal of Radiology. doi: 10.1007/s11604-021-01137-1. 2021/05
- Masashi Shimohira, Hiroshi Kondo, Yukihisa Ogawa, Hiroshi Kawada, Masamichi Koganemaru, Osamu Ikeda, Akira Yamamoto, Tomohiro Komada , Shuichi Tanoue, Noriaki Muraoka, Masato Tanikake, Sadao Hayashi, Satoshi Yamamoto, Takeshi Sato, Kimiyoshi Mizunuma, Fumikiyo Ganaha, Yu Murakami, Tsuneo Ishiguchi Natural History of Unruptured Visceral Artery Aneurysms Due to Segmental Arterial Mediolysis and Efficacy of Transcatheter Arterial Embolization: A Retrospective Multiinstitutional Study in Japan. AJR Am J Roentgenol. 216(3): 691-697. 2021/03
- Motoharu Sasaki, Yuji Nakaguuchi, Takeshi Kamomae, Akira Tsuzuki, Satoshi Kobuchi, Kenmei Kuwahara, Shoji Ueda, Yuto Endo, Hitoshi Ikushima / Analysis of prostate intensity- and volumetric-modulated arc radiation therapy planning quality with PlanIQ TM. J Appl Clin Med Phys.;22(4): 132-142. 2021/04
2020
- Toshiaki Taoka, Noriko Aida, Yuta Fujii, Kazushi Ichikawa, Hisashi Kawai, Toshiki Nakane, Rintaro Ito, Shinji Naganawa White matter microstructural changes in tuberous sclerosis: Evaluation by neurite orientation dispersion and density imaging (NODDI) and diffusion tensor images. SCIENTIFIC REPORTS 10(1):436.
- Takashi Tsuboi, Yumiko Harada, Masashi Suzuki, Takashi Ando, Naoki Atsuta, Fumiharu Ohka, Kazuhito Takeuchi, Toshiaki Taoka, Shigeo Ohba, Masato Nakaguro, Masato Abe, Ichiro Nakashima, Mari Yoshida, Masahisa Katsuno
- Steroid-responsive recurrent tumefactive demyelination with multiple petechial hemorrhages along non-displaced medullary veins. Clin Neurol Neurosurg. 193:105764.
- Kohei Kawata, Takeshi Kamomae, Hiroshi Oguchi, Fumitaka Kawabata, Kuniyasu Okudaira, Mariko Kawamura, Kazuhiro Ohtakara, Yoshiyuki Itoh, Shinji Naganawa Evaluation of newly implemented dose calculation algorithms for multileaf collimator-based CyberKnife tumor-tracking radiotherapy. Med Phys. 47(3):1391-1403.
- G.Neto d Almeida, P. Goncalves Pereira, L. Marques, P. Escada, Kimihiko Kichikawa, Shinji Naganawa, Toshiaki Taoka
- O-BC-12-VANTAGENS DA UTILIZACAO DA TRATOGRAFIA PRE OPERATORIO DO NEUVO FACIAL NOS SCHWANNOMAS VESTIBULARES: ESTUDO MULTICENTRICO Neurocirugia. 27(6)
- Mariko Kawamura, Yoshiyuki Itoh, Takeshi Kamomae, Masataka Sawaki, Toyone Kikumori, Nobuyuki Tsunoda, Junji Ito, Yoshie Shimoyama, Hiroko Satake, Shinji Naganawa A phase I/II trial of intraoperative breast radiotherapy in an Asian population: 10-year results with critical evaluation. Journal of Radiation Research. 61(4):602-607.
2019
- Yutaka Kato, Kiminori Bokura, Toshiaki Taoka, Shinji Naganawa Increased signal intensity of low‑concentration gadolinium contrast agent by longer repetition time in heavily T2‑weighted‑3D‑FLAIR. Jpn J Radiol. 37(5):431-435.
- Hiroshi Ogawa, Yasuo Takehara, Shinji Naganawa, Junpei Yamaguchi, Masato Nakaguro A case of human pancreatic eurytremiasis. Abdom Radiol (NY). 44(4):1213-1216.
- Fei Wang, Tadao Yoshida, Satofumi Sugimoto, Mariko Shimono, Masaaki Teranishi, Shinji Naganawa, Michihiko Sone
- Clinical Features of Ears With Otosclerosis and Endolymphatic Hydrops. Otol Neurotol. 40(4):441-445.
2018
- Shinji Naganawa, Toshiki Nakane, Hisashi Kawai, Toshiaki Taoka Differences in Signal Intensity and Enhancement on MR Images of the Perivascular Spaces in the Basal Ganglia versus Those in White Matter. Magn Reson Med Sci. 17(4):301-307. 2018/10
- Toshiaki Taoka, Shinji Naganawa Gadolinium-based Contrast Media, Cerebrospinal Fluid and the Glymphatic System: Possible Mechanisms for the Deposition of Gadolinium in the Brain. Magn Reson Med Sci. 17:111-119. 2018/04
- Shinji Naganawa, Hisashi Kawai, Toshiaki Taoka, Michihiko Sone Improved 3D-real Inversion Recovery: A Robust Imaging Technique for Endolymphatic Hydrops after Intravenous Administration of Gadolinium. Magn Reson Med Sci. 18(1):105-108. 2019/1
- Shinichiro Kamiya, Shingo Iwano, Hiroyasu Umakoshi, Rintaro Ito, Hironori Shimamoto, Shota Nakamura, Shinji Naganawa Computer-aided Volumetry of Part-Solid Lung Cancers by Using CT: Solid Component Size Predicts Prognosis. Radiology. 287(3):1030-1040. 2018/06
- Tsubasa Morimoto, Yasuhiro Matsuda, Kiwamu Matsuoka, Fumihiko Yasuno, Emi Ikebuchi, Hiroyuki Kameda, Toshiaki Taoka, Toshiteru Miyasaka, Kimihiko, Kichikawa, Toshifumi Kishimoto Computer-assisted cognitive remediation therapy increases hippocampal volume in patients with schizophrenia: a randomized controlled trial. BMC Psychiatry. 18(1):83. 2018/05
- Toshiaki Taoka, Gregor Jost, Thomas Frenzel, Shinji Naganawa, Hubertus Pietsch Impact of the Glymphatic System on the Kinetic and Distribution of Gadodiamide in the Rat Brain. Invest Radiol. 53(9):529-534. 2018/09
- Shoichiro Otake, Toshiaki Taoka, Masayuki Maeda, William TC Yuh A guide to identification and selection of axial planes in magnetic resonance imaging of the brain. Neuroradiol J. 31(4):336-344. 2018/08
- Hiroyuki Tatekawa, Shinichi Sakamoto, Masatoshi Hori, Yoko Kaichi, Satoshi Kunimatsu, Kentaro Akazawa, Toshiki Miyasaka, Hiroshi Oba, Toshiyuki Okubo, Kanehiro Hasuo, Kei Yamada, Toshiaki Taoka, Rei Doishita, Taro Shimono, Yukio Miki Imaging Differences between Neuromyelitis Optica Spectrum Disorders and Multiple Sclerosis: A Multi-Institutional Study in Japan. AJNR Am J Neuroradiol. 39(7):1239-1247. 2018/07
- Hiroaki Ishiguchi, Shinji Ito, Katsuhiko Kato, Yusuke Sakurai, Hisashi Kawai, Naotoshi Fujita, Shinji Abe, Atsushi Narita, Nobuhiro Nishio, Hideki Muramatsu, Yoshiyuki Takahashi, Shinji Naganawa Diagnostic performance of 18F-FDG PET/CT and whole-body diffusion-weighted imaging with background body suppression(DWIBS) in detection of lymph node and bone metastases from pediatric neuroblastoma. Ann Nucl Med. 32(5): 348-362. 2018/06
- Kazuhiro Hara, Hirohisa Watanabe, Epifanio Bagarinao, Kazuya Kawabata, Noritaka Yoneyama, Reiko Ohdake, Kazunori Imai, Michihito Masuda, Takamasa Yokoi, Aya Ogura, Takashi Tsuboi T, Mizuki Ito, Naoki Atsuta, Hisayoshi
- Niwa, Toshiaki Taoka, Satoshi Maesawa, Shinji Naganawa, Masahisa Katsuno, Gen Sobue Corpus callosal involvement is correlated with cognitive impairment in multiple system atrophy. J Neurol. 265(9):2079-2087. 2018/09
- Hiroyuki Tatekawa, Shinichi Sakamoto, Masatoshi Hori, Yoko Kaichi, Satoshi Kunimatsu, Kentaro Akazawa, Toshiki Miyasaka, Hiroshi Oba, Toshiyuki Okubo, Kanehiro Hasuo, Kei Yamada, Toshiaki Taoka, Rei Doishita, Taro Shimono, Yukio Miki Imaging Differences between Neuromyelitis Optica Spectrum Disorders and Multiple Sclerosis: A Multi-Institutional Study in Japan. AJNR Am J Neuroradiol. 39(7):1239-1247. 2018/07
- Shinji Naganawa, Yukunori Korogi Diagnostic Radiology Service in Japan. Japanese Journal of Radiology. 36(10):575-578. 2018/10
- Yoko Sakaguchi, Hiroyuki Kidokoro, Chicako Ogawa, Yu Okai, Yoshiki Ito, Hiroyuki Yamamoto, A.tsuko Ohno, Tomohiko Nakata, Takeshi Tsuji, Toshiki Nakane, Hisashi Kawai, Katsuhiko Kato, Shinji Naganawa, Jun Natsume Longitudinal Findings of MRI and PET in West Syndrome with Subtle Focal Cortical Dysplasia. AJNR Am J Neuroradiol. 39(10):1932-1937. 2018/10
- Kazuya Kawabata, Hirohisa Watanabe, Kazuhiro Hara, Epifanio Bagarinao, Noritaka Yoneyama, Aya Ogura, Kazunori Imai, Michihito Masuda, Takamasa Yokoi, Reiko Ohdake, Yasuhiro Tanaka, Takashi Tsuboi, Tomohiko Nakamura, Masaaki Hirayama, Mizuki Ito, Naoki Atsuta, Satoshi Maesawa, Shinji Naganawa, Masahisa Katsuno, Gen Sobue Distinct manifestation of cognitive deficits associate with different resting-state network disruptions in non-demented patients with Parkinson's disease. J Neurol. 265(3):688-700. 2018/03
- Suguru Yamada, Tsutomu Fujii, Yukihiro Yokoyama, Hiroki Kawashima, Osamu Maeda, Kojiro Suzuki, Tohru Okada, Eizaburo Ono, Junpei Yamaguchi, Nao Takano, Hideki Takami, Masamichi Hayashi, Yukiko Niwa, Yoshiki Hirooka, Yoshiyuki Ito, Shinji Naganawa, Yuichi Ando, Masato Nagino, Hidemi Goto, Yasuhiro Kodera Phase I study of chemoradiotherapy using gemcitabine plus nab-paclitaxel for unresectable locally advanced pancreatic cancer. Cancer Chemother Pharmacol. 81(5):815-821. 2018/05
- Daiki Tabata, Haruo Isoda, Kaori Kato, Hiroki Matsubara, Takafumi Kosugi,Takashi Kosugi, Masaki Terada, Atsushi Fukuyama, Yoshiaki Komori, Shinji Naganawa Myocardial motion analysis based on an optical flow method using tagged MR images. Radiol Phys Technol. 11(2):202-211. 2018/06
- Tomohiro Komada, Kojiro Suzuki, Takashi Mizuno, Tomoki Ebata, Masaya Matsushima, Shinji Naganawa, Masato Nagino Efficacy of percutaneous transhepatic portal vein embolization using gelatin sponge particles and metal coils. Acta Radiol Open. ;7(4):2058460118769687 2018/04
- Epifanio Bagarinao, Erina Tsuzuki, Yukina Yoshida, Yohei Ozawa, Maki Kuzuya, Takashi Otani, Shuji Koyama, Haruo Isoda, Hirohisa Watanabe, Satoshi Maesawa, Shinji Naganawa, Gen Sobue Effects of Gradient Coil Noise and Gradient Coil Replacement on the Reproducibility of Resting State Networks. Front Hum Neurosci. 12:148. doi: 10.3389/fnhum.2018.00148. 2018/04
- Shinji Ito, Shingo Iwano, Katsuhiko Kato, Shinji Naganawa Predictive factors for the outcomes of initial I-131 low-dose ablation therapy to Japanese patients with differentiated thyroid cancer. Ann Nucl Med. 32(6):418-424. 2018/05
- Masahiro Yamada, Toshiaki Taoka, Ai Kawaguchi, Kenji Yasuda, Yasushi Niinomi, Yoichi Ohashi, Takahito Okuda, Shinji Naganawa Inter-individual Comparison of Gadobutrol and Gadoteridol Tissue Time-intensity Profiles for Dynamic Susceptibility Contrast Perfusion MR Imaging. Magn Reson Med Sci. doi: 10.2463/mrms.mp.2017-0172. 2018/05
- Kana Kimura, Yoshiyuki Itoh, Tohru Okada, Seiji Kubota, Mariko Kawamura, Rie Nakahara, Yumi Oie, Yuka Kozai, Yuuki Takase, Hidenori, Tsuzuki, Naoki Nishio, Mariko Hiramatsu, Yasushi Fujimoto, Takefumi Mizutani, Akihiro Hirakawa, Shinji Naganawa Study Protocol: Prospective Study of Concurrent Chemoradiotherapy with S-1 and Hypofractionated Radiotherapy for Outpatients with Early Glottic Squamous Cell Carcinomas. Asian Pac J Cancer Prev. 19(5): 1195-1199. 2018/05
- Shinsuke Muraoka, Yoshio Araki, Toshiaki Taoka, Hisashi Kawai, Sho Okamoto, Kenji Uda, Shinji Ota, Shinji Naganawa, Toshihiko Wakabayashi
- Prediction of Intracranial Arterial Stenosis Progression in Patients with Moyamoya Vasculopathy: Contrast-Enhanced High-Resolution Magnetic Resonance VesselWall Imaging. World Neurosurg. 116:e1114-e1121. 2018/08
- Ken Nagasaka, Hiroko Satake, Satoko Ishigaki, Hisashi Kawai, Shinji Naganawa Histogram analysis of quantitative pharmacokinetic parameters on DCE-MRI: correlations
- with prognostic factors and molecular subtypes in breast cancer.
- Breast Cancer. 2018 doi: 10.1007/s12282-018-0899-8. 2018/08
- Satofumi Sugimoto, Tadao Yoshida, Masaaki Teranishi, Masumi Kobayashi, Mariko Shimono, Shinji Naganawa, Michihiko Sone
- Significance of Endolymphatic Hydrops Herniation Into the Semicircular Canals Detected on MRI.
- Otol Neurotol. doi: 10.1097/MAO.0000000000002022. 2018/10
- Takamasa Yokoi, Hirohisa Watanabe, Hiroshi Yamaguchi, Epifanio Bagarinao,
- Michihito Masuda, Kazunori Imai, Aya Ogura, Reiko Ohdake, Kazuya Kawabata,
- Kazuhiro Hara, Yuichi Riku, Shinsuke Ishigaki, Masahisa Katsuno, Shinichi
- Miyao, Katsuhiko Kato, Shinji Naganawa, Ryuichi Harada, Nobuyuki Okamura,
- Kazuhiko Yanai, Mari Yoshida, Gen Sobue
- Involvement of the Precuneus/Posterior Cingulate Cortex Is Significant for the Development
- of Alzheimer's Disease: A PET (THK5351, PiB) and Resting fMRI Study.
- Front Aging Neurosci. 10:304. doi: 10.3389/fnagi.2018.00304. 2018/10
- Shinji Naganawa, Toshiki Nakane, Hisashi Kawai, Toshiaki Taoka
- Age Dependence of Gadolinium Leakage from the Cortical Veins into the Cerebrospinal Fluid Assessed
- with Whole Brain 3D-real Inversion Recovery MR Imaging.
- Magn Reson Med Sci. doi:10.2463/mrms.mp.2018-0053 2018/11
- Yuuki Ohara, Seiichi Kato, Daisuke Yamashita, Akira Sato, Yoshie Shimoyama,
- Chie Hamaie, Motoki Sato, Nobutaro Ban, Koji Yamamoto, Takehiro Yamada,
- Hisashi Kawai, Koichi Ohshima, Shigeo Nakamura, Shinya Toyokuni
- An autopsy case report: Differences in radiological images correlate with
- histology in Erdheim-Chester disease. Pathol Int. 68(6):374-381. 2018/06
- Toshiaki Taoka, Shinji Naganawa, Hisashi Kawai, Toshiki Nakane, Katsutoshi Murata
- Can low b value difusion weighted imaging evaluate the character of cerebrospinal luid dynamics?
- Japanese Journal of Radiology.doi.org/10.1007/s11604-018-0790-8. 2018/11
- Satoshi Shibata, Shigeyuki Takamatsu, Kazutaka Yamamoto, Miu Mizuhata,
- Sayuri Bou, Yoshitaka Sato, Mariko Kawamura, Satoko Asahi, Yuji Tameshige,
- Yoshikazu Maeda, Makoto Sasaki, Tomoyasu Kumano, Satoshi Kobayashi, Hiroyasu
- Tamamura, Toshifumi Gabata
- Proton Beam Therapy without Fiducial Markers Using Four Dimensional CT Planning for Large Hepatocellular Carcinomas.
- Cancers 10(3):71 2018
- Miu Mizuhata, Shigeyuki Takamatsu, Satoshi Shibata, Sayuri Bou, Yoshitaka
- Sato, Mariko Kawamura, Satoko Asahi, Yuji Tameshige, Yoshikazu Maeda, Makoto
- Sasaki, Tomoyasu Kumano, Satoshi Kobayashi, Hiroyasu, Kazutaka Yamamoto, Tamamura, Toshifumi Gabata Respiratory-Gated Proton Beam Therapy for Hepatocellular Carcinoma Adjacent to the Gastrointestinal Tract without Fiducial Markers. Cancers 10(2):58 2018
- Mahsa Eskian, Abass Alavi, MirHojjat Khorasanizadeh, Benjamin L. Viglianti, Hans Jacobsson, Tara D. Barwick, Alipasha Meysamie, Sun K. Y, Shingo Iwano, Bohdan Bybel, Federico Caobelli, Filippo Lococo, Joaquim Gea, Antonio Sancho-Munoz, Jukka Schildt, Ebru Tatc?, Constantin Lapa, Georgia Keramida, Michael Peters, Raef R. Boktor, Joemon John, Alexander G. Pitman, Tomasz Mazurek, Nima Rezaei Effect of blood glucose level on standardized uptake value (SUV) in 18F- FDG PET-scan: a systematic review and meta-analysis of 20,807 individual SUV measurements. Eur J Nucl Med Mol Imaging. doi: 10.1007/s00259-018-4194-x. 2018
- Kenichi Nakanishi, Toyone Kikumori, Noriyuki Miyajima, Yuko Takano,Sumiyo Noda, Dai Takeuchi, Shingo Iwano, Yasuhiro Kodera Impact of Patient Age and Histological Type on Radioactive Iodine Avidity of Recurrent Lesions of Differentiated Thyroid Carcinoma. Clin Nucl Med. 43(7):482-485. 2018/07
- Naozumi Hashimoto, Akira Ando, Shingo Iwano, Koji Sakamoto, Shotaro Okachi, Asuka Matsuzaki, Yu Okada, Kenji Wakai, Kohei Yokoi, Yoshinori Hasegawa Thin-section computed tomographydetermined usual interstitial pneumonia pattern affects the decision-making process for resection in newly diagnosed lung cancer patients: a retrospective study. BMC Pulm Med. 18: 2. 2018/01
- Masahiro Nakano, Hiroshi Araki, Kazuhiro Ohtakara, Hidekazu Tanaka, Koji Iinuma, Takashi Deguchi Significance of total colonoscopy screening before definitive radiotherapy for prostate cancer on the detection of anorectocolonic disease requiring intervention in advance. Int J Urol 25(2): 166-168. 2018/02
- Kazuto Ito, Shiro Saito, Atsunori Yorozu, Shinsuke Kojima, Takashi Kikuchi, Satoshi Higashide, Manabu Aoki, Hirofumi Koga, Takefumi Satoh, Toshio Ohashi, Katsumasa Nakamura, Norihisa Katayama, Nobumichi Tanaka, Masahiro Nakano, Naoyuki Shigematsu, For the J-POPS Investigators. Nationwide Japanese Prostate Cancer Outcome Study of Permanent Iodine-125
- Seed Implantation (J-POPS): first analysis on survival. Int J Clin Oncol. doi: 10.1007/s10147-018-1309-0. 2018
- Tomoya Watanabe, Haruo Isoda, Yasuo Takehara, Masaki Terada, Takehiro Naito, Takafumi Kosugi, Yuki Onishi, Chiharu Tanoi, Takashi Izumi Hemodynamic vascular biomarkers for initiation of paraclinoid internal carotid artery
- aneurysms using patient-specific computational fluid dynamic simulation based on magnetic resonance imaging. Neuroradiology. 60(5):545-555. 2018/05
- Toshio Ohashi, Shinji Naganawa, Eriko Ogawa, Toshio Katagiri, Kayao Kuno Signal Intensity of the Cerebrospinal Fluid after Intravenous Administration of Gadolinium-based Contrast Agents: Strong Contrast Enhancement around the Vein of Labbe. Magn Reson Med Sci. in press 2018
- Naganawa Shinji Clinical MR imaging of endolymphatic hydrops:Updates on scanning methods, image processing and interpretation. Solutions in Contrast Imaging. 9(5):1-5. 2018
2017
- Kyoko Morimoto, Tadao Yoshida, Saiko Sugiura, Masahiro Kato, Ken Kato, Masaaki Teranishi, Shinji Naganawa, Tsutomu Nakashima, Michihiko Sone Endolymphatic hydrops in patients with unilateral and bilateral Meniere's disease. Acta Otolaryngol. 137(1):23-28. 2017/01
- Shingo Iwano, Rintaro Ito, Hiroyasu Umakoshi, Takatoshi Karino, Tsutomu Inoue, Yuanzhong Li, Shinji Naganawa Thoracic Temporal Subtraction Three Dimensional Computed Tomography (3D-CT): Screening for Vertebral Metastases of Primary Lung Cancers. PLoS One. 12(1):e0170309. 2017/01
- Toshiaki Taoka, Akio Fukuisumi, Toshiteru Miyasaka, Hisashi Kawai, Toshiki Nakane, Kimihiko Kichikawa, Shinji Naganawa Structure of the Medullary Veins of the Cerebral Hemisphere and Related Disorders. Radiographics.37(1):281-297. 2017/01
- Yukunori Korogi, Shinji Naganawa Emerging neuroradiological topics in journals from related societies. Jpn. J Radiol. 35(1):1-2. 2017/02
- Tadao Yoshida, Satofumi Sugimoto, Masaaki Teranishi, Hironao Otake, Masahiro Yamazaki, Shinji Naganawa, Tsutomu Nakashima, Michihiko Sone Imaging of the endolymphatic space in patients with Meniere's disease. Auris Nasus Larynx. S0385-8146(17)30142-6. 2017/02
- Rise Miyauchi, Yoshiyuki Itoh, Mariko Kawamura, Akihiro Hirakawa, Kiyosumi Shibata, Hiroaki Kajiyama, Rie Nakahara, Seiji Kubota, Junji Ito, Tohru Okada, Fumitaka Kikkawa, Shinji Naganawa Postoperative chemoradiation therapy using high dose cisplatin and fluorouracil for high- and intermediate-risk uterine cervical cancer. Nagoya J Med Sci. 79(2):211-220. 2017/02
- Shinji Naganawa Do gadolinium-based contrast agents affect the 18F-FDG PET/CT uptake in the dentate nucleus and the globus pallidus? J Nucl Med Technol. 45(1):30-33. 2017/03
- Michihiko Sone, Tadao Yoshida, Satofumi Sugimoto, Kyoko Morimoto, Yuriko Okazaki, Masaaki Teranishi, Shinji Naganawa, Tsutomu Nakashima Magnetic resonance imaging evaluation of endolymphatic hydrops andpost-operative findings in cases with otosclerosis. Acta Otolaryngol. 137(3):242-245. 2017/03
- Toshiaki Taoka, Yoshitaka Masutani, Hisashi Kawai, Toshiki Nakane, Kiwamu Matsuoka, Fumihiko Yasuno, Toshifumi Kishimoto, Shinji Naganawa Evaluation of glymphatic system activity with the diffusion MR technique:diffusion tensor image analysis along the perivascular space (DTI-ALPS) in Alzheimer's disease cases. Jpn J Radiol. 35:172-178. 2017/04
- Shinji Naganawa, Toshiki Nakane, Hisashi Kawai, Toshiaki Taoka Lack of Contrast Enhancement in a Giant Perivascular Space of the Basal Ganglion on Delayed FLAIR Images: Implications for the Glymphatic System. Magn Reson Med Sci. 16(2):89-90. 2017/04
- Masashi Kotsugi, Katsutoshi Takayama, Kaoru Myouchin, Takeshi Wada, Ichiro Nakagawa, Hiroyuki Nakagawa, Toshiaki Taoka, Shinichiro Kurokawa, Hiroyuki Nakase, Kimihiko Kichikawa Carotid Artery Stenting Investigation of Plaque Protrusion Incidence and Prognosis.
- JACC Cardiovasc Interv. 10(8):824-831. 2017/04
- Shunsuke Terasaka, Toshiaki Taoka, Satoshi Kuroda, Nobutaka Mikuni, Toru Nishi, Hiroyuki Nakase, Yukihiko Fujii, Yasuhiko Hayashi, Jun-ichi Murata, Ken-ichiro Kikuta, Toshihiko Kuroiwa, Sachie Shimokawa, Kiyohiro Houkin Efficacy and safety of non-suture dural closure using a novel dural substitute consisting of polyglycolic acid felt and fibrin glue to prevent cerebrospinal fluid leakage?A non-controlled, open-label, multicenter clinical trial?. J Mater Sci: Mater Med. 28:69. 2017/05
- Goncalo Neto d'Almeida, Luis Sousa Marques, Pedro Escada, Toshiaki Taoka, Pedro Goncalves Pereira Diffusion tensor tractography in the preoperative precise identification of the course of facial nerve in a meningioma of the cerebellopontine angle ? Technical implications. Interdisciplinary Neurosurgery: Advanced Techniques and Case Management. (9):58-60. 2017
- Yutaro Koide, Takeshi Kodaira, Hiroyuki Tachibana, Natsuo Tomita, Chiyoko Makita, Makoto Itoh, Tetsuya Abe, Kei Muro, Masahiro Tajika, Yasumasa Niwa, Yoshiyuki Itoh, Shinji Naganawa Clinical outcome of definitive radiation therapy for superficial esophageal cancer. Jpn J Clin Oncol. 47(5):393-400. 2017/05
- Joe Senda, Naoki Atsuta, Hirohisa Watanabe, Epifanio Bagarinao, Kazunori Imai, Daichi Yokoi, Yuichi Riku, Michihito Masuda, Ryoichi Nakamura, Hazuki Watanabe, Mizuki Ito, Masahisa Katsuno, Shinji Naganawa, Gen Sobue Structural MRI correlates of amyotrophic lateral sclerosis progression. J Neurol Neurosurg Psychiatry. 2017/05
- Kojiro Suzuki, Tomoki Ebata, Tomohiro Komada, Masaya Matsushima, Takashi Mizuno,Tsuyoshi Igami, Gen Sugawara, Yukihiro Yokoyama, Shinji Naganawa, Masato Nagino Portal Vein Bleeding after Pancreatectomy: Diagnosis and Stent Graft Repair - A Consecutive Case Series. Journal of the Pancreas. 18(3):241-246. 2017/05
- Shinji Naganawa, Hisashi Kawai, Toshiaki Taoka, Michihiko Sone Improved HYDROPS: Imaging of Endolymphatic Hydrops after Intravenous Administration of Gadolinium. Magn Reson Med Sci. 2017/05
- Shinji Naganawa Effect of Gadolinium Deposition on 18F-FDG PET/CT of Dentate Nucleus and Globus Pallidus. J Nucl Med Technol. 45(2):173. 2017/06
- Toshio Ohashi, Shinji Naganawa, Toshio Katagiri, Kayao Kuno Relationship between Contrast Enhancement of the Perivascular Space in the Basal Ganglia and Endolymphatic Volume Ratio. Magn Reson Med Sci. 2017/06
- Hiroyasu Umakoshi, Shingo Iwano, Kohei Yokoi, Shinji Ito, Rintaro Ito, Koji Kawaguchi, Takayuki Fukui, Shinji Naganawa FDG PET/CT Overcomes Discordance Between Clinical and Pathologic TNM lassification of Small-size Primary Lung Cancer: Influence on Postoperative Prognosis. Clin Lung Cancer. S1525-7304(17)30170-5. 2017/06
- Shinji Naganawa, Michihiko Sone Letter to Editors: Detection of endolymphatic hydrops using traditional MR imaging sequences. Am J Otolaryngol.S0196-0709(17)30378-2. 2017/06
- Mariko Kawamura, Yoshikazu Maeda, Kazutaka Yamamoto, Shigeyuki Takamatsu, Yoshitaka Sato, Hiroki Minami, Yusuke Saga, Kyo Kume, Yoshiyuki Itoh, Shinji Naganawa Development of the breast immobilization system in prone setup: The effect of bra in prone position to improve the breast setup error. J Appl Clin Med Phys. 18(4):155-160. 2017/07
- Yuriko Okazaki, Tadao Yoshida, Satofumi Sugimoto, Masaaki Teranishi, Ken Kato, Shinji Naganawa, Michihiko Sone Significance of Endolymphatic Hydrops in Ears With Unilateral Sensorineural Hearing Loss. Otol Neurotol. doi: 10.1097/MAO.0000000000001499. 2017/07
- Hidenori Suzuki, Katsuhiko Kato, Masami Nishio, Tsuneo Tamaki, Yasushi Fujimoto, Mariko Hiramatsu, Nobuhiro Hanai, Takeshi Kodaira, Yoshiyuki Itoh, Shinji Naganawa, Michihiko Sone, Yasuhisa Hasegawa FDG-PET/CT predicts survival and lung metastasis of hypopharyngeal cancer in a multi-institutional retrospective study. Ann Nucl Med. 31(7):514-520. 2017/08
- Rintaro Ito, Shingo Iwano, Hironori Shimamoto, Hiroyasu Umakoshi, Koji Kawaguchi, Shinji Ito, Katsuhiko Kato, Shinji Naganawa A comparative analysis of dual-phase dual-energy CT and FDG-PET/CT for the prediction of histopathological invasiveness of non-small cell lung cancer. European Journal of Radiology. 95:186-191 2017/08
- Shinji Naganawa, Hisashi Kawai, Toshiaki Taoka, Michihiko Sone Improved HYDROPS: Imaging of Endolymphatic Hydrops after Intravenous Administration of Gadolinium. Magn Reson Med Sci. 16:357-361 2017/10
2016
- Sone M, Yoshida T, Sugimoto S, Morimoto K, Okazaki Y, Teranishi M, Naganawa S, Nakashima T. Magnetic resonance imaging evaluation of endolymphatic hydrops andpost-operative findings in cases with otosclerosis. Acta Otolaryngol., 2016;1-4.
- Masuda M, Senda J, Watanabe H, Epifanio B, Tanaka Y, Imai K, Riku Y, Li Y, Nakamura R, Ito M, Ishigaki S, Atsuta N, Koike H, Katsuno M, Hattori N, Naganawa S, Sobue G. Involvement of the caudate nucleus head and its networks in sporadic amyotrophic lateral sclerosis-frontotemporal dementia continuum. Amyotroph Lateral Scler Frontotemporal Degener., 2016;1-9.
- Sone M, Yoshida T, Sugimoto S, Morimoto K, Okazaki Y, Teranishi M, Naganawa S, Nakashima T. Magnetic resonance imaging evaluation of endolymphatic hydrops andpost-operative findings in cases with otosclerosis. Acta Otolaryngol., 2016;1-4.
- Morimoto K, Yoshida T, Sugiura S, Kato M, Kato K, Teranishi M, Naganawa S, Nakashima T, Sone M. Endolymphatic hydrops in patients with unilateral and bilateral Meniere's disease. Acta Otolaryngol., 2016; 1-6.
- Kamomae T, Oita M, Hayashi N, Sasaki M, Aoyama H, Oguchi H, Kawamura M, Monzen H, Itoh Y, Naganawa S. Characterization of stochastic noise and post-irradiation density growth for reflective-type radiochromic film in therapeutic photon beam dosimetry. Phys Med., 2016;S1120-1797(16)30224-1.
- Shimamoto H, Iwano S, Umakoshi H, Kawaguchi K, Naganawa S. Evaluation of locoregional invasiveness of small-sized non-small cell lung cancers by enhanced dual-energy computed tomography. Cancer Imaging., 2016;16:18.
- Takahashi N, Yoshino O, Maeda E, Naganawa S, Harada M, Koga K, Hiraike O, Nakamura M, Tabuchi T, Hori M, Saito S, Fujii T, Osuga Y. Usefulness of T2 star-weighted imaging in ovarian cysts and tumors. J Obstet Gynaecol Res., 2016;42(10):1336-1342.
- Suzuki K, Naganawa S, Furuhashi N, Yamazaki M, Ogawa H, Kawai H. Contrast-enhanced magnetic resonance pancreatography with gadoteridol by heavily T2-weighted three-dimensional fluid-attenuated inversion recovery: preliminary results in healthy subjects. Nagoya J Med Sci., 2016;78(2):175-181.
- Satake H, Ishigaki S, Kitano M, Naganawa S. Prediction of prone-to-supine tumor displacement in the breast using patient position change: investigation with prone MRI and supine CT. Breast Cancer., 2016;(1):149-158.
- Kamomae T, Itoh Y, Okudaira K, Nakaya T, Tomida M, Miyake Y, Oguchi H, Shiinoki T, Kawamura M, Yamamoto N, Naganawa S. Dosimetric impact of dental metallic crown on intensity-modulated radiotherapy and volumetric-modulated arc therapy for head and neck cancer. Journal of Applied Clinical Medical Physics., 2016;17(1):5870.
- Nishimura Y, Jingu K, Itasaka S, Negoro Y, Murakami Y, Karasawa K, Kawaguchi G, Isohashi F, Kobayashi M, Itoh Y, Ariga T. Clinical outcomes of radiotherapy for esophageal cancer between 2004 and 2008: the second survey of the Japanese Radiation Oncology Study Group (JROSG). Int J Clin Onco., 2016;21(1):88-94.
- Tomida M, Okudaira K, Kamomae T, Oguchi H, Miyake Y, Yoneda K, Itoh Y. Relationship between prostate volume changes and treatment duration of neoadjuvant androgen deprivation during intensity-modulated radiation therapy for Japanese patients with prostate cancer. Nagoya J. Med. Sci., 2016;78:313-321.
- Ohashi T, Naganawa S, Kanou M, Ikeda M. CSF Pulsation Artifacts on ADC Maps Obtained with Readout-segmented EPI. Magn Reson Med Sci.,
- Taoka T, Yasuno F, Morikawa M, Inoue M, Kiuchi K, Kitamura S, Matsuoka K, Kishimoto T, Kichikawa K, Naganawa S. Diffusion tensor studies and voxel‑based morphometry of the temporal lobe to determine the cognitive prognosis in cases of Alzheimer’s disease and mild cognitive impairment: Do white matter changes precede gray matter changes? SpringerPlus., 2016;(5):1023.
- Naganawa S, Nakane T, Kawai H, Taoka T. Gd-based Contrast Enhancement of the Perivascular Spaces in the Basal Ganglia. Magn Reson Med Sci., 2016; doi:10.2463/mrms.mp.2016-0039
- Suzuki K, Naganawa S, Furuhashi N, Yamazaki M, Ogawa H, Kawai H. Contrast-enhanced magnetic resonance pancreatography with gadoteridol by heavily T2-weighted three-dimensional fluid-attenuated inversion recovery: preliminary results in healthy subjects. Nagoya J. Med. Sci., 2016;78:175- 181.
- Maki S, Itoh Y, Kubota S, Tohru Okada, Rie Nakahara, Junji Ito, Kawamura M, Kamomae T, Naganawa S, Yoshino Y, Gotoh M, Ikeda M. Late Rectal Toxicity from Image-guided Intensity Modulated Radiotherapy for Prostate Cancer. Anticancer Res., 2016;36(6):2967-2973.
- Taoka T, Kawai H, Nakane T, Hori S, Ochi T, Miyasaka T, Sakamoto M, Kichikawa K, Naganawa S. Application of histogram analysis for the evaluation of vascular permeability in glioma by the K2 parameter obtained with the dynamic susceptibility contrast method: Comparisons with Ktrans obtained with the dynamic contrast enhance method and cerebral blood volume. Magn Reson Imaging., 2016;34(7):896-901.
- Naganawa S, Kanou M, Ohashi T, Kuno K, Sone M. Simple Estimation of the Endolymphatic Volume Ratio after Intravenous Administration of a Single-dose of Gadolinium Contrast. Magn Reson Med Sci., 2016;15(4):379-385.
- Naganawa S, Nakane T, Kawai H, Taoka T, Suzuki K, Iwano S, Satake H, Grodzki D. Visualization of Middle Ear Ossicles in Elder Subjects with Ultra-short Echo Time MR Imaging. Magn Reson Med Sci., 2016;doi:10.2463/mrms.mp.2015-0171.
- Nakashima T, Pyykkö I, Megan A. Arroll, Margaretha L. Casselbrant, Carol A. Foster, Nauman F. Manzoor, Cliff A. Megerian, Naganawa S, Yi‑Ho Young. Meniere’s disease. Nat Rev Dis Primers., 2016;2:16028.
- Sakata M, Takehara Y, Katahashi K, Sano M, Inuzuka K, Yamamoto N, Sugiyama M,Sakahara H, Wakayama T, Alley MT, Konno H, Unno N. Hemodynamic Analysis of Endoleaks After Endovascular Abdominal Aortic Aneurysm Repair by Using 4-Dimensional Flow-Sensitive Magnetic Resonance Imaging. Circ J. 2016;25:80(8):1715-1725.
- Suwa K, Saitoh T, Takehara Y, Sano M, Saotome M, Urushida T, Katoh H, Satoh H,Sugiyama M, Wakayama T, Alley M, Sakahara H, Hayashi H. Intra-left ventricular flow dynamics in patients with preserved and impaired left ventricular function: Analysis with 3D cine phase contrast MRI (4D-Flow). J Magn Reson Imaging., 2016 In press.
- Yoshihara S, Matsunaga M, Yaegashi T, Suzuki S, Naito M, Takehara Y. Unusual Serial Electrocardiographic Changes which Progressed to Arrhythmogenic Right Ventricular Cardiomyopathy. Intern Med., 2016;55(9):1103-1108.
- Yamashita Y, Murayama S, Okada M, Watanabe Y, Kataoka M, Kaji Y, Imamura K, Takehara Y, Hayashi H, Ohno K, Awai K, Hirai T, Kojima K, Sakai S, Matsunaga N, Murakami T, Yoshimitsu K, Gabata T, Matsuzaki K, Tohno E, Kawahara Y, Nakayama T, Monzawa S, Takahashi S. The essence of the Japan Radiological Society/Japanese College of Radiology Imaging Guideline. Jpn J Radiol., 2016;34(1):43-79.
- Sone M, Yoshida T, Morimoto K , Teranishi M, Nakashima T, Naganawa S. Endolymphatic hydrops in superior canal dehiscence and large vestibular aqueduct syndromes. Laryngoscope., 2015;126(6):1446-1450.
- Masaki Y, Kojiro S, Naohiro F, Kawakami K, Kawai Y, Naganawa S. Comparison of the multidetector-row computed tomography findings of IgG4-related sclerosing cholangitis and extrahepatic cholangiocarcinoma. Clin Radiol., 2016;71(3):203-210.
- Naganawa S, Kawai H, Taoka T, Suzuki K, Iwano S, Satake H, Sone M, Ikeda M. Cochlear Lymph Fluid Signal Increase in Patients with Otosclerosis after Intravenous Administration of Gadodiamide. Magn Reson Med, 2016;15(3):308-315.
- Taoka T, Fujioka M, Kashiwagi Y, Obata A, Rokugawa T, Hori M, Masutani Y, Aoki S, Naganawa S, Abe K. Time Course of Diffusion Kurtosis in Cerebral Infarctions of Transient Middle Cerebral Artery Occlusion Rat Model. J Stroke Cerebrovasc Dis., 2016;25(3):610-617.
- Nakashima T, Sugiura S, Naganawa S, Yasue M, Inui Y, Sakurai T, Uchida Y, Sone M, Teranishi M, Yoshida T, Ito K, Toba K. Cerumen impaction shown by brain magnetic resonance imaging in patients with cognitive impairment. Geriatr Gerontol Int., 2016;16(3):392-395.
- Terada M, Takehara Y, Isoda H, Uto T, Matsunaga M, Alley M. Low WSS and High OSI Measured by 3D Cine PC MRI Reflect High Pulmonary Artery Pressures in Suspected Secondary Pulmonary Arterial Hypertension. Magn Reson Med Sci., 2016;15(2):193-202.
- Itoh Y, Takehara Y, Kawase T, Terashima K, Ohkawa Y, Hirose Y, Koda A, HyodoN, Ushio T, Hirai Y, Yoshizawa N, Yamashita S, Nasu H, Ohishi N, Sakahara H.Feasibility of magnetic resonance elastography for the pancreas at 3T. J Magn Reson Imaging. 2016;43(2):384-390.
2015
- Naganawa S, Kawai H, Taoka T, Suzuki K, Iwano S, Satake H, Sone M, Ikeda M. Heavily T2-Weighted 3D-FLAIR Improves the Detection of Cochlear Lymph Fluid Signal Abnormalities in Patients with Sudden Sensorineural Hearing Loss. Magn Reson Med Sci., 2015;15(2):203-211.
- Natsume J, Ogawa C, Fukasawa T, Yamamoto H, Ishihara N, Sakaguchi Y, Ito Y, Takeuchi T, Azuma Y, Ando N, Kubota T, Tuji T, Kawai H, Naganawa S, Kidokoro H. White Matter Abnormality Correlates with Developmental and Seizure Outcomes in West Syndrome of Unknown Etiology. AJNR Am J Neuroradiol., 2015;37(4):698-705.
- Hori S, Taoka T, Miyasaka T, Ochi T, Sakamoto M, Wada T, Myochin K, Takayama K, Kichikawa K. Dural Thickening of the Internal Auditory Canal in Patients With Spontaneous Intracranial Hypotension Syndrome. J Comput Assist Tomogr., 2015;40(2):297-300.
- Ohara E, Kawamura M, Ogino M, Hoshino E, Kobayashi A, Hoshino J, Yamazaki A, Nishiumi T. Application of High-Pressure Treatment to Enhancement of Functional Components in Agricultural Products and Development of Sterilized Foods. Subcell Biochem., 2015;72:567-589.
- Itoh Y, Mizuno M, Ikeda M, Nakahara R, Kubota S, Ito J, Okada T, Kawamura M, Kikkawa F, Naganawa S. A Randomized, Double-Blind Pilot Trial of Hydrolyzed Rice Bran versus Placebo for Radioprotective Effect on Acute Gastroenteritis Secondary to Chemoradiotherapy in Patients with Cervical Cancer. Evidence-Based Complementary and Alternative Medicine., 2015;974390.
- Kato T, Iwano S, Taniguchi T, Kawaguchi K, Fukui T, Ishiguro F, Fukumoto K, Nakamura S, Hirakawa A. The contact length between the tumor contour and the lung on computed tomography is a risk factor for pleural recurrence after complete resection of thymoma. Gen Thorac Cardiovasc Surg., 2015;63(6):343-348.
- Sasaki M, Ikushima H, Tominaga M, Kamomae T, Kishi T, Oita M, Harada M. Dose impact of rectal gas on prostatic IMRT and VMAT. Japanese Journal of Radiology., 2015;33(12):723-733.
- Monzen H, Mizowaki T, Yano S, Fujimoto T, Kamomae T, Utsunomiya S, Nakamura M, Hiraoka M. Impact of the Vero4DRT (MHI-TM2000) on the Total Treatment Time in Stereotactic Irradiation. Journal of Nuclear Medicine & Radiation Therapy., 2015;6(4).
- Onishi Y, Nakayama S, Watanabe S, Kaneshige S, Monzen H, Matsumoto K, Shintani N, Kamomae T. Comparison of Dose Accuracy between Film and Two-dimensional Detectors in Intensity-modulated Radiation Therapy. Journal of the Korean Physical Society., 2015;67(1):89-95.
- Kato T, Uehara K, Ishigaki S, Nihashi T, Arimoto A, Nakamura H, Kamiya T, Oshiro T, Ebata T, Nagino M. Clinical significance of dual-energy CT-derived iodine quantification in the diagnosis of metastatic LN in colorectal cancer. Eur J Surg Oncol., 2015;41(11):1464-1470.
- Nakane T, Miyakoshi M, Nakai T, Naganawa S. How the Non-attending Brain Hears Its Owner's Name. Cereb Cortex., 2015;26(10):3889-3904.
- Ito R, Iwano S, Kishimoto M, Ito S, Kato K, Naganawa S. Correlation between FDG-PET/CT findings and solid type non-small cell cancer prognostic factors: are there differences between adenocarcinoma and squamous cell carcinoma? Ann Nucl Med., 2015;29(10):897-905.
- Iwano S, Ito R, Umakoshi H, Ito S, Naganawa S. Evaluation of lung cancer by enhanced dual-energy CT: association between three-dimensional iodine concentration and tumour differentiation. Br J Radiol., 2015;(88):1055.
- Hyodo R, Suzuki K, Ogawa H, Komada T, Naganawa S. Pancreatic neuroendocrine tumors containing areas of iso- or hypoattenuation in dynamic contrast-enhanced computed tomography: Spectrum of imaging findings and pathological grading. Eur J Radiol., 2015;84(11):2103-2109.
- Kawamura A, Satake H, Ishigaki S, Ikeda M, Kimura R, Shimamoto K, Naganawa S. Prediction of background parenchymal enhancement on breast MRI using mammography, ultrasonography, and diffusion-weighted imaging. Nagoya J Med Sci., 2015;77(3):425-437.
- Kohara S, Ishigaki S, Satake H, Kawamura A, Kawai H, Kikumori T, Naganawa S. Background parenchymal enhancement in preoperative breast MRI. Nagoya J Med Sci., 2015;77(3):373-382.
- Inagaki N, Yoshida T, Sone M, Sugimoto S, Otake H, Teranishi M, Naganawa S, Nakashima T. Ossicular Anomaly and Endolymphatic Hydrops as Risk Factors for Complications after Ossiculoplasty. Austin J Radiol:2(5)1029.
- Kawamura M, Itoh Y, Sawaki M, Kikumori T, Tsunoda N, Kamomae T, Kubota S, Okada T, Nakahara R, Ito J, Hayashi H, Naganawa S. A phase I/II trial of intraoperative breast radiotherapy in an Asian population: 5-year results of local control and cosmetic outcome. Radiat Oncol., 2015;10:150.
- Suga K, Kato M, Yoshida T, Nishio N, Nakada T, Sugiura S, Otake H, Kato K, Teranishi M, Sone M, Naganawa S, Nakashima T. Changes in endolymphatic hydrops in patients with Ménière's disease treated conservatively for more than 1 year. Acta Oto-laryngol., 2015;135(9):866-870.
- Suzuki K, Igami T, Komada T, Mori Y, Yokoyama Y, Ebata T, Naganawa S, Nagino M. Stent-graft treatment for extrahepatic portal vein hemorrhage after pancreaticoduodenectomy. Acta Radiologica Open, 2015;4(6):1–4.
- Kamomae T, Monzen H, Nakayama S, Mizote R, Oonishi Y, Kaneshige S, Sakamoto T. Accuracy of Image Guidance Using Free-Breathing Cone-Beam Computed Tomography for Stereotactic Lung Radiotherapy. PLoS ONE, 2015;10(5):e0126152.
- Ochi T, Taoka T, Miyasaka T, Wada T, Sakamoto M, Hori S, Kichikawa K. “Cerebellar peduncle quarter notes” formed by the superior and middle cerebellar peduncles: comparison with a diffusion tensor study of spinocerebellar degeneration. Jpn J Radiol., 2015;33(4):210-215.
- Kimura K, Itoh Y, Okada T, Nakahara R, Kawamura M, Kubota S, Itoh J, Hiramatsu M, Fujimoto Y, Shibata T, Naganawa S. Critical evaluation of a prospective study of concurrent chemoradiotherapy with S-1 for early glottic carcinoma. ANTICANCER RESEARCH., 2015;35(4):2385-2390.
- Naganawa S, Kawai H, Sone M, Ikeda M. Ratio of Vestibular Endolymph in Patients with Isolated Lateral Semicircular Canal Dysplasia. Magn Reson Med Sci., 2015:14(3):203-210.
- Naganawa S, Ohashi T, Kanou M, Kuno K, Sone M, Ikeda M. Volume Quantification of Endolymph after Intravenous Administration of a Single Dose of Gadolinium Contrast Agent: Comparison of 18- versus 8-minute Imaging Protocols. Magn Reson Med Sci., 2015;14(4):257-262.
- Naganawa S. The Technical and Clinical Features of 3D-FLAIR in Neuroimaging. Magn Reson Med Sci., 2015;14(2):93-106.
- Isoda H, Takehara Y, Fujino H, Sone K, Suzuki T, Tsuzaki Y, Miyazaki K, Fujie M, Sakahara H, Maekawa Y. Gel phantom study of a cryosurgical probe with a thermosiphon effect and liquid nitrogen-cooled aluminum thermal storage blocks. Nagoya J Med Sci., 2015;77(3):399-407.
- Yoshihara S, Terada M, Kamiya M, Takehara Y. Post-stenotic Helical Aortic Flow on 4D-flow MRI. Intern Med., 2015;54(13):1669-1670.
- Isoda H, Takehara Y, Kosugi T, Terada M, Naito T, Onishi Y, Tanoi C, Amaya K, Sakahara H. MR-based computational fluid dynamics with patient-specific boundary conditions for the initiation of a sidewall aneurysm of a basilar artery. Magn Reson Med Sci., 2015;14(2):139-144.
- Ishikawa T, Takehara Y, Yamashita S, Iwashima S, Sugiyama M, Wakayama T,Johnson K, Wieben O, Sakahara H, Ogata T. Hemodynamic assessment in a child with renovascular hypertension using time-resolved three-dimensional cine phase-contrast MRI. J Magn Reson Imaging., 2015;41(1):165-168.
- Koizumi S, Sakai N, Kawaji H, Takehara Y, Yamashita S, Sakahara H, Baba S,Hiramatsu H, Sameshima T, Namba H. Pseudo-continuous arterial spin labeling reflects vascular density and differentiates angiomatous meningiomas from non-angiomatous meningiomas. J Neurooncol.,2015;121(3):549-56.
- Suwa K, Saitoh T, Takehara Y, Sano M, Nobuhara M, Saotome M, Urushida T,Katoh H, Satoh H, Sugiyama M, Wakayama T, Alley M, Sakahara H, Hayashi H.Characteristics of intra-left atrial flow dynamics and factors affecting formation of the vortex flow – analysis with phase-resolved 3-dimensional cine phase contrast magnetic resonance imaging. Circ J., 2015;79(1):144-152.
- Sakai N, Yamashita S, Takehara Y, Sakahara H, Baba S, Oki Y, Takahashi G,Koizumi S, Sameshima T, Namba H. Evaluation of the antiangiogenic effects of octreotide on growth hormone-producing pituitary adenoma using arterial spin-labeling perfusion imaging. Magn Reson Med Sci., 2015;14(1):73-76.
- Ishihara S, Matsusaka S, Kondo K, Horie H, Uehara K, Oguchi M, Murofushi K, Ueno M, Mizunuma N, Shinb T, Kato D, Okuda J, Hashiguchi Y, Nakazawa M, Sunami E, Kawai K, Yamashita H, Okada T, Ishikawa Y, Nakajima T, Watanabe T. A phase I dose escalation study of oxaliplatin plus oral S-1 and pelvic radiation in patients with locally advanced rectal cancer. Radiation Oncology., 2015;10:24.
- Hyodo R, Komada T, Takada A, Kawai H, Ito S, Nishida Y, Naganawa S. Solitary Fibrous Tumors in the Extremities: Imaging Findings for Six Patients. Nagoya J. Med. Sci., 2015;77(1-2):167-178.
- Kawakami K, Iwano S, Hashimoto N, Hasegawa Y, Naganawa S. Evaluation of Emphysema Using Three-Dimensional Computed Tomography: Association with Postoperative Complications in Lung Cancer Patients. Nagoya J. Med. Sci., 2015;77(1-2):113-122.
- Hyodo R, Suzuki K, Ebata T, Komada T, Mori Y, Yokoyama Y, Igami T, Sugawara G, Naganawa S, Nagino M. Assessment of percutaneous transhepatic portal vein embolization with portal vein stenting for perihilar cholangiocarcinoma with severe portal vein stenosis. J Hepatobiliary Pancreat Sci., 2015;22(4):310-315.
- Yoshida T, Sone M, Naganawa S, Nakashima T. Patient with an SLC26A4 gene mutation who had low-frequency sensorineural hearing loss and endolymphatic hydrops. J Laryngol Otol., 2015;129(1):95-97.
- Naganawa S, Kawai H, Ikeda M, Sone M, Nakashima T. Imaging of Endolymphatic Hydrops in 10 Minutes: A New Strategy to Reduce Scan Time to One Third. Magn Reson Med Sci., 2015;14(1):77-83.
2014
- Shibamoto Y, Sumi M, Onodera S, Matsushita H, Sugie C, Tamaki Y, Onishi H, Abe E, Koizumi M, Miyawaki D, Kubota S, Ogo E, Nomiya T, Takemoto M, Harada H, Takahashi I, Ohmori Y, Ishibashi N, Tokumaru S, Suzuki K. Primary CNS lymphoma treated with radiotherapy in Japan: a survey of patients treated in 2005-2009 and a comparison with those treated in 1985-2004. Int J Clin Oncol., 2014:19(5):963-971.
- Iwaki S, Hokamura K, Ogawa M, Takehara Y, Muramatsu Y, Yamane T, Hirabayashi K, Morimoto Y, Hagisawa K, Nakahara K, Mineno T, Terai T, Komatsu T, Ueno T,Tamura K, Adachi Y, Hirata Y, Arita M, Arai H, Umemura K, Nagano T, Hanaoka K. A design strategy for small molecule-based targeted MRI contrast agents: their application for detection of atherosclerotic plaques. Org Biomol Chem., 2014;12(43):8611-8618.
- Takayama T, Takehara Y, Sugiyama M, Sugiyama T, Ishii Y, Johnson KE, Wieben O, Wakayama T, Sakahara H, Ozono S. Use of three-dimensional time-resolved phase-contrast magnetic resonance imaging with vastly undersampled isotropic projection reconstruction to assess renal blood flow in a renal cell carcinoma patient treated with sunitinib: a case report. BMC Res Notes., 2014;7:527.
- Takamatsu S, Yamamoto K, Kawamura M, Asahi S, Satoh Y, Tameshige Y, Maeda Y, Sasaki M, Tamamura H, Shibata S, Gabata T. Focal Liver Reaction After Proton Beam Therapy for Hepatocellular Carcinoma Examined With Gadoxetate Disodium-Enhanced Hepatic MRI: Initial Results. International Journal of Radiation Oncology• Biology• Physics., 2014;90(1):S370.
- Takamatsu S, Yamamoto K, Kawamura K, Asahi S, Satoh Y, Tameshige Y, Maeda Y, Sasaki M, Tamamura H, Shibata S, Gabata T. Early Experience With Proton Beam Therapy for Hepatocellular Carcinoma. International Journal of Radiation Oncology• Biology• Physics., 2014;90(1):S370-S371.
- Takamatsu S, Yamamoto K, Kawamura M, Sato Y, Asahi S, Kondou T, Tameshige Y, Maeda Y, Sasaki M, Kumano T, Gabata T. Utility of an initial adaptive bladder volume control with ultrasonography for proton-beam irradiation for prostate cancer. Japanese journal of radiology., 2014;32(10):618-622.
- Takamatsu S, Yamamoto K, Kondou T, Kawamura M, Asahi S, Tameshige Y, Maeda Y, Sasaki M, Tamamura H, Tsuji A, Kaizaki Y, Kumano T, Takanaka T. Basaloid squamous cell carcinoma in the nasal cavity treated with proton beam therapy concurrent with cisplatin: a case report. Journal of medical case reports., 2014; 8:123.
- Mukaida T, Sone M, Yoshida T, Kato K, Teranishi M, Naganawa S, Nakashima T. Magnetic Resonance Imaging Evaluation of Endolymphatic Hydrops in Cases with Otosclerosis. Otology & Neurotology., 2014;36(7):1146-1150.
- Furuhashi N, Suzuki K, Sakurai Y, Ikeda M, Kawai Y, Naganawa S. Differentiation of focal-type autoimmune pancreatitis from pancreatic carcinoma: assessment by multiphase contrast-enhanced CT. Eur Radiol., 2015;25(5):1366-1374.
- Kitano M, Iwano S, Hashimoto N, Matsuo K, Hasegawa Y, Naganawa S. Lobar analysis of collapsibility indices to assess functional lung volumes in COPD patients. International Journal of COPD., 2014;9:1347-1356.
- Abe S, Kato K, Takahashi Y, Fujita N, Ikeda M, Ota N, Kajita Y, Yamamoto S, Naganawa S. Estimation of regional cerebral blood flow using N-isopropyl-p-123I iodoamphetamine acquisition data from the lungs and brain. An improved non-invasive technique. Nuklearmedizin., 2014;53(6):221-226.
- Yamamoto S, Watabe H, Kanai Y, Kato K, Hatazawa J. Development of a high-resolution YSO gamma camera system that employs 0.8-mm pixels. Ann Nucl Med., 2014;28(3):232-240.
- Hosono M, Saga T, Ito K, Kumita S, Sasaki M, Senda M, Hatazawa J, Watanabe H, Ito H, Kanaya S, Kimura Y, Saji H, Jinnouchi S, Fukukita H, Murakami K, Kinuya S, Yamazaki J, Uchiyama M, Uno K, Kato K, Kawano T, Kubota K, Togawa T, Honda N, Maruno H, Yoshimura M, Kawamoto M, Ozawa Y. Clinical practice guideline for dedicated breast PET. Ann Nucl Med., 2014;28(6):597-602.
- Yamamoto S, Watabe T, Ikeda H, Kanai Y, Watabe H, Ogata Y, Kato K, Hatazawa J. Ultrahigh-resolution Cerenkov-light imaging system for positron radionuclides: potential applications and limitations. Ann Nucl Med., 2014;28(10):961-969.
- Natsume J, Maeda N, Itomi K, Kidokoro H, Ishihara N, Takada H, Okumura A, Kubota T, Miura K, Aso K, Morikawa T, Kato K, Negoro T, Watanabe K. PET in Infancy Predicts Long-Term Outcome during Adolescence in Cryptogenic West Syndrome. AJNR Am J Neuroradiol., 2014;35(8):1580-1585.
- Yamamoto S, Hamamura F, Watabe T, Ikeda H, Kanai Y, Watabe H, Kato K, Ogata Y, Hatazawa J. Development of a PET/Cerenkov-light hybrid imaging system. Med Phys., 2014;41(9):092504. 1-6.
- Shiinoki T, Kawamura S, Uehara T, Yuasa Y, Kamomae T, Kotakebayashi T, Koike M, Kanzaki R, Park S C, Hanazawa H, Takahashi S, Shibuya K. Quality Assurance for Respiratory-Gated Radiotherapy Using the Real-Time Tumor-Tracking Radiotherapy System. International Journal of Medical Physics, Clinical Engineering and Radiation Oncolog, 2014;(3):125-132.
- Iwano S, Kishimoto M, Ito S, Kato K, Ito R, Naganawa S. Prediction of pathologic prognostic factors in patients with lung adenocarcinomas: comparison of thin-section computed tomography and positron emission tomography/computed tomography. Cancer Imaging., 2014;14:3.
- Ozeki N, Iwano S, Taniguchi T, Kawaguchi K, Fukui T, Ishiguro F, Fukumoto K, Nakamura S, Hirakawa A, Yokoi K. Therapeutic surgery without a definitive diagnosis can be an option in selected patients with suspected lung cancer. Interactive CardioVascular and Thoracic Surgery. 2014;19(5):830-837.
- Naganawa S, Sone M. Visualization of Human Inner Ear Anatomy with High-Resolution MR Imaging at 7T. AJNR Am J Neuroradiol., 2014;35(12):E10.
- Sone Y, Sobajima A, Kawachi T, Kohara S, Kato K, Naganawa S. Ability of 18-fludeoxyglucose positron emission tomography/CT to detect incidental cancer. Br J Radiol., 2014;(87):1042.
- Kishimoto M, Iwano S, Ito S, Kato K, Ito R, Naganawa S. Prognostic evaluations of small size lung cancers by 18F-FDG PET/CT and thin-section CT. Lung Cancer., 2014;86(2):180-184.
- Naganawa S, Sone M. 3D Real Inversion Recovery MR Imaging for the Visualization of Endolymphatic Hydrops. AJNR Am J Neuroradiol., 2014:35(12) :E9.
- Yamazaki M, Naganawa S, Bokura K, Kawai H. Visualization of brain white matter tracts using heavily t2-weighted three-dimensional fluid-attenuated inversion-recovery magnetic resonance imaging. Nagoya J. Med. Sci., 2014;76(3),(4):285-291.
- Nakada T, Yoshida T, Suga K, Kato M, Otake H, Kato K, Teranishi M, Sone M, Sugiura S, Kuno K, Pyykko I, Naganawa S, Watanabe H, Sobue G, Nakashima T. Endolymphatic space size in patients with vestibular migraine and Meniere's disease. J Neurol., 2014;261(11):2079-2084.
- Yamada T, Hirashiki A, Okumura T, Adachi S, Shimazu S, Shimizu S, Morimoto R, Takeshita K, Naganawa S, Kondo T, Murohara T. Prognostic Impact of Combined Late Gadolinium Enhancement on Cardiovascular Magnetic Resonance and Peak Oxygen Consumption in Ambulatory Patients with Nonischemic Dilated Cardiomyopathy. Journal of Cardiac Failure, 2014;20(11):825-832.
- Suzuki H, Sone M, Yoshida T, Otake H, Kato K, Teranishi M, Suga K, Nakada T, Naganawa S, Nakashima T. Numerical Assessment of Cholesteatoma by Signal Intensity on Non-EP-DWI and ADC Maps. Otol Neurotol., 2014;35(6):1007-1010.
- Sassa N, Kato K, Abe S, Iwano S, Ito S, Ikeda M, Shimamoto K, Yamamoto S, Yamamoto T, Gotoh M, Naganawa S. Evaluation of 11C-choline PET/CT for primary diagnosis and staging of urothelial carcinoma of the upper urinary tract: a pilot study. Eur J Nucl Med Mol Imaging, 2014;41(12):2232-2241.
- Aiba T, Uehara K, Nihashi T, Tsuzuki T, Yatsuya H, Yoshioka Y. MRI and FDG-PET for Assessment of Response to Neoadjuvant Chemotherapy in Locally Advanced Rectal Cancer. Ann Surg Oncol., 2014;21(6):1801-1808.
- Suzuki H, Kato K, Fujimoto Y, Itoh Y, Hiramatsu M, Naganawa S, Hasegawa Y, Nakashima T. Prognostic value of 18F-fluorodeoxyglucose uptake before treatment for pharyngeal cancer. Ann Nucl Med., 2014;28(4):356-362.
- Naganawa S, Suzuki K, Yamazaki M, Sakurai Y, Ikeda M. Time Course for Measuring Endolymphatic Size in Healthy Volunteers Following Intravenous Administration of Gadoteridol. Magn Reson Med Sci., 2014;13(2):73-80.
- Naganawa S, Yamazaki M, Kawai H, Bokura K, Iida T, Sone M, Nakashima T. MR Imaging of Meniere's Disease after Combined Intratympanic and Intravenous Injection of Gadolinium using HYDROPS2. Magn Reson Med Sci., 2014;13(2):133-137.
- Naganawa S, Nakashima T. Visualization of endolymphatic hydrops with MR imaging in patients with Meniere's disease and related pathologies: current status of its methods and clinical significance. Jpn J Radiol., 2014;32(4):191-204.
- Yamazaki M, Naganawa S, Kawai H, Ikeda M, Bokura K, Isoda H, Nakashima T. Visualization of white matter tracts using a non-diffusion weighted magnetic resonance imaging method: Does intravenous gadolinium injection four hours prior to the examination affect the visualization of white matter tracts? PLoS ONE, 2014; 9(3):e91860.
- Hara K, Watanabe H, Ito M, Tsuboi T, Watanabe H, Nakamura R, Senda J, Atsuta N, Adachi H, Aiba I, Naganawa S, Sobue G. Potential of a new MRI for visualizing cerebellar involvement in progressive supranuclear palsy. Parkinsonism Relat Disord., 2014;20 (2):157-161.
- Kato M, Katayama N, Naganawa S, Nakashima T. Three-dimensional fluid-attenuated inversion recovery magnetic resonance imaging findings in a patient with relapsing polychondritis. The Journal of Laryngology & Otology, 2014;128(2):192-194.
- Ota N, Kato K, Iwano S, Ito S, Abe S, Fujita F, Yamashiro K, Yamamoto S, Naganawa S. Comparison of 18F-fluoride PET/CT, 18F-FDG PET/CT, and bone scintigraphy (planar and SPECT) in detection of bone metastases of differentiated thyroid cancer: a pilot study. Br J Radiol., 2014;87(1034).
- Hashimoto N, Matsuzaki A, Okada Y, Imai N, Iwano S, Wakai K, Imaizumi K, Yokoi K, Hasegawa Y. Clinical impact of prevalence and severity of COPD on the decision-making process for therapeutic management of lung cancer patients. BMC Pulm Med., 2014;14:14.
- Koike W, Iwano S, Matsuo K, Kitano M, Kawakami K, Naganawa S. Doubling time calculations for lung cancer by three-dimensional computer-aided volumetry: Effects of inter-observer differences and nodule characteristics. J Med Imaging Radiat Oncol., 2014;58(1):82-88.
- Itoh Y, Ikeda M, Hirasawa N, Ishihara S, Okuda T, Murao T, Kubota S, Okada T, Naganawa S, Ishigaki T. Retrospective Case Series of 15 Patients Treated with Chemoradiation Using 5-FU and Nedaplatin for Gynecological Malignancy: With Regard to Hemotoxicity. Nagoya Journal of Medical Science.,2014;76(1-2):11-16.
- Okochi Y, Nihashi T, Fuji M, Kato K, Okada Y, Ando Y, Maesawa S, Takebayashi S, Wakabayashi T, Naganawa S. Clinical use of 11C-methionine and 18F-FDG-PET for germinoma in central nervous system. Ann Nucl Med., 2014; 2013 28(2):94-102.
- Naganawa S, Suzuki K, Yamazaki M, Sakurai Y. Serial Scans in Healthy Volunteers Following Intravenous Administration of Gadoteridol: Time Course of Contrast Enhancement in Various Cranial Fluid Spaces. Magn Reson med Sci., 2014;13(1)7-13.
- Fujimoto Y, Kato S, Itoh Y, Naganawa S, Nakashima T. A Phase I Study of Concurrent Chemoradiotherapy Using Oral S-1 for Head and Neck Cancer. ANTICANCER RESEARCH, 2014;34(1):209-213.
2013
- Sone M, Yoshida T, Otake H, Kato K, Teranishi M, Naganawa S, Nakashima T. Evaluation of vascular activity in otosclerosis by laser Doppler flowmetry: comparison with computed tomographic densitometry. Otol Neurotol., 2013;34(9):1559-1563.
- Nakamichi R, Yamazaki M, Ikeda M, Isoda H, Kawai H, Sone M, Nakashima T, Naganawa S. Establishing Normal Diameter Range of the Cochlear and Facial Nerves with 3D-CISS at 3T. Magn Reson Med Sci., 2013;12(4):241-247.
- Yoshida T, Teranishi M, Kato M, Otake H, Kato K, Sone M, Yamazaki M, Naganawa S, Nakashima T. Endolymphatic hydrops in patients with tinnitus as the major symptom. Eur Arch Otorhinolaryngol.,2013;270(12):3043-3048.
- Ishihara T, Ito M, Niimi Y, Tsujimoto M, Senda J, Kawai Y, Watanabe H, Ishigami M, Ito T, Kamei H, Onishi Y, Nakamura T, Goto H, Naganawa S, Kiuchi T, Sobue G. Clinical and radiological impact of liver transplantation for brain in cirrhosis patients without hepatic encephalopathy. Clin Neurol Neurosurg., 2013;115(11):2341-2347.
- Ishikawa Y, Kato K, Taniguchi T, Kawaguchi K, Yokoi K. Imaging of a Case of Metaplastic Thymoma on 18F-FDG PET/CT. Clin Nucl Med., 2013;38(12):e463-464.
- Watanabe H, Senda J, Kato S, Ito M, Atsuta N, Hara K, Tsuboi T, Katsuno M, Nakamura T, Hirayama M, Adachi H, Naganawa S, Sobue G. Cortical and subcortical brain atrophy in Parkinson's disease with visual hallucination. Mov Disord. 2013;28(12):1732-1736.
- Nishiyama K, Itoh Y, Nakahara R, Asano A, Okada T, Kubota S, Maki S, Itoh J, Fujimoto Y, Nakashima T, Naganawa S. Clinical Evaluation of 12 Patients with Cervical Lymph Node Metastases from Squamous Cell Carcinoma of Unknown Primary: a Retrospective Review. Austral-Asian Journal of Cancer, 2013;12(4):275-283.
- Yamamoto S, Watabe H, Kanai H, Watabe T, Kato K, Hatazawa J. Development of an ultrahigh resolution Si-PM based PET system for small animals. Phys Med Biol., 2013;58(21):7875-7888.
- Naganawa S, Suzuki K, Nakamichi R, Bokura K, Yoshida T, Sone M, Georg H, Nakashima T, Ikeda M. Semi-quantification of Endolymphatic Size on MR Imaging after Intravenous Injection of Single-dose Gadodiamide: Comparison between Two Types of Processing Strategies. Magn Reson Med Sci., 2013;12(4):261-269.
- Shimono M, Teranishi M, Yoshida T, Kato M, Sano R, Otake H, Kato K, Sone M, Ohmiya N, Naganawa S, Nakashima T. Endolymphatic hydrops revealed by magnetic resonance imaging in patients with acute low-tone sensorineural hearing loss. Otol Neurotol. 2013;34(7):1241-1246.
- Iwano S, Yokoi K, Taniguchi T, Kawaguchi K, Fukui T, Naganawa S. Planning of segmentectomy using three-dimensional computed tomography angiography with a virtual safety margin: Technique and initial experience. Lung Cancer., 2013; 81(3):410-415.
- Naganawa S, Yamazaki M, Kawai H, Bokura K, Sone M, Nakashima T. Estimation of Perilymph Enhancement after Intrarympanic Administration of Gd-DTPA by Fast T1-mapping with a Dual Flip Angle 3D-Spoiled Gradient Echo Sequence. Magn Reson Med Sci., 2013;12(3):223-228.
- Takei T, Ikeda M, Imai K, Yamauchi-Kawaura C, Kato K, Isoda H. A new automated assessment method for contrast-detail images by applying support vector machine and its robustness to nonlinear image processing. Australas Phys Eng Sci Med., 2013;36(3):313-322.
- Akahane K, Tsunoda N, Kato M, Noda S, Shimoyama Y, Ishigaki S, Satake H, Nakamura S, Nagino M. Therapeutic strategy for granulomatous lobular mastitis: a clinicopathological study of 12 patients. Nagoya Journal of Medical Science., 2013;75(3-4):193-200.
- Yamada T, Hirashiki A, Xian Wu Cheng, Okumura T, Shimazu S, Okamoto R, Shinoda N, Isobe S, Takeshita K, Naganawa S, Kondo T, Murohara T. Relationship of Myocardial Fibrosis to Left Ventricular and Mitochondrial Function in Nonischemic Dilated Cardiomyopathy-A Comparison of Focal and Interstitial Fibrosis. J Card Fail, 2013;19(8):557-564.
- Iwano S, Kitano M, Matsuo K, Kawakami K, Koike W, Kishimoto M, Inoue T, Li Y, Naganawa S. Pulmonary lobar volumetry using novel volumetric computer-aided diagnosis and computed tomography. Interact Cardiovasc Thorac Surg, 2013;17(1):59-65.
- Kato K, Nihashi T, Ikeda M, Abe S, Iwano S, Itoh S, Shimamoto K, Naganawa S. Limited Efficacy of 18F-FDG PET/CT for Differentiation Between Metastasis-Free Pancreatic Cancer and Mass-Forming Pancreatitis. Clinical Nuclear Medicine, 2013;38(6):417-421.
- Yoshimura K, Nihashi T, Ikeda M, Ando Y, Kawai H, Kawakami K, Kimura R, Okada Y, Okochi Y, Ota N, Tsuchiya K, Naganawa S. Comparison of Liquid Crystal Display Monitors Calibrated With Gray-Scale Standard Display Function and With γ 2.2 and iPad: Observer Performance in Detection of Cerebral Infarction on Brain CT. AJR Am J Roentgenol., 2013;200(6):1304-1309.
- Nihashi T, Issa J Dahabreh, Terasawa T. PET in the clinical management of glioma: evidence map. AJR Am J Roentgenol, 2013; 200:654-660.
- Sakurai Y, Kawai H, Iwano S, Ito S, Ogawa H, Naganawa S. Supplemental value of diffusion-weighted whole-body imaging with background body signal suppression (DWIBS) technique to whole-body magnetic resonance imaging in detection of bone metastases from thyroid. J Med Imaging Radiat Oncol., 2013; 57(3):297-305.
- Hayashi D, Ohshima S, Isobe S, Xian Wu Cheng, Unno K, Funahashi H, Shinoda N, Okumura T, Hirashiki A, Kato K, Murohara T. Increased 99m Tc-sestamibi Washout Reflects Impaired Myocardial Contractile and Relaxation Reserve during Dobutamine Stress Due to Mitochondrial Dysfunction in Dilated Cardiomyopathy Patients. J Am Coll Cardiol., 2013;61(19):2007-2017.
- Kumagai M, Okada T, Mori S, Kandatsu S, Tsuji H. Evaluation of the dose variation for prostate heavy charged particle therapy using four-dimensional computed tomography. Journal of Radiation Research., 2013;54(2):357-366.
- Naganawa S, Yamazaki M, Kawai H, Bokura K, Sone M, Nakashima T. Three-dimensional Visualization of Endolymphatic Hydrops after Intravenous Administration of Single-dose Gadodiamide. Magn Reson Med Sci., 2013;12(2):147-151.
- Naganawa S, Yamazaki M, Kawai H, Bokura K, Sone M, Nakashima T. Visualization of Endolymphatic Hydrops in Meniere's Disease after Intravenous Administration of Single-dose Gadodiamide at 1.5T. Magn Reson Med Sci., 2013;12(2):137-139.
- Nihashi T, Dahabreh IJ, Terasawa T. Diagnostic Accuracy of PET for Recurrent Glioma Diagnosis: A Meta-Analysis. AJNR Am J Neuroradiol, 2013;34(5):944-950.
- Iida T, Teranishi M, Yoshida T, Otake H, Sone M, Kato M, Shimono M, Yamazaki M, Naganawa S, Nakashima T. Magnetic resonance imaging of the inner ear after both intratympanic and intravenous gadolinium injections. Acta Otolaryngol., 2013;133(5):434-438.
- Goto Y, Kodaira T, Furutani K, Tachibana H, Tomita N, Ito J, Hanai N, Ozawa T, Hirakawa H, Suzuki H, Hasegawa Y. Clinical Outcome and Patterns of Rescurrence of head and Neck Squamous Cell Carcinoma with a Limited Field of Postoperative Radiotherapy. Japanese Journal of Clinical Oncology, 2013;43(7):719-725.
- Inoue Y, Yoshikawa D, Ishii H, Isobe S, Kumagai S, Suzuki S, Okumura S, Hayashi M, Matsubara T, Ohshima S, Banno H, Komori K, Kato K, Murohara T. Post-Stress Perfusion Abnormalities Detected on Myocardial Perfusion Single-Photon Emission Computed Tomography Predict Long-Term Mortality After Elective Abdominal Aortic Aneurysm Repair. Circ J., 2013; 77(5):1229-1234.
- Takada A, Suzuki K, Mori Y, Hyodo R, Kawakami K, Okochi Y, Naganawa S. Comparison of the central adrenal vein and the common trunk of the left adrenal vein for adrenal venous sampling. J Vasc Interv Radiol., 2013; 24(4):550-557.
- Suzuki H, Kato K, Fujimoto Y, Itoh Y, Hiramatsu M, Maruo T, Naganawa S, Hasegawa Y, Nakashima T. 18F-FDG-PET/CT predicts survival in hypopharyngeal squamous cell carcinoma. Ann Nucl Med., 2013; 27(3):297-302.
- Naganawa S, Yamazaki M, Kawai H, Bokura K, Sone M, Nakashima T. Imaging of Meniere's disease after intravenous administration of single-dose gadodiamide: utility of multiplication of MR cisternography and HYDROPS image. Magn Reson Med Sci, 2013;12(1):63-68.
- Pyykko I, Nakashima T, Yoshida T, Jing Z, Naganawa S. Meniere's disease: a reappraisal supported by a variable latency of symptoms and the MRI visualisation of endolymphatic hydrops. BMJ Open., 2013; 14:3(2).
- Kato M, Sugiura M, Shimono M, Yoshida T, Otake H, Kato K, Teranishi M, Sone M, Yamazaki M, Naganawa S, Nakashima T. Endolymphatic hydrops revealed by magnetic resonance imaging in patients with atypical Meniere’s disease. Acta Otolaryngol, 2013;133(2):123-129.
- Iwano S, Ito S, Tsuchiya K, Kato K, Naganawa S. What causes false-negative PET findings for solid-type lung cancer? Lung Cancer., 2013; 79(2):132-136.
- Kato K, Otake H, Tagaya M, Takahashi Y, Ito Y, Hama A, Muramatsu H, Kojima S, Naganawa S, Nakashima T. Progressive hearing loss following acquired cytomegalovirus infection in an immunocompromised child. Am J Otolaryngol., 2013;34:89-92.
- Yasui H, Inui N, Furuhashi K, Nakamura Y, Uto T, Sato J, Yasuda K, Takehara Y, Suda T, Chida K. Multidetector-row computed tomography assessment of adding budesonide/formoterol to tiotropium in patients with chronic obstructive pulmonary disease. Pulm Pharmacol Ther, 2013;26(3):336-341.
- Kawaji H, Koizumi S, Sakai N, Yamasaki T, Hiramatsu H, Kanoko Y, Kamiya M, Yamashita S, Takehara Y, Sakahara H, Namba H. Evaluation of tumor blood flow after feeder embolization in meningiomas by arterial spin-labeling perfusion magnetic resonance imaging. J Neuroradiol, 2013;40(4):303-306.
2012
- Iwakura T, Takehara Y, Yamashita S, Nasu H, Unno N, Nishiyama M, Yamamoto N, Isoda H, Alley M, Konno H, Sakahara H. A case of paraspinal arteriovenous fistula in the lumbar spinal body assessed with time resolved three-dimensional phase contrast MRI. J Magn Reson Imaging., 2012;36(5):1231-1233.
- Yoshikawa T, Takehara Y, Kikuyama M, Takeuchi K, Hanai H. Computed tomographic enteroclysis with air and virtual enteroscopy: protocol and feasibility for small bowel evaluation. Dig Liver Dis., 2012;44(4):297-302.
- Naganawa S, Yamazaki M, Kawai H, Bokura K, Sone M, Nakashima T. Imaging of Meniere's disease by subtraction of MR cisternography from positive perilymph image. Magn Reson Med Sci, 2012;11(4):303-309.
- Yamamoto S, Watabe H, Kanai Y, Watabe T, Aoki M, Sugiyama E, Kato K, Hatazawa J. Development of a flexible optical fiber based high resolution integrated PET/MRI system. Med. Phys., 2012; 39(11):6660-6671.
- Yamamoto S, Watabe H, Kato K, Hatazawa J. Performance comparison of high quantum efficiency and normal quantum efficiency photomultiplier tubes and position sensitive photomultiplier tubes for high resolution PET and SPECT detectors. Med. Phys., 2012; 39(11):6900-6907.
- Tokuda Y, Oshima H, Araki Y, Narita Y, Mutsuga M, Kato K, Usui A. Detection of thoracic aortic prosthetic graft infection with 18F-fluorodeoxyglucose positron emission tomography/computed tomography. Eur J Cardiothorac Surg., 2012;43(6):1183-1187.
- Ohshima S, Isobe S, Hayashi D, Abe S, Kato K, Murohara T. Myocardial 123I-MIBG scintigraphy predicts an impairment in myocardial functional reserve during dobutamine stress in patients with idiopathic dilated cardiomyopathy. Eur J Nucl Med Mol Imaging., 2012; 40(2):262-270.
- Ishikawa Y, Iwano S, Usami N, Yokoi K. An anomalous segmental vein of the left upper lobe of the lung: preoperative identification by three-dimensional computed tomography pulmonary angiography. Interact Cardiovasc Thorac Surg., 2012;15(3):512-513.
- Okada Y, Nihashi T, Fujii M, Kato K, Okochi Y, Ando Y, Yamashita M, Maesawa S, Takebayashi S, Wakabayashi T, Naganawa S. Differentiation of Newly Diagnosed Glioblastoma Multiforme and Intracranial Diffuse Large B-cell Lymphoma Using 11C-Methionine and 18F-FDG PET. Clin Nucl Med., 2012; 37(9):843-849.
- Kato K, Yoshida T, Teranishi M, Sano R, Otake H, Sone M, Naganawa S, Nakashima T. Peak width in multifrequency tympanometry and endolymphatic hydrops revealed by magnetic resonance imaging. Otol Neurotol., 2012;33(6):912-915.
- Senda J, Watanabe H, Tsuboi T, Hara K, Watanabe H, Nakamura R, Ito M, Atsuta N, Tanaka F, Naganawa S, Sobue G. MRI mean diffusivity detects widespread brain degeneration in multiple sclerosis. Journal of the Neurological Sciences., 2012;319(1-2):105-110.
- Yamazaki M, Naganawa S, Kawai H, Sone M, Nakashima T. Gadolinium distribution in cochlear perilymph: differences between intratympanic and intravenous gadolinium injection. Neuroradiology, 2012;54(10):1161-1169.
- Nagai T, Kajita Y, Maesaewa S, Nakatsubo D, Yoshida K, Kato K, Wakabayashi T. Preoperative Regional Cerebral Blood Flow and Postoperative Clinical Improvement in Patients With Parkinson's Disease Undergoing Subthalamic Nucleus Deep Brain Stimulation. Neurol Med Chir (Tokyo), 2012;52(12):865-872.
- Iwano S, Koike W, Matsuo K, Kitano M, Kawakami K, Okada T, Naganawa S. Correlation between dynamic CT findings and pathological prognostic factors of small lung adenocarcinoma. Cancer Imaging., 2012;29(12):187-193.
- Naito T, Miyachi S, Matsubara N, Isoda H, Izumi T, Haraguchi K, Takahashi I, Ishii K, Wakabayashi T. Magnetic resonance fluid dynamics for intracranial aneurysms-comparison with computed fluid dynamics. Acta Neurochir., 2012;154(6):993-1001.
- Sone M, Yoshida T, Naganawa S, Otake H, Kato K, Sano R, Teranishi M, Nakashima T. Comparison of Computed Tomography and Magnetic ResonanceImaging for Evaluation of Cholesteatoma With Labyrinthine Fistulae. Laryngoscope., 2012;122(5):1121-1125.
- Mitsudo K, Koizumi T, Iida M, Iwai T, Oguri S, Yamamoto N, Itoh Y, Kioi M, Hirota M, Iwai T. Thermochemoradiation Therapy Using Superselective Intra-arterial Infusion via Superficial Temporal and Occipital Arteries for Oral Cancer With N3 Cervical Lymph Node Metastases. Int J Radiat Oncol Biol Phys., 2012;5;83(5):e639-645.
- Sano R, Teranishi M, Yamazaki M, Isoda H, Naganawa S, Sone M, Hiramatsu M, Yoshida T, Suzuki H, Nakashima T. Contrast enhancement of the inner ear in magnetic resonance images taken at 10 minutes or 4 hours after intravenous gadolinium injection. Acta Otolaryngol.,2012; 132(3):241-246.
- Iwano S, Kato K, Ito S, Tsuchiya K, Naganawa S. FDG-PET performed concurrently with initial I-131 ablation for differentiated thyroid cancer. Ann Nucl Med, 2012;26(3):207-213.
- Yamazaki M, Naganawa S, Tagaya M, Kawai H, Ikeda M, Sone M, Teranishi M, Suzuki H, Nakashima T. Comparison of contrast effect on the cochlear perilymph after intratympanic and intravenous gadolinium injection. AJNR Am J Neuroradiol, 2012;33(4):773-778.
- Abe S, Kato K, Takahashi Y, Fujita N, Yamashita M, Shinoda M, Ikeda M, Ota N, Kajita Y, Naganawa S. Estimation of I-123 IMP arterial blood activity using I-123 IMP acquisition data from the lungs and brain without any blood sampling: Validation of its usefulness for quantification of regional cerebral blood flow. Clin Nucl Med., 20125;37(3):258-263.
- Fukami Y, Ebata T, Yokoyama Y, Igami T, Sugawara G, Takahashi Y, Suzuki K, Nagino M. Diagnostic ability of MDCT to assess right hepatic artery invasion by perihilar cholangiocarcinoma with left-sided predominance. J Hepatobiliary Pancreat Sci, 2012;19(2):179-186.
- Hirano M, Satake H, Ishigaki S, Ikeda M, Kawai H, Naganawa S. Diffusion-weighted imaging of breast masses: comparison of diagnostic performance using various apparent diffusion coefficient parameters. AJR Am J Roentgenol, 2012;198(3):717-722.
- Kawai H, Naganawa S, Satake H, Ishigaki S, Sakurai Y, Mori M, Maruyama K. (1) H-magnetic resonance spectroscopy of the breast at 3.0-T: Comparison of results obtained before and after administration of gadolinium-based contrast agent. J Magn Reson Imaging, 2012;35(3):717-722.
- Matsuo K, Iwano S, Okada T, Satake H, Naganawa S. 3D-CT Lung Volumetry Using Multidetector Row Computed Tomography:Pulmonary Function of Each Anatomic Lobe. J Thorac Imaging, 2012;27(3):164-170.
- Sone M, Katayama N, Naganawa S, Yoshida T, Teranishi M, Nakashima T. Audiological signs in pediatric cases with dehiscence of the bony labyrinth caused by a high jugular bulb. Int J Pediatr Otorhinolaryngol, 2012;76(3):447-451.
- Naganawa S, Yamazaki M, Kawai H, Bokura K, Sone M, Nakashima T. Imaging of Meniere's Disease after Intravenous Administration of Single-dose Gadodiamide: Utility of Subtraction Images with Different Inversion Time. Magn Reson Med Sci. 2012;11(3):213-219.
- Ogawa H, Itoh S, Nagasaka T, Suzuki K, Ota T, Naganawa S. CT findings of intraductal papillary neoplasm of the bile duct: Assessment with multiphase contrast-enhanced examination using multi-detector CT. Clin Radiol., 2012;67(3):224-231.
- Iwano S, Usami N, Yokoi K, Naganawa S. Segmentectomy Simulation using a Virtual Three-dimensional Safety Margin. Ann Thorac Surg, 2012;93(2):e37-39.
- Nishimura Y, Koike R, Ogawa K, Sasamoto R, Murakami Y, Itoh Y, Negoro Y, Itasaka S, Sakayauchi T, Tamamoto T. Clinical practice and outcome of radiotherapy for esophageal cancer between 1999 and 2003: the Japanese Radiation Oncology Study Group (JROSG) Survey. Int J Clin Oncol, 2012;17(1):48-54.
- Feuerstein M, Glocker B, Kitasaka T, Nakamura Y, Iwano S, Mori K. Mediastinal atlas creation from 3-D chest computed tomography images:Application to automated detection and station mapping of lymph nodes. Med Image Anal, 2012;16(1):63-74.
- Naganawa S, Yamazaki M, Kawai H, Bokura K, Sone M, Nakashima T. Visualization of Endolymphatic Hydrops in Meniere's Disease after Single-dose Intravenous Gadolinium-based Contrast Medium: Timing of Optimal Enhancement. Magn Reson Med Sci., 2012;11(1):43-51.
- Fukumoto K, Taniguchi T, Ishikawa Y, Kawaguchi K, Fukui T, Kato K, Matsuo K, Yokoi K. The utility of [18F]-fluorodeoxyglucose positron emission tomography-computed tomography in thymic epithelial tumours. Eur J Cardiothorac Surg., 2012;42(6):e152-156.
- Hirasawa N, Itoh Y, Naganawa S, Ishihara S. Multi-Institutional Analysis of Early Glottic Cancer from 2000 to 2005. Radiat Oncol., 2012;7:122.
- Kawai Y, Suzuki K, Itoh S, Takada A, Mori Y, Naganawa S. Autoimmune pancreatitis: Assessment of the enhanced duct sign on multiphasecontrast-enhanced computed tomography. European Journal of Radiology., 2012;81(11):3055-3060.
- Kai Li, Naganawa S, Kai W. Study of the Cost-Benefit Analysis of Electronic Medical Record Systems in General Hospital in China. J Med Syst., 2012;36(5):3283-3291.
- Naganawa S, Yamazaki M, Kawai H, Bokura K, Sone M, Nakashima T. Imaging of endolymphatic and perilymphatic fluid after intravenous administration of single-dose gadodiamide. Magn Reson Med Sci., 2012;(2):145-150.
- Nakahara R, Kodaira T, Furutani K, Tachibana H, Tomita N, Inokuchi H, Mizoguchi N, Goto Y, Ito Y, Naganawa S. Treatment outcomes of definitive chemoradiotherapy for patients with hypopharyngeal cancer. J Radiat Res 1., 2012;53(6):906-915.
- Ohshima S, Isobe S, Hayashi D, Abe S, Kato K, Murohara T. Myocardial (123)I-MIBG scintigraphy predicts an impairment in myocardial functional reserve during dobutamine stress in patients with idiopathic dilated cardiomyopathy. Eur J Nucl Med Mol Imaging., 2012;40:262-270.
- Okada T, Tsuji H, Kamada T, Akakura K, Suzuki H, Shimazaki J, Tsujii H. Carbon ion radiotherapy in advanced hypofractionated regimens for prostate cancer: from 20 to 16 fractions. International Journal of Radiation Oncology Biology Physics., 2012;No.4:968-972.
- Sugahara S, Kamada T, Imai R, Tsuji H, Kameda N, Okada T, Tsujii H, Tatezaki S. Carbon ion radiotherapy for localized primary sarcoma of the extremities: Results of a phase I/II trial. Radiother Oncol., 2012;105(2):226-231.
- Nakashima T, Sone M, Teranishi M, Yoshida T, Terasaki H, Kondo M, Yasuma T, Wakabayashi T, Nagatani T, Naganawa S. A perspective from magnetic resonance imaging findings of the inner ear: Relationships among cerebrospinal, ocular and inner ear fluids. Auris Nasus Larynx., 2012;39(4):345-355.
2011
- Hashizume A, Koike H, Kawagashira Y, Banno H, Suzuki K, Ito M, Katsuno M, Watanabe H, Tanaka F, Naganawa S, Kaneko R, Ishii A, Sobue G. Central nervous system involvement in n-hexane polyneuropathy demonstrated by MRI and proton MR spectroscopy. Clin Neurol Neurosurg., 2011;113(6):493-495.
- Kato M, Teranishi M, Katayama N, Sone M, Naganawa S, Nakashima T. Association Between Endolymphatic Hydrops as Revealed by Magnetic Resonance Imaging and Caloric Response. Otology & Neurotology, 2011;32(9):1480-1485.
- Naganawa S, Kawai H, Sone M, Nakashima T, Ikeda M. Endolympathic hydrops in patients with vestibular schwannoma: visualization by non-contrast-enhanced 3D FLAIR. Neuroradiology, 2011;53(12):1009-1015.
- Iwano S, Koike W, Matsuo K, Okada T, Shimoyama Y, Naganawa S. Correlation between dual-phase dynamic multi-detector CT findings and fibrosis within lung adenocarcinoma tumors. Eur J Radiol, 2011;80(3):e470-475.
- Naganawa S, Yamazaki M, Kawai H, Sone M, Nakashima T, Isoda H. Anatomical Details of the Brainstem and Cranial Nerves Visualized by High Resolution Readout-segmented Multi-shot Echo-planar Diffusion-weighted Images using Unidirectional MPG at 3T. Magn Reson Med Sci., 2011;10(4):269-275.
- Naganawa S, Yamazaki M, Kawai H, Sone M, Nakashima T. Contrast Enhancement of the Anterior Eye Segment and Subarachnoid Space: Detection in the Normal State by Heavily T(2)-weighted 3D FLAIR. Magn Reson Med Sci., 2011;10(3):193-199.
- Suzuki H, Teranishi M, Sone M, Yamazaki M, Naganawa S, Nakashima T. Contrast enhancement of the inner ear after intravenous administration of a standard or double dose of gadolinium contrast agents. Acta Oto-Laryngologica, 2011;131(10):1025-1031.
- Ishizuka M, Fujimoto Y, Itoh Y, Kitagawa K, Sano M, Miyagawa Y, Ando A, Hiramatsu M, Hirasawa N, Ishihara S, Nakashima T, Yamada K. Relationship Between Hematotoxicity and Serum Albumin Level in the Treatment of Head and Neck Cancers with Concurrent Chemoradiotherapy Using Cisplatin. Jpn J Clin Oncol, 2011;41(8):973-979.
- Kato K, Koike W, Iwano S, Usami N, Yokoi K, Ueda Y, Naganawa S. Images of a Case of Carney Triad by Combined F-18 FDG PET/CT. Clin Nucl Med., 2011; 36(8):698-700.
- Kawamura M, Satake H, Ishigak S, Nishio A, Sawaki M, Naganawa S. Early prediction of response to neoadjuvant chemotherapy for locally advanced breast cancer using MRI. Nagoya J Med Sci, 2011;73(3-4):147-156.
- Shimozato T, Igarashi Y, Itoh Y, Yamamoto N, Okudaira K, Tabushi K, Obata Y, Komori M, Naganawa S, Ueda M. Scattered radiation from dental metallic crowns in head and neck radiotherapy. Phys Med Bio., 2011;56(17):5525-5534.
- Tsujimoto M, Senda J, Ishihara T, Niimi Y, Kawai Y, Atsuta N, Watanabe H, Tanaka F, Naganawa S, Sobue G. Behavioral changes in early ALS correlate with voxel-based morphometry and diffusion tensor imaging. J Neurol Sci. 2011;307(1-2):34-40.
- Tagaya M, Yamazaki M, Teranishi M, Naganawa S, Yoshida T, Otake H, Nakata S, Sone M, Nakashima T. Endolymphatic hydrops and blood-labyrinth barrier in Meniere's disease. Acta Otolaryngol., 2011;131(5):474-479.
- Mitsudo K, Shigetomi T, Fujimoto Y, Nishiguchi H, Yamamoto N, Furue H, Ueda M, Itoh Y, Fuwa N, Iwai T. Organ Preservation With Daily Concurrent Chemoradiotherapy Using Superselective Intra-Arterial Infusion via a Superficial Temporal Artery for T3 and T4 Head and Neck Cancer. Int J Radiat Oncol Biol Phys, 2011;79(5):1428-1435.
- Yoshida T, Sone M, Naganawa S, Nakashima T. Accuracy of 3.0 Tesla magnetic resonance imaging in the diagnosis of intracochlear schwannoma. Auris Nasus Larynx., 2011;38(4):551-554.
- Yoshimura K, Shimamoto K, Ikeda M, Ichikawa K, Naganawa S. A comparative contrast perception phantom image of brain CT study between high-grade and low-grade liquid crystal displays (LCDs) in electronic medical charts. Physica Medica, 2011;27:109-116.
- Naganawa S, Sone M, Yamazaki M, Kawai H, Nakashima T. Visualization of Endolymphatic Hydrops after Intratympanic Injection of Gd-DTPA: Comparison of 2D and 3D Real Inversion Recovery Imaging. Magn Reson Med Sci., 2011;10(2):101-106.
- Suzuki H, Teranishi M, Naganawa S, Nakata S, Sone M, Nakashima T. Contrast-enhanced MRI of the inner ear after intratympanic injection of meglumine gadopentetate or gadodiamide hydrate. Acta Otolaryngol., 2011;131(2):130-135.
- Satake H, Nishio A, Ikeda M, Ishigaki S, Shimamoto K, Hirano M, Naganawa S. Predictive value for malignancy of suspicious breast masses of BI-RADS categories 4 and 5 using ultrasound elastography and MR diffusion-weighted imaging. AJR Am J Roentgenol, 2011;196(1):202-209.
- Senda J, Kato S, Kaga T, Ito M, Atsuta N, Nakamura T, Watanabe H, Tanaka F, Naganawa S, Sobue G. Progressive and widespread brain damage in ALS: MRI voxel-based morphometry and diffusion tensor imaging study. Amyotroph Lateral Scler, 2011;12(1):59-69.
- Sawaki M, Sato S, Noda S, Idota A, Uchida H, Tsunoda N, Kikumori T, Aoyama Y, Ishihara S, Itoh Y, Imai T. Phase I/II study of intraoperative radiotherapy for early breast cancer in Japan. Breast Cancer., 2011;19(4):353-359.
- Iwano S, Imaizumi K, Okada T, Hasegawa Y, Naganawa S. Virtual bronchoscopy-guided transbronchial biopsy for aiding the diagnosis of peripheral lung cancer. Eur J Radiol., 2011;79(1):155-159.
- Takehara Y, Yamashita S, Sakahara H, Masui T, Isoda H. Magnetic resonance angiography of the aorta. Ann Vasc Dis. 2011;4(4):271-285.
2010
- Itoh Y, Hirasawa N, Naganawa S, Ishihara S, Suzuki K, Koyama K, Murao T, Asano A, Nomoto Y, Horikawa Y, Sasaoka M, Obata Y. Combined chemoradiotherapy for early glottic cancer in clinical practice in Japan: analysis of 10 institutions. Anticancer Res., 2010;30(12):5181-5184.
- Naganawa S, Yamazaki M, Kawai H, Bokura K, Sone M, Nakashima T. Visualization of endolymphatic hydrops in Meniere's disease with single-dose intravenous gadolinium-based contrast media using heavily T(2)-weighted 3D-FLAIR. Magn Reson Med Sci., 2010; 9(4):237-242.
- Pyykkö, Il, J Zou, Dennis Poe, Nakashima T, Naganawa S. Magnetic resonance imaging of the inner ear in Meniere's disease. Otolaryngologic clinics of North America, 2010;43(5):1059-1080.
- Kawai H, Naganawa S, Ishihara S, Sone M, Nakashima T. MR imaging of the Cochlear Modiolus after Intratympanic Administration of Gd-DTPA. Magn Reson Med Sci., 2010;9(1):23-29.
- Matsushima M, Naganawa S, Ikeda M, Itoh S, Ogawa H, Komada T, Ishigaki S, Kawai H, Suzuki K, Satake H, Iwano S. Diagnostic value of SPIO-mediated breath-hold, black-blood, fluid-attenuated, inversion recovery (BH-BB-FLAIR) imaging in patients with hepatocellular carcinomas. Magn Reason Med Sci, 2010;9(2):49-58.
- Naganawa S, Ishihara S, Iwano S, Kawai H, Sone M, Nakashima T. Estimation of Gadolinium-induced T(1)-shortening with Measurement of Simple Signal Intensity Ratio between the Cochlea and Brain Parenchyma on 3D-FLAIR: Correlation with T(1) Measurement by TI Scout Sequence. Magn Reson Med Sci, 2010;9(1):17-22.
- Naganawa S, Ishihara S, Satake H, Kawai H, Sone M, Nakashima T. Simultaneous three-dimensional visualization of the intra-parotid facial nerve and parotid duct using a three-dimensional reversed FISP sequence with diffusion weighting. Magn Reson Med Sci, 2010;9(3):153-158.
- Naganawa S, Kawai H, Sone M, Nakashima T. Increased sensitivity to low concentration gadolinium contrast by optimized heavily T2-weighted 3D-FLAIR to visualize endolymphatic space. Magn Reson Med Sci, 2010;9(2):73-80.
- Nakashima T, Naganawa S, Sone M, Teranishi M. Intratympanic gadolinium administration for evaluation of endolymphatic space size and drug movement into the inner ear. OTORINOLARINGOLOGIA, 2010;60(3):165-170.
- Suzuki K, Itoh S, Nagasaka T, Ogawa H, Ota T, Naganawa S. CT findings in autoimmune pancreatitis: assessment using multiphase contrast-enhanced multisection CT. Clin Radiol, 2010;65(9):735-743.
- Toya R, Naganawa S, Kawai H, Ikeda M. Correlation between estimated glomerular filtration rate (eGFR) and apparent diffusion coefficient (ADC) values of the kidneys. Magn Reson Med Sci, 2010;9(2):59-64.
- Itoh S, Mori Y, Suzuki K, Satake H, Ota T, Naganawa S. Stenosis of the third portion of the duodenum due to bleeding from the anterior pancreaticoduodenal artery: assessment by multiphase contrast-enhanced examination with multislice CT. Abdom Imaging., 2010; 35(4):393-398.
- Katayama N, Yamamoto M, Teranishi M, Naganawa S, Nakata S, Sone M, Nakashima T. Relationship between endolymphatic hydrops and vestibular-evoked myogenic potential. Acta Otolaryngol, 2010;130(8):917-923.
- Usami N, Iwano S, Mizuno T, Taniguchi T, Yokoi K. Three-dimensional angiography of aberrant segmental vein of right upper lobe. Asian Cardiovasc Thorac Ann.,2010; 18(4):398.
- Okada T, Kamada T, Tsuji H, Mizoe J, Baba M, Kato S, Yamada S, Sugahara S, Yasuda S, Yamamoto N, Imai R, Hasegawa A, Imada H, Kiyohara H, Jingu K, Shinoto M, Tsuji H. Carbon ion radiotherapy: clinical experiences at National Institute of Radiological Science (NIRS). J Radiat Res (Tokyo), 2010;51(4):355-364.
- Sone M, Naganawa S, Yoshida T, Nakata S, Nakashima T. Imaging findings in a case with cholesteatoma in complete aural atresia. Am J Otolaryngol., 2010;31(4):297-299.
- Matsumoto T, Shibata S, Yasue S, Sakakibara A, Yokota K, Sawada M, Kono M, Kato K, Shimoyama Y, Tomita Y. Interval sentinel lymph nodes in patients with cutaneous melanoma: a single-institution study in Japan. J Dermatol, 2010;37(7):629-634.
- Terasawa T, I J. Dahabreh, Nihashi T. Fluorine-18-Fluorodeoxyglucose Positron Emission Tomography in Response Assessment Before High-Dose Chemotherapy for Lymphoma: A Systematic Review and Meta-Analysis. Oncologist, 2010;15(7):750-759.
- Watanabe H, Ito M, Fukatsu H, Senda J, Atsuta N, Kaga T, Kato S, Katsuno M, Tanaka F, Hirayama M, Naganawa S, Sobue G. Putaminal magnetic resonance imaging features at various magnetic field strengths in multiple system atrophy. Mov Disord., 2010;25(12):1916-1923.
- Hirasawa N, Itoh Y, Ishihara S, Kubota S, Itoh J, Fujimoto Y, Nakashima T, Naganawa S. Radiotherapy with or without chemotherapy for patients with T1-T2 glottic carcinoma: retrospective analysis. Head Neck Oncol, 2010;2:20.
- Isobe S, Ohshima S, Unno K, Izawa H, Kato K, Noda A, Hirashiki A, Murohara T. Relation of 99mTc-sestamibi washout with myocardial properties in patients with hypertrophic cardiomyopathy. J Nucl Cardiol., 2010;17(6):1082-1090.
- Tagaya M, Teranishi M, Naganawa S, Iwata T, Yoshida T, Otake H, Nakata S, Sone M, Nakashima T. 3 Tesla magnetic resonance imaging obtained 4 hours after intravenous gadolinium injection in patients with sudden deafness. Acta Otolaryngol, 2010;130:665-669.
- Yamazaki M, Naganawa S, Kawai S, Nihashi T, Nakashima T. Signal Alteration of the Cochlear Perilymph on 3 Different Sequences after Intratympanic Gd-DTPA Administration at 3 Tesla:Comparison of 3D-FLAIR,3D-T1-weighted Imaging,and 3D-CISS. Magn Reason Med Sci,, 2010;9(2):65-71.
- C Bai-lian, LI En-dong, Yamawuchi K, Kato K, Naganawa S, M Wei-jun. Impact of adjustment measures on reducing outpatient waiting time in a community hospital: application of a computer simulation. Chin Med J (Engl), 2010;123(5):574-580.
- Kato K, Nishio A, Kato N, Usami H, Fujimaki T, Murohara T. Uptake of 18F-FDG in Acute Aortic Dissection: A Determinant of Unfavorable Outcome. J Nucl Med., 2010;51(5):674-681.
- Sone M, Naganawa S, Teranishi M, Nakata S, Katayama N, Nakashima T. Changes in endolymphatic hydrops in a patient with Meniere's disease observed using magnetic resonance imaging. Auris Nasus Larynx.,3 2010;7(2):220-222.
- Takahashi M, Iwamoto K, Fukatsu H, Naganawa S, Iidaka T, Ozaki N. White matter microstructure of the cingulum and cerebellar peduncle is related to sustained attention and working memory: A diffusion tensor imaging study. Neurosci Lett., 2010;477(2):72-76.
- Umezu T, Iwase A, Ota T, Suzuki K, Nakagawa A, Nakahara T, Takikawa S, Kobayashi H, Manabe S, Suzuki K, Goto M, Kikkawa F. Three-dimensional CT Angiography Is Useful for Diagnosis of Postabortion Uterine Hemorrhage: 3 Case Reports and Review of the Literature. J Minim Invasive Gynecol, 2010;17(2):246-251.
- Yamamoto M, Teranishi M, Naganawa S, Otake H, Sugiura M, Iwata T, Yoshida T, Katayama N, Nakata S, Sone M, Nakashima T. Relationship between the Degree of Endolymphatic Hydrops and Electrocochleography. Audiol Neurootol, 2010;15(4):254-260.
- Ueda N, Iwayama H, Funahashi Y, Suzuki K. Three-dimensional visualization of renal artery stenosis by 64-channel multiple detector-row computed tomographical angiography: review of two paediatric cases. Acta Pediatrica, 2010;99:467-469.
- Honda T, Imaizumi K, Yokoi T, Hashimoto N, Hashimoto I, Kawabe T, Matsuo M, Iwano S, Shimokata K, Hasegawa Y. Differential Th1/Th2 chemokine expression in interstitial pneumonia. Am J Med Sci, 2010;339(1):41-48.
- Naganawa S, Ishihara S, Iwano S, Sone M, Nakashima T. Three-dimensional (3D) visualization of endolymphatic hydrops after intratympanic injection of Gd-DTPA: optimization of a 3D-real inversion-recovery turbo spin-echo (TSE) sequence and application of a 32-channel head coil at 3T. JOURNAL OF MAGNETIC RESONANCE IMAGING, 2010;31(1):210-214.
2009
- Naganawa S, Kawamura M, Nakashima T. 3D visualization of endolymphatic hydrops after intratympanic injection of Gd-DTPA; optimization of 3D-real IR TSE sequence and utilization of 32ch head coil at 3T. Mag. Reson. Med., 2009;17:3506.
- Shimazaki J, Tsuji H, Ishikawa H, Okada T, Akakura K, Suzuki H, Harada M, Tsujii H. Carbon Ion Radiotherapy for Treatment of Prostate Cancer and Subsequent Outcomes after Biochemical Failure. ANTICANCER RESEARCH.,2010;30:5105-5111.
- Isoda H, Takeda H, Yamashita S, Takehara Y, Sakahara H, Hiramatsu H, Namba H,Hirano M, Okhura Y, Kosugi T, Alley MT. [Hemodynamic analysis of intracranial aneurysms]. No Shinkei Geka. 2009 Sep;37(9):836-845.
- Natsume T, Amano T, Takehara Y, Ichihara T, Takeda K, Sakuma H. Quantitative assessment of regional systolic and diastolic functions and temporal heterogeneity of myocardial contraction in patients with myocardial infarction using cine magnetic resonance imaging and Fourier fitting. Magn Reson Imaging. 2009 Dec;27(10):1440-1446.
- Uto T, Takehara Y, Nakamura Y, Naito T, Hashimoto D, Inui N, Suda T, Nakamura H, Chida K. Higher sensitivity and specificity for diffusion-weighted imaging of malignant lung lesions without apparent diffusion coefficient quantification.Radiology., 2009;252(1):247-254.
- Sawaki M, Sato S, Toyone K, Ishihara S, Aoyama Y, Itoh Y, Nakao A, Imai T. A Phase I Study of Intraoperative Radiotherapy for Early Breast Cancer in Japan. World J Surg, 2009;33:2587-2592.
- Senda J, Ito M, Watanabe H, Atsuta N, Kawai Y, Katsuno M, Tanaka F, Naganawa S, Fukatsu H, Sobue G. Correlation between pyramidal tract degeneration and widespread white matter involvement in amyotrophic lateral sclerosis: a study with tractography and diffusion-tensor imaging. Amyotroph Lateral Scler., 2009;10(5-6):288-294.
- Teranishi M, Naganawa S, Katayama N, Sugiura M, Nakata S, Sone M, Nakashima T. Image evaluation of endolymphatic space in fluctuating hearing loss without vertigo. Eur Arch Otorhinolaryngol, 2009;266(12):1871-1877.
- Iwano S, Kato K, Nihashi T, Ito S, Tachi Y, Naganawa S. Comparisons of I-123 diagnostic and I-131 post-treatment scans for detecting residual thyroid tissue and metastases of differentiated thyroid cancer. Ann Nucl Med., 2009;23(9):777-782.
- Kasai S, Teranishi M, Katayama N, Sugiura M, Nakata S, Sone M, Naganawa S, Nakashima T. Endolymphatic space imaging in patients with delayed endolymphatic hydrops. Acta Otolaryngol, 2009;129(11):1169-1174.
- Itoh S, Nagasaka T, Suzuki K, Satake H, Toyohiro Ota, Naganawa S. Lymphoplasmacytic sclerosing cholangitis: assessment of clinical, CT, and pathological findings. Clin Radiol, 2009;64:1104-1114.
- Yamazaki M, Naganawa S, Kawai H, Nihashi T, Fukatsu H, Nakashima T. Increased signal intensity of the cochlea on pre- and post-contrast enhanced 3D-FLAIR in patients with vestibular schwannoma. Neuroradiology, 2009;51(12):855-863.
- Yoshioka M, Naganawa S, Sone M, Nakata S, Teranishi M, Nakashima T. Individual Differences in the Permeability of the Round Window: Evaluating the Movement of Intratympanic Gadolinium Into the Inner Ear. Otol Neurotol., 2009;30(5):645-648.
- Oshima T, Aoyama Y, Shimozato T, Sawaki M, Imai T, Ito Y, Obata Y, Tabushi K. An experimental attenuation plate to improve the dose distribution in intraoperative electron beam radiotherapy for breast cancer. Phys Med Biol., 2009;54(11):3491-3500.
- Tsutsumi Y, Suzuki K, Ikeda M, Achiwa M, Mori Y, Matsushima M, Ishigaki S, Ota T, Kondo S, Yoneda K, Naganawa S. Three-Dimensional Intravenous Digital Subtraction Angiography Using Flat Panel Detector System in Vascular Mapping of the External Carotid Artery: A Comparison with 3-Dimensional Computed Tomography Angiography. Current Medical Imaging Reviews, 2009;5:216-221.
- Kato K, Schober O, Ikeda M, Schafers M, Ishigaki T, Kies P, Naganawa S, Stegger L. Evaluation and comparison of (11)C-choline uptake and calcification in aortic and common carotid arterial walls with combined PET/CT. Eur J Nucl Med Mol Imaging., 2009;36(10):1622-1628.
- Naganawa S, Ishihara S, Iwano S, Sone M, Nakashima T. Detection of presumed hemorrhage in the ampullar endolymph of the semicircular canal: a case report. Magn Reson Med Sci, 2009;8(4):187-191.
- Tanei T, Kajita Y, Nihashi T, Kaneoke Y, Takebayashi S, Nakatsubo D, Wakabayashi T. Changes in regional blood flow induced by unilateral subthalamic nucleus stimulation in patients with Parkinson's disease. Neurol Med Chir, 2009;49:507-513.
- Iwano S, Okada T, Satake H, Naganawa S. 3D-CT volumetry of the lung using multidetector row CT: comparison with pulmonary function tests. Acad Radiol, 2009;16(3):250-256.
- Okada T, Iwano S, Ishigaki T, Kitasaka T, Hirano Y, Mori K, Suenaga Y, Naganawa S. Computer-aided diagnosis of lung cancer: definition and detection of ground-glass opacity type of nodules by high-resolution computed tomography. Jpn J Radiol, 2009;27:91-99.
- Naganawa S, Nakashima T. Cutting edge of inner ear MRI. Acta Oto-Laryngologica., 2009;(560):15-21.
- Naganawa S, Sone M, Otake H, Nakashima T. Endolymphatic Hydrops of the Labyrinth Visualized on Noncontrast MR Imaging: A Case Report. Magn Reson Med Sci, 2009; 8(1):43-46.
- Suzuki K, Mori Y, Komada T, Matsushima M, Ota T, Naganawa S. Stent-Graft Treatment for Bleeding Superior Mesenteric Artery Pseudoaneurysm After Pancreaticoduodenectomy. Cardiovasc Intervent Radiol., 2009;32(4):762-766.
- Nakashima T, Naganawa S, Pyykko I, Gibson W, Sone M, Nakata S, Teranishi M. Grading of endolymphatic hydrops using magnetic resonance imaging. Acta Oto-Laryngologica, 2009;129:5-8.
- Nakashima T, Naganawa S, Katayama N, Teranishi M, Nakata S, Sugiura M, Sone M, Kasai S, Yoshioka M, Yamamoto M. Clinical significance of endolymphatic imaging after intratympanic gadolinium injection. Acta Oto-Laryngologica, 2009;129:9-14.
- Funahashi Y, Hattori R, Yamamoto T, Kamihira O, Kato K, Gotoh M. Ischemic Renal Damage after Nephron-Sparing Surgery in Patients with Normal Contralateral Kidney. Eur Urol., 2009; 55:209-216.
- Hata T, Fujimoto Y, Suzuki K, Kim B, Ishigami M, Ogawa H, Arikawa T, Nagai S, Kamei H, Nakamura T, Edamoto Y, Kiuchi T. Two cases of central venous catheter-related thrombosis in living liver donors: how can the risk be minimized? Clin Transplant, 2009;23:289-293.
- Iwano S, Okada T, Koike W, Matsuo K, Toya R, Yamazaki M, Ito S, Ito J, Naganawa S. Semi-automatic volumetric measurement of lung cancer using multi-detector CT effects of nodule characteristics. Acad Radiol, 2009;16(10):1179-1186.
- Nakashima T, Naganawa S, Teranishi M, Tagaya M, Nakata S, Sone M, Otake H, Kato K, Iwata T, Nishio N. Endolymphatic hydrops revealed by intravenous gadolinium injection in patients with Meniere's disease. Acta Otolaryngol., 2009;130(3):338-343.
- Kobayashi T, Lunsford L. Pineal Region Tumors Diagnosis and Treatment Options. KARGER, 2009;58figures,19 in color,and 28 tables.
- Unno K, Isobe S, Izawa H, Cheng Xi Wu, Kobayashi M, Hirashiki A, Yamada T, Harada K, Ohshima S, Noda A, Nagata K, Kato K, Yokota M, Murohara T. Relation of functional and morphological changes in mitochondria to myocardial contractile and relaxation reserves in asymptomatic to mildly symptomatic patients with hypertrophic cardiomyopathy. Eur Heart J., 2009;(30):1853-1862.
- Terasawa T, Lau J, Bardet S, Couturier O, Hotta T, Hutchings M, Nihashi, T, Nagai H. Fluorine-18-Fluorodeoxyglucose Positron Emission Tomography for Interim Response Assessment of Advanced-Stage Hodgkin’s Lymphoma and Diffuse Large B-cell Lymphoma: A Systematic Review. J Clin Oncol., 2009;27(11):1906-19
2008
- Tachi Y, Iwano S,Kato K, Tadokoro M, Naganawa S. Diagnostic Whole-Body Scanning Before Radioiodine Therapy for Pulmonary Metastases of Diffrentiated Thyroid Cancer. Predictve Value and Recommendations. Clin Nucl Med, 2008;33(12):845-851.
- Nomiya T, Tsuji H, Hirasawa N, Kato H, Kamada T, Mizoe J, Kishi H, Kamura K, Wada H, Nemoto K, Tsujii H. Carbon ion radiation therapy for primary renal cell carcinoma: initial clinical experience. Int J Radiat Oncol Biol Phys, 2008;72:828-833.
- Ogawa H, Itoh S, Mori Y, Suzuki K, Ota T, Naganawa S. Arteriovenous malformation of the pancreas: assessment of clinical and multislice CT features. Abdom Imaging., 2008;34(6):743-752.
- Ishikawa H, Tsuji H, Kamada T, Hirasawa N, Yanagi T, Mizoe J, Akakura K, Suzuki H, Shimazaki J, Nakano T, Tsujii H. Adverse effects of androgen deprivation therapy on persistent genitourinary complications after carbon ion radiotherapy for prostate cancer. Int J Radiat Oncol Biol Phys, 2008;72(1):78-84.
- Naganawa S, Satake H, Iwano S, Sone M, Nakashima T. Communication between cochlear perilymph and cerebrospinal fluid through the cochlear modiolus visualized after intratympanic administration of Gd-DTPA. Radiat Med, 2008;26(10):597-602.
- Okumura A, Hayakawa M, Tsuji T, Naganawa S, Watanabe K. Diffusion tensor imaging in infants with basal ganglia-thalamic lesions. Eur J Paediatr Neurol., 2008;12(5):412-416.
- Shibamoto Y, Ogino H, Suzuki G, Takemoto M, Araki N, Isobe K, Tsuchida E, Nakamura K, Kenjo M, Suzuki K, Hosono M, Tokumaru S, Ishihara S, Kato E, Ii N, Hayabuchi N. Primary central nervous system lymphoma in Japan: changes in clinical features, treatment, and prognosis during 1985-2004. Neuro Oncol, 2008;10:560-568.
- Sone M, Mizuno T, Naganawa S, Nakashima T. Imaging analysis in cases with inflammation-induced sensorineural hearing loss. Acta Otolaryngol. 2008;129(3):239-243.
- Yoshida T, Sugiura M, Naganawa S, Teranishi M, Nakata S, Nakashima T. Three-Dimensional Fluid-Attenuated Inversion Recovery Magnetic Resonance Imaging Findings and Prognosis in Sudden Sensorineural Hearing Loss. Laryngoscope. 2008;118(8):1433-1437.
- Ogawa H, Itoh S, Ikeda M, Suzuki K, Naganawa S. Intraductal papillary mucinous neoplasm of the pancreas: assessment of the likelihood of invasiveness with multisection CT. Radiology, 2008;248(3):876-886.
- Hayasaka K, Nihashi T, Takebayashi S, Bundoh M. FDG PET in Lhermitte-Duclos disease. Clin Nucl Med, 2008;33:52-54.
- Iwano S, Nakamura T, Kamioka Y, Ikeda M, Ishigaki T. Computer-aided differentiation of malignant from benign solitary pulmonary nodules imaged by high-resolution CT. Comput Med Imaging Graph, 2008;32:416-422.
- Shibamoto Y, Baba F, Oda K, Hayashi S, Kokubo M, Ishihara S, Itoh Y, Ogino H, Koizumi M. Incidence of brain atrophy and decline in mini-mental state examination score after whole-brain radiotherapy in patients with brain metastases: a prospective study. Int J Radiat Oncol Biol Phys, 2008;72(4):1168-1173.
- Kato W, Usui A, Oshima H, Suzuki C, Kato K, Ueda Y. Primary aortic intimal sarcoma. Gen Thorac Cardiovasc Surg. 2008;56(5):236-238.
- Fukatsu H, Naganawa S, Yumura S. Development and evaluation of a novel lossless image compression method (AIC: artificial intelligence compression method) using neural networks as artificial intelligence. Radiat Med, 2008;26(3):120-128.
- Itoh S, Suzuki K, Kawai H, Naganawa S. Focal inflammation in the embryological ventral pancreas: assessment using CT and MRI. Clin Radiol, 2008;63(4):433-441.
- Kawai Y, Suenaga M, Takeda A, Ito M, Watanabe H, Tanaka F, Kato K, Fukatsu H, Naganawa S, Kato T, Ito K, Sobue G. Cognitive impairments in multiple system atrophy: MSA-C vs MSA-P. Neurology, 2008;70:1390-1396.
- Nakane T, Nihashi T, Kawai H, Naganawa S. Visualization of Neuromelanin in the Substantia Nigra and Locus Ceruleus at 1.5T Using a 3D-gradient Echo Sequence with Magnetization Transfer Contrast. Magn Reson Med Sci, 2008;7(4):205-210.
- Suzuki K, Tachi Y, Ito S, Maruyama K, Mori Y, Komada T, Matsushima M, Ota T, Naganawa S. Endovascular Management of Ruptured Pancreaticoduodenal Artery Aneurysms Associated with Celiac Axis Stenosis. Cardiovasc Intervent Radiol., 2008;31(6):1082-1087.
- Naganawa S, Satake H, Iwano S, Fukatsu H, Sone M, Nakashima T. Imaging endolymphatic hydrops at 3 tesla using 3D-FLAIR with intratympanic Gd-DTPA administration. Magn Reson Med Sci, 2008;7(2):85-91.
- Naganawa S, Satake H, Kawamura M, Fukatsu H, Sone M, Nakashima T. Separate visualization of endolymphatic space, perilymphatic space and bone by a single pulse sequence; 3D-inversion recovery imaging utilizing real reconstruction after intratympanic Gd-DTPA administration at 3 Tesla. Eur Radiol., 2008;18(5):920-924.
- Ishigaki S, Itoh S, Suzuki K, Satake H, Ota T, Ikeda M, Ishigaki T. Three-dimensional CT angiography of the pancreatic artery in 16-channel multislice CT: value of scanning with submillimetre collimation. Br J Radiol.81, 2008;(962):99-106.
- Komada T, Naganawa S, Ogawa H, Matsushima M, Kubota S, Kawai H, Fukatsu H, Ikeda M, Kawamura M, Sakurai Y, Maruyama K. Contrast-enhanced MR Imaging of Metastatic Brain Tumor at 3 Tesla: Utility of T(1)-weighted SPACE Compared with 2D Spin Echo and 3D Gradient Echo Sequence. Magn Reson Med Sci., 2008;7(1):13-21.
- Naganawa S. Arterial Spin Labeling(syngo ASL) Case Report from Nagoya University. MAGNETON Flash, 2008;(1):26-33.
- Naganawa S, Sugiura M, Kawamura M, Fukatsu H, Sone M, Nakashima T. Imaging of Endolymphatic and Perilymphatic Fluid at 3T After Intratympanic Administration of Gadolinium-Diethylene-Triamine Pentaacetic Acid. AJNR Am J Neuroradiol, 2008;29(4):724-726.
- Ogawa H, Nishio A, Satake H, Naganawa S, Imai T, Sawaki M, Yamamoto E, Miyata T. Neuroendocrine tumor in the breast. Radiat Med, 2008;26:28-32.
- Terasawa T, Nihashi T, Hotta T, Nagai H. 18F-FDG PET for Posttherapy Assessment of Hodgkin's Disease and Aggressive Non-Hodgkin's Lymphoma: A Systematic Review. J Nucl Med., 2008;49(1):13-21.
- Morita J, Miwa K, Kitasaka T, Mori K, Suenaga Y, Iwano S, Ikedad M, Ishigaki T. Interactions of perceptual and conceptual processing:Expertise in medical image diagnosis. Int. J. Human-computer Studies, 2008;66:370-390.
- Sugiura M, Naganawa S, Ishida IM, Teranishi M, Nakata S, Yoshida T, Nakashima T. Vestibular aqueduct in sudden sensorineural hearing loss. J Laryngol Otol., 2008;122:887-892.
- Sato E, Sugiura M, Naganawa S, Yoshino T, Mizuno T, Otake H, Ishida I M, Nakashima T. Effect of an enlarged endolymphatic duct on bone conduction threshold. Acta Otolaryngol., 2008;128:534-538.
2007
- Sone M, Mizuno T, Sugiura M, Naganawa S, Nakashima T. Three-dimensional fluid-attenuated inversion recovery magnetic resonance imaging investigation of inner ear disturbances in cases of middle ear cholesteatoma with labyrinthine fistula. Otol Neurotol, 2007;28(8):1029-1033.
- Ieda M I, Sugiura M, Naganawa S, Teranishi M, Nakashima T. Cochlear modiolus and lateral semicircular canal in sudden deafness. Acta Otolaryngol., 2007;127(11):1157-1161.
- Hayasaka K, Nihashi T, Nojiri Y, Okamuara K. Computed tomography manifestations of renal hemangiopericytoma. Acta Radiol., 2007;48(8):934-937.
- Okasaka T, Iwano S, Usami N, Uchiyama M, Sato N, Ito S, Yokoi K. Usefulness of dynamic computed tomography for the diagnosis of mediastinal hemangioma. Kyobu Geka, 2007;60:1031-1034.
- Sugiura M, Naganawa S, Sone M, Yoshida T, Nakashima T. Three-dimensional fluid-attenuated inversion recovery magnetic resonance imaging findings in a patient with cochlear otosclerosis. Auris Nasus Larynx., 2007;35(2):269-272.
- Hayasaka K, Nihashi T, Matsuura T, Yagi T, Nakashima K, Kawabata Y, Ito K, Katoh T, Sakata K, Harada A. Metastasis of the gastrointestinal tract: FDG-PET imaging. Ann Nucl Med., 2007;21(6):361-365.
- Suenaga M, Kawai Y, Watanabe H, Atsuta N, Ito M, Tanaka F, Katsuno M, Fukatsu H, Naganawa S, Sobue G. Cognitive impairment in spinocerebellar ataxia type 6. J Neurol Neurosurg Psychiatry., 2007;79(5):496-499.
- Nihashi T, Yatsuya H, Hayasaka K, Kato R, Kawatsu S, Arahata Y, Iwai K, Takeda A, Washimi Y, Yoshimura K, Mizuno K, Kato T, Naganawa S, Ito K. Direct comparison study between FDG-PET and IMP-SPECT for diagnosing Alzheimer's disease using 3D-SSP analysis in the same patients. Radiat Med, 2007;25:255-262.
- Ito M, Watanabe H, Kawai Y, Atsuta N, Tanaka F, Naganawa S, Fukatsu H, Sobue G. Usefulness of combined fractional anisotropy and apparent diffusion coefficient values for detection of involvement in multiple system atrophy. J Neurol Neurosurg Psychiatry, 2007;78:722-728.
- Sugiura M, Naganawa S, Nakata S, Kojima S, Nakashima T. 3D-FLAIR MRI findings in a patient with Ramsay Hunt syndrome. Acta Otolaryngol, 2007;127(5):547-549.
- Hayasaka K, Nihashi T, Matsuura T, Itoh K, Tokuda H. Usefulness of F-18 FDG-PET in detection of multiple endocrine tumors with duodenal carcinoid. Comput Med Imaging Graph, 2007;31:191-194.
- Nihashi T, Hayasaka K, Itou T, Sobajima T, Kato R, Ito K, Ito Y, Ishigaki T, Naganawa S. Usefulness of FDG PET for diagnosis and radiotherapy of the patient with malignant lymphoma involving bone marrow. Radiat Med, 2007;25:130-134.
- Ishigaki S, Itoh S, Satake H, Ota T, Ishigaki T. CT depiction of small arteries in the pancreatic head: assessment using coronal reformatted images with 16-channel multislice CT. Abdom Imaging, 2007;32:215-223.
- Ito S, Kato K, Ikeda M, Iwano S, Makino N, Tadokoro M, Abe S, Nakano S, Nishino M, Ishigaki T, Naganawa S. Comparison of 18F-FDG PET and Bone Scintigraphy in Detection of Bone Metastases of Thyroid Cancer. J Nucl Med, 2007;48:889-895.
- Nakashima T, Naganawa S, Sugiura M, Teranishi M, Sone M, Hayashi H, Nakata S, Katayama N, Ishida I M. Visualization of endolymphatic hydrops in patients with Meniere's disease. Laryngoscope, 2007;117(3):415-420.
- Tsuji H, Ishikawa H, Yanagi T, Hirasawa N, Kamada T, Mizoe J, Kanai T, Tsujii H, Ohnishi Y. Carbon-ion radiotherapy for locally advanced or unfavorably located choroidal melanoma: a Phase I/II dose-escalation study. Int J Radiat Oncol Biol Phys, 2007;67(3):857-862.
- Hirasawa N, Tsuji H, Ishikawa H, Koyama-Ito H, Kamada T, Mizoe J, Ito Y, Naganawa S, Ohnishi Y, Tsujii H. Risk factors for neovascular glaucoma after carbon ion radiotherapy of choroidal melanoma using dose-volume histogram analysis. Int J Radiat Oncol Biol Phys, 2007;67(2):538-543.
- Kawatsu S, Ushiroya N. A new image reconstruchion method for 3-D PET based upon paris of near-missing lines of response. Nuclear Instruments and Methods in Physics Research, 2007;A 571:282-284.
- Miao H, Fukatsu H, Ishigaki T. Prostate cancer detection with 3-T MRI: comparison of diffusion-weighted and T2-weighted imaging. Eur J Radiol, 2007;61:297-302.
- Fukushima H, Ikeda M, Ishigaki T, Usami H, Shimamoto K. Influence of liquid crystal display monitors on observer performance for detection of diffuse pulmonary disease on chest radiographs. Radiat Med, 2007;25:211-217.
- Hattori Y, Fukatsu H, Ishigaki T. Measurement and evaluation of the acoustic noise of a 3 Tesla MR scanner. Nagoya J Med Sci, 2007;69:23-28.
- Okumura A, Kondo Y, Tsuji T, Ikuta T, Negoro T, Kato K, Watanabe K. Micturition induced seizures: ictal EEG and subtraction ictal SPECT findings. Epilepsy Res, 2007;73:119-121.
- Miyamoto T, Baba M, Sugane T, Nakajima M, Yashiro T, Kagei K, Hirasawa N, Sugawara T, Yamamoto N, Koto M, Ezawa H, Kadono K, Tsujii H, Mizoe J, Yoshikawa K, Kandatsu S, Fujisawa T. Carbon ion radiotherapy for stage I non-small cell lung cancer using a regimen of four fractions during 1 week. J Thorac Oncol., 2007;2(10):916-926.
- Yamashita S, Isoda H, Hirano M, Takeda H, Inagawa S, Takehara Y, Alley MT,Markl M, Pelc NJ, Sakahara H. Visualization of hemodynamics in intracranial arteries using time-resolved three-dimensional phase-contrast MRI. J Magn Reson Imaging., 2007 Mar;25(3):473-478.
- Naganawa S, Satake H, Iwano S, Kawai H, Kubota S, Komada T, Kawamura M, Sakurai Y, Fukatsu H. Contrast-enhanced MR imaging of the brain using T1- FLAIR with BLADE compared with a conventional spin-echo sequence. Eur Radiol, 2007;18(2):337-342.
- Otake H, Sugiura M, Naganawa S, Nakashima T. 3D-FLAIR magnetic resonance imaging in the evaluation of mumps deafness. Int J Pediatr Otorhinolaryngol, 2006;70(12):2115-2117.
2006
- Ishikawa H, Tsuji H, Kamada T, Hirasawa N, Yanagi T, Mizoe J, Akakura K, Suzuki H, Shimazaki J, Tsujii H. Risk factors of late rectal bleeding after carbon ion therapy for prostate cancer. Int J Radiat Oncol Biol Phys, 2006;66(4):1084-1091
- Ishida I M, Sugiura M, Nakashima T, Naganawa S, Sato E, Sugiura J, Yoshino T. The lateral semicircular canal and vertigo in patients with large vestibular aqueduct syndrome. Otol Neurotol., 2006;27(6):788-792.
- Kawatsu S, Ushiroya N. A simulation of portable PET with a new geometric image reconstruction method. Nuclear Instruments and Methods in Physics Research, 2006;A 569:445-447.
- Ito Z, Harada A, Matsui Y, Takemura M, Wakao N, Suzuki T, Nihashi T, Kawatsu S, Shimokata H, Ishiguro N. Can you diagnose for vertebral fracture correctly by plain X-ray? Osteoporos Int, 2006;17:1584-1591.
- Ikeda M, Ishigaki T, Itoh S. Influence of rib structure on detection of subtle lung nodules. Eur J Radiol, 2006;59:49-55.
- Kawase S, Naganawa S, Sone M, Ikeda M, Ishigaki T. Relationship between CT densitometry with a slice thickness of 0.5 mm and audiometry in otosclerosis. Eur Radiol, 2006;16(6):1367-1373.
- Nakashima T, Sone M, Fujii H, Teranishi M, Yamamoto H, Otake H, Sugiura M, Naganawa S. Blood flow to the promontory in cochlear otosclerosis. Clin Otolaryngol, 2006;31(2):110-115.
- Kubota T, Kato K, Ichihara S, Hirose H. Diagnosis of Atypical Choroidal Malignant Melanoma using N-isopropyl-p-[123I]-iodoamphetamine Single Photon Emission Computed Tomography. Japanese Journal of Ophthalmology. 2006;50(2):185-187.
- Naganawa S, Komada T, Fukatsu H, Ishigaki T, Takizawa O. Observation of contrast enhancement in the cochlear fluid space of healthy subjects using a 3D-FLAIR sequence at 3 Tesla. Eur Radiol, 2006;16(3):733-737.
- Kawamura T, Ishiguchi T, Shibamoto Y, Ogino H, Ishihara S, Yamada T, Katada K, Suzuki K, Suzuki H, Mimura M. Results of primary central nervous system lymphoma treated by radiation and chemotherapy: retrospective analysis of twelve institutions in the Tokai District of Japan, 1995-1999. Radiat Med, 2006;24:9-16.
- Nihashi T, Ito K, Kato T, Kato R, Okuda M, Arima T, Bundo M, Kawatsu S, Hayasaka K, Ishigaki T. An abnormal accumulation of fluorine-18-FDG PET in cytomegalovirus enteritis--a case report. Ann Nucl Med, 2006;20:75-78.
- Fukushima H, Itoh S, Takada A, Mori Y, Suzuki K, Sawako A, Iwano S, Satake H, Ota T, Ikeda M, Ishigaki T. Diagnostic value of curved multiplanar reformatted images in multislice CT for the detection of resectable pancreatic ductal adenocarcinoma. Eur Radiol, 2006;16:1709-1718.
- Ishida I M, Sugiura M, Nakashima T, Naganawa S, Sato E, Sugiura J, Yoshino T. Lateral semicircular canal and vertigo in patients with large vestibular aqueduct syndrome. Otol Neurotol, 2006;27(6):788-792.
- Itoh S, Fukushima H, Takada A, Suzuki K, Satake H, Ishigaki T. Assessment of anomalous pancreaticobiliary ductal junction with high-resolution multiplanar reformatted images in MDCT. AJR Am J Roentgenol, 2006;187:668-675.
- Itoh S, Ikeda, Satake H, Ota T, Ishigaki T. The effect of patient age on contrast enhancement during CT of the pancreatobiliary region. AJR Am J Roentgenol, 2006;187:505-510.
- Itoh Y, Fuwa N. Retrospective analysis: concurrent chemoradiotherapy using protracted continuous infusion of low-dose cisplatin and 5-fluorouracil for T2N0 glottic cancer. Radiat Med, 2006;24:277-281.
- Kano H, Endo T, Ikeda M, Oiwa M, Ishigaki T. Evaluation of new image processing conditions for digital mammograms from Fuji computed radiography. Nagoya J Med Sci, 2006;68:131-138.
- Kato K, Kubota T, Ikeda M, Tadokoro M, Abe S, Nakano S, Nishino M, Kobayashi H, Ishigaki T. Low efficacy of 18F-FDG PET for detection of uveal malignant melanoma compared with 123I-IMP SPECT. J Nucl Med, 2006;47(3):404-409.
- Kawase S, Okuda T, Ikeda M, Ishihara S, Itoh Y, Yanagawa S, Ishigaki T. Intraarterial cisplatin/nedaplatin and intravenous 5-fluorouracil with concurrent radiation therapy for patients with high-risk uterine cervical cancer. Gynecol Oncol, 2006;102:493-499.
- Koyama K, Shimamoto K, Ikeda M, Muramoto H, Satake H, Sawaki A, Kato K, Fukushima H, Ishigaki T. Intra- and Interobserver Agreement and Performance Score of Breast Phantom Image Interpretation:Influence of Ambient Room Lighting Levels. Nagoya J.Med.Sci., 2006;68:147-153.
- Mori Y, Itoh S, Ikeda M, Sawaki A, Suzuki K, Iwano S, Satake H, Arahata S, Ota T, Ishigaki T. Application of subsecond rotation scan to helical CT for lung cancer screening. Nagoya J Med Sci, 2006;68:139-145.
- Muramoto H, Shimamoto K, Ikeda M, Koyama K, Fukushima H, Ishigaki T. Influence of monitor luminance and room illumination on soft-copy reading evaluation with electronically generated contrast-detail phantom: comparison of cathode-ray tube monitor with liquid crystal display. Nagoya J Med Sci, 2006;68:115-120.
- Naganawa S, Kawai H, Fukatsu H, Sakurai Y, Aoki I, Miura S, Mimura T, Kanazawa H, Ishigaki T. Diffusion-weighted imaging of the liver: technical challenges and prospects for the future. Magn Reson Med Sci, 2006;4(4):175-186.
- Naganawa S, Sugiura M, Kawamura M, Fukatsu H, Nakashima T, Maruyama K. Prompt contrast enhancement of cerebrospinal fluid space in the fundus of the internal auditory canal: observations in patients with meningeal diseases on 3D-FLAIR images at 3 Tesla. Magn Reson Med Sci, 2006;5(3):151-155.
- Nihashi T, Hayasaka M, Komatsu S, Kato T, Yoshimura K, Arahata Y, Iwai K, Takeda A, Washimi Y, Ito K. A comparison study between FDG-PET and IMP-SPECT for diagnosing Alzheimer's disease using 3D-SSP analysis. NeuroImage (proceeding), 2006;31 Supplement 1: S75.
- Nihashi T, Takebayashi S, Bundo M, Fujii M, Wakabayashi T, Yoshida J, Fujisawa H, Ando K, Hayasaka K. The response of brain with brain tumor following tactile stimulation. Neuroscience Research (proceeding), 2006;55:S155-S155 Suppl. 1.
- Nihashi T, Hayasaka K, Itou T, Ito K, Kato R, Okae T, Ishigaki T. Findings of fluorine-18-FDG PET in extranodal origin lymphoma--in three cases of diffuse large B cell type lymphoma. Ann Nucl Med, 2006;20:689-693.
- Okumura A, Ikuta T, Tsuji T, Kato T, Fukatsu H, Naganawa S, Kato K, Watanabe K. Parry-Romberg syndrome with a clinically silent white matter lesion. AJNR Am J Neuroradiol, 2006;27(8):1729-1731.
- Okumura A, Hayakawa F, Maruyama K, Kubota T, Kato K, Watanabe K. Single photon emission computed tomography and serial MRI in preterm infants with kernicterus. Brain Dev, 2006;28:348-352.
- Shiraishi S, Kobayashi H, Nihashi T, Kato K, Iwano S, Nishino M, Ishigaki T, Ikeda M, Kato T, Ito K, Kimura T. Cerebral glucose metabolism change in patients with complex regional pain syndrome: a PET study. Radiat Med, 2006;24:335-344.
- Sugiura M, Naganawa S, Sato E, Nakashima T. Visualization of a high protein concentration in the cochlea of a patient with a large endolymphatic duct and sac, using three-dimensional fluid-attenuated inversion recovery magnetic resonance imaging. J Laryngol Otol, 2006;120(12):1084-1086.
- Sugiura M, Naganawa S, Teranishi M, Nakashima T. Three-dimensional fluid-attenuated inversion recovery magnetic resonance imaging findings in patients with sudden sensorineural hearing loss. Laryngoscope, 2006;116(8):1451-1454.
- Sugiura M, Naganawa S, Teranishi M, Sato E, Kojima S, Nakashima T. Inner ear hemorrhage in systemic lupus erythematosus. Laryngoscope, 2006;116(5):826-828.
- Usam H, Ikeda M, Takeo Ishigaki, Fukushima H, Shimamoto K. The influence of liquid crystal display (LCD) monitors on observer performance for the detection of nodular lesions on chest radiographs. Eur Radiol, 2006;16(3):726-732.
- Ito Y, Fuwa N, Kikuchi Y, Yokoi N, Hamajima N, Morita K. Elective Neck Irradiation on Ipsilateral Side in Patients with Early Tongue Cancer for High-Risk Group with Late Cervical Lymph Note Metastasis. Nagoya J.Med.Sci., 2006;68:53-62.
2005
- Matoh F, Hayashi H, Terada H, Satoh H, Katoh H, Urushida T, Shiraki K, Asai M, Sakahara H, Takehara Y. Usefulness of delayed enhancement magnetic resonance imaging for detecting cardiac rupture caused by small myocardial infarction in a case of cardiac tamponade. Circ J., 2005;69(12):1556-1559.
- Horii A, Chihara A, Ichikawa K, Kodera Y, Ikeda M, Ishigaki T. Measurement of modulation transfer functions for liquid crystal displays by rectangular waveform analysis. Nippon Hoshasen Gijutsu Gakkai Zasshi, 2005;61(12):1651-1655.
- Ohshima S, Isobe S, Izawa H, Nanasato M, Ando A, Yamada A, Yamada K, Kato T, Obata K, Akiko N, Takao N, Katsuhiko K, Kohzo N, Kenji O, Toyoaki M, Yokota M. Cardiac sympathetic dysfunction correlates with abnormal myocardial contractile reserve in dilated cardiomyopathy patients. J Am Coll Cardiol, 2005;46(11): 2061-2068.
- Iwano S, Nakamura T, Kamioka Y, Ishigaki T. Computer-aided diagnosis: a shape classification of pulmonary nodules imaged by high-resolution CT. Comput Med Imaging Graph, 2005;29:565-570.
- Sugiura M, Sato E, Nakashima T, Sugiura J, Furuhashi A, Yoshino T, Nakayama A, Mori Y, Murakami H, Naganawa S. Long-term follow-up in patients with Pendred syndrome: vestibular, auditory and other phenotypes. Eur Arch Otorhinolaryngol, 2005;262(9):737-743.
- Takada A, Itoh S, Suzuki K, Iwano S, Satake H, Ota T, Ikeda M, Ishigaki T. Branch duct-type intraductal papillary mucinous tumor: diagnostic value of multiplanar reformatted images in multislice CT. Eur Radiol, 2005;15:1888-1897.
- Itoh S, Takada A, Satake H, Ota T, Ishigaki T. Diagnostic value of multislice computed tomography for pancreas divisum: assessment with oblique coronal reconstruction images. J Comput Assist Tomogr, 2005;29(4):452-460.
- Mimura T, Sato E, Sugiura M, Yoshino T, Naganawa S, Nakashima T. Hearing loss in patients with enlarged vestibular aqueduct: air-bone gap and audiological Bing test. Int J Audiol, 2005;44(8):466-469.
- Itoh S, Suzuki K, Iwano S, Satake H, Ota T, Ikeda M, Ishigaki T. Three-phase CT examination of the pancreatobiliary region using multislice CT with 1-mm collimation. Radiat Med, 2005;23(4):283-291.
- Nihashi T, Naganawa S, Sato C, Kawai H, Nakamura T, Fukatsu H, Ishigaki T, Aoki I. Contralateral and ipsilateral responses in primary somatosensory cortex following electrical median nerve stimulation--an fMRI study. Clin Neurophysiol, 2005;116(4):842-848.
- Sato C, Naganawa S, Nakamura T, Kumada H, Miura S, Takizawa O, Ishigaki T. Differentiation of noncancerous tissue and cancer lesions by apparent diffusion coefficient values in transition and peripheral zones of the prostate. J Magn Reson Imaging, 2005;21(3):258-262.
- Sugiura M, Nakashima T, Naganawa S, Otake Y, Mukaida T, Sone M, Sato E. Sudden sensorineural hearing loss associated with inner ear anomaly. Otol Neurotol, 2005;26(2):241-246.
- Itoh S, Ikeda M, Achiwa M, Satake H, Ota T, Ishigaki T. Multiphase contrast-enhanced CT of the liver with a multislice CT scanner: effects of iodine concentration and delivery rate. Radiat Med, 2005;23(1):61-69.
- Hidano S, Ikeda M, Ishigaki T, Usami H, Shimamoto K, Kato K. Effects of monitor luminance change on observer detection performance. Comput Med Imaging Graph, 2005;29:35-41.
- Naganawa S, Sato C, Kumada H, Ishigaki T, Miura S, Takizawa O. Apparent diffusion coefficient in cervical cancer of the uterus: comparison with the normal uterine cervix. Eur Radiol, 2005;15(1):71-78.
- Naganawa S, Sato C, Nakamura T, Kumada H, Ishigaki T, Miura S, Maruyama K, Takizawa O. Diffusion-weighted images of the liver: comparison of tumor detection before and after contrast enhancement with superparamagnetic iron oxide. J Magn Reson Imaging, 2005;21(6):836-840.
- Naganawa S, Kawai H, Fukatsu H, Ishigaki T, Komada T, Maruyama K, Takizawa O. High-speed Imaging at 3 Tesla: A Technical and Clinical Review with an Emphasis on Whole-brain 3D Imaging. Magnetic Resonance in Medical Science., 2004;3(4):177-187.
- Ogino H, Shibamoto Y, Takanaka T, Suzuki K, Ishihara S, Yamada T, Sugie C, Nomoto Y, Mimura M. CNS germinoma with elevated serum human chorionic gonadtropln level: clinical characteristics and treatment outcome. IJROBP, 2005;62(3):803-808.
- Shibamoto Y, Ogino H, Hasegawa M, Suzuki K, Nishio M, Fujii T, Kato E, Ishihara S, Sougawa M, Kenjo M, Kawamura T, Hayabuchi N. Results of radiation monotherapy for primary central nervous system lymphoma in the 1990s. IJROBP, 2005;62(3):809-813.
2004
- Nasu H, Takehara Y, Isogai S, Kodaira N, Takeda H, Saga T, Nakajima S, Sakata I, Sakahara H. Tumor enhancement using Mn-metalloporphyrin in mice: magnetic resonance imaging and histopathologic correlation. J Magn Reson Imaging. 2004;20(2):294-299.
- Naganawa S, Koshikawa T, Nakamura T, Kawai H, Fukatsu H, Ishigaki T, Komada T, Maruyama K, Takizawa O. Comparison of flow artifacts between 2D-FLAIR and 3D-FLAIR sequences at 3 T. Eur Radiol, 2004;14(10):1901-1908.
- Naganawa S, Sato C, Ishihara S, Kumada H, Ishigaki T, Miura S, Watanabe M, Maruyama K, Takizawa O. Serial evaluation of diffusion tensor brain fiber tracking in a patient with severe diffuse axonal injury. AJNR Am J Neuroradiol, 2004;25(9):1553-1556.
- Fukuhara R, Ishiguchi T, Ikeda M, Ota T, Takai K, Satake H, Ishigaki T. Evaluation of abdominal aortic aneurysm for endovascular stent-grafting with volume-rendered CT images of vessel lumen and thrombus. Radiat Med, 2004;22(5):332-341.
- Ishigaki S, Shimamoto K, Satake H, Sawaki A, Itoh S, Ikeda M, Ishigaki T, Imai T. Multi-slice CT of thyroid nodules: comparison with ultrasonography. Radiat Med., 2004;22(5):346-353.
- Itoh S, Ikeda M, Achiwa M, Satake H, Iwano S, Ishigaki T. Late-arterial and portal-venous phase imaging of the liver with a multislice CT scanner in patients without circulatory disturbances: automatic bolus tracking or empirical scan delay? Eur Radiol, 2004;14:1665-1673.
- Iwano S, Makino N, Ikeda M, Itoh S, Tadokoro M, Satake H, Ishigaki T. Solitary pulmonary nodules: optimal slice thickness of high-resolution CT in differentiating malignant from benign. Clin Imaging, 2004;28:322-328.
- Sato C, Naganawa S, Kumada H, Miura S, Ishigaki T. MR imaging of gastric cancer in vitro: accuracy of invasion depth diagnosis. Eur Radiol, 2004;14(9):1543-1549.
- Naganawa S, Koshikawa T, Fukatsu H, Ishigaki T, Maruyama K, Takizawa O. Whole-brain vascular reactivity measured by fMRI using hyperventilation and breath-holding tasks: efficacy of 3D prospective acquisition correction (3D-PACE) for head motion. Eur Radiol, 2004;14(8):1484-1488.
- Itoh Y, Ishihara S, Kumada S, Takai K, Iwata M, Nakamura T, Kawase S, Suzuki K, Mori Y, Hirasawa N, Satoh C, Fukushima H, Okuda T, Ota T, Yanagawa S, Ishigaki T. Chemoradiation using 5-fluorouracil (5-FU) and nedaplatin (NDP) for gynecological malignancy--the relation between hemotoxicity and sequence of 5-FU and NDP. Gan To Kagaku Ryoho, 2004;31(5):797-799.
- Naganawa S, Kawai H, Fukatsu H, Ishigaki T, Komada T, Maruyama K, Takizawa O. High-speed imaging at 3 Tesla: a technical and clinical review with an emphasis on whole-brain 3D imaging. Magn Reson Med Sci, 2004;3(4):177-187.
- Naganawa S, Koshikawa T, Fukatsu H, Ishigaki T, Aoki I. Flow ghost artifact in slice-encoding direction mimicking vestibular schwannoma in contrast-enhanced 3D spoiled gradient-echo sequence. Eur Radiol, 2004;14(3):496-499.
- Okuda T, Itoh Y, Ikeda M, Nakamura T, Horikawa Y, Yanagawa S, Ishigaki T. Long-term result of high dose-rate afterloading brachytherapy in squamous cell carcinoma of the cervix: relationship between facility structure and outcome. Jpn J Clin Oncol, 2004;34(3):142-148.
- Naganawa S, Koshikawa T, Kawai H, Fukatsu H, Ishigaki T, Maruyama K, Takizawa O. Optimization of diffusion-tensor MR imaging data acquisition parameters for brain fiber tracking using parallel imaging at 3 T. Eur Radiol, 2004;14(2):234-238.
- Naganawa S, Koshikawa T, Fukatsu H, Ishigaki T, Sato E, Sugiura M, Yoshino T, Nakashima T. Enlarged endolymphatic duct and sac syndrome: relationship between MR findings and genotype of mutation in Pendred syndrome gene. Magn Reson Imaging, 2004;22(1):25-30e.
- Naganawa S, Nihashi T, Fukatsu H, Ishigaki T, Aoki I. Pre-surgical mapping of primary motor cortex by functional MRI at 3 T: effects of intravenous administration of Gd-DTPA. Eur Radiol, 2004;14(1):112-114.
- Watanabe H, Fukatsu H, Katsuno M, Sugiura M, Hamada K, Okada Y, Hirayama M, Ishigaki T, Sobue G. Multiple regional 1H-MR spectroscopy in multiple system atrophy: NAA/Cr reduction in pontine base as a valuable diagnostic marker. J Neurol Neurosurg Psychiatry, 2004;75(1):103-109.
2003
- Naganawa S, Koshikawa T, Nakamura T, Fukatsu H, Ishigaki T, Aoki I. High-resolution T1-weighted 3D real IR imaging of the temporal bone using triple-dose contrast material. Eur Radiol, 2003;13(12):2650-2658.
- Isobe S, Izawa H, Takeichi Y, Nonokawa M, Nanasato M, Ando A, Kato K, Ikeda M, Murohara T, Yokota M. Relationship between exercise-induced myocardial ischemia and reduced left ventricular distensibility in patients with nonobstructive hypertrophic cardiomyopathy. J Nucl Med, 2003;44(11):1717-1724.
- Isobe S, Ando A, Nanasato M, Nonokawa M, Izawa H, Sobue T, Hirai M, Ito K, Ishigaki T, Murohara T, Yokota M. Combined study with FDG PET and Tl SPECT in patients with idiopathic dilated cardiomyopathy. Nucl Med Commun, 2003;24(10):1071-1080.
- Kojima M, Itoh S, Ikeda M, Satake H, Koyama S, Aoyama T, Watanabe N, Ishigaki T. Usefulness of a method for changing tube current during helical scanning in multislice CT. Radiat Med, 2003;21(5):193-204.
- Naganawa S, Koshikawa T, Sato K, Katagiri T, Mimura T, Ishigaki T, Aoki I. Pseudostenosis of the internal carotid artery in 3D time-of-flight MR angiography: effects of a magnetization transfer contrast pulse and metallic material. Eur Radiol, 2003;13(10):2298-2303.
- Nakamura T, Naganawa S, Fukatsu H, Sakurai Y, Aoki I, Ninomiya A, Nakashima T, Ishigaki T. Contrast enhancement of the cochlear aqueduct in MR imaging: its frequency and clinical significance. Neuroradiology, 2003;45(9):626-630.
- Nakashima T, Naganawa S, Sone M, Tominaga M, Hayashi H, Yamamoto H, Xiuli Liu, Alfred L. Nuttall. Disorders of cochlear blood flow. Brain Res Brain Res Rev, 2003;43(1):17-28.
- Nakashima T, Sone M, Teranishi M, Tominaga M, Sugiura M, Naganawa S. Imaging of a congenital perilymphatic fistula. Int J Pediatr Otorhinolaryngol, 2003;67(4):421-425.
- Itoh S, Ikeda M, Achiwa M, Ota T, Satake H, Ishigaki T. Multiphase contrast-enhanced CT of the liver with a multislice CT scanner. Eur Radiol, 2003;13(5):1085-1094.
- Thang Tran Le, Kobayashi H, Takai H, Kato K, Ishigaki T. Quantitative analysis for assessing regional function of liver by using 99mTc-GSA SPECT. Nagoya J Med Sci, 2003;66:39-43.
- Itoh S, Ikeda M, Ota T, Satake H, Takai K, Ishigaki T. Assessment of the pancreatic and intrapancreatic bile ducts using 0.5-mm collimation and multiplanar reformatted images in multislice CT. Eur Radiol, 2003;13(2):277-285.
- Ikeda M, Ishigaki T, Shimamoto K, Kodera Y, Koyama S, Usami H, Kato K. Influence of monitor luminance change on observer performance for detection of abnormalities depicted on chest radiographs. Invest Radiol, 2003;38(1):57-63.
- Naganawa S, Sato K, Katagiri T, Mimura T, Ishigaki T. Regional ADC values of the normal brain: differences due to age, gender, and laterality. Eur Radiol, 2003;13(1):6-11.
- Margret Hund-Georgiadis, Stefan Zysset, Naganawa S, David G.Norris, D.Yves von Cramon. Determination of cerebrovascular reactivity by means of FMRI signal changes in cerebral microangiopathy: a correlation with morphological abnormalities. Cerebrovasc Dis, 2003;16(2):158-165.
- Takehara Y, Sakahara H, Masunaga H, Isogai S, Kodaira N, Sugiyama M, Takeda H, Saga T, Nakajima S, Sakata I. Assessment of a potential tumor-seeking manganese metalloporphyrin contrast agent in a mouse model. Magn Reson Med., 2002 ;47(3):549-53.
- Sugiura M, Naganawa S, Nakashima T, Misawa H, Nakamura T. Magnetic resonance imaging of endolymphatic sac in acute low-tone sensorineural hearing loss without vertigo. ORL J Otorhinolaryngol Relat Spec, 2003;65(5):254-260.
2005
- Naganawa S, Koshikawa T, Fukatsu H, Ishigaki T, Nakashima T. Serial MR imaging studies in enlarged endolymphatic duct and sac syndrome. Eur Radiol, 2002;12 Suppl 3:S114-117.
- Ikeda M, Shimamoto K, Ishigaki T, Yamauchi K. Statistical method in a comparative study in which the standard treatment is superior to others. Nagoya J Med Sci, 2002;65:127-132.
- Itoh S, Ikeda M, Mori Y, Suzuki K, Sawaki A, Iwano S, Satake H, Arahata S, Isomura T, Ozaki M, Ishigaki T. Lung: feasibility of a method for changing tube current during low-dose helical CT. Radiology, 2002;224(3):905-912.
- Nakamura T, Naganawa S, Koshikawa T, Fukatsu H, Sakurai Y, Aoki I, Ninomiya A, Ishigaki T. High-spatial-resolution MR cisternography of the cerebellopontine angle in 90 seconds with a zero-fill interpolated fast recovery 3D fast asymmetric spin-echo sequence. AJNR Am J Neuroradiol, 2002;23(8):1407-1412.
- Sato E, Nakashima T, David J. Lilly, Stephen A. Fausti, Ueda H, Misawa H, Uchida Y, Furuhashi A, Asahi K, Naganawa S. Tympanometric findings in patients with enlarged vestibular aqueducts. Laryngoscope, 2002;112(9):1642-1646.
- Shimamoto K, Ikeda M, Satake H, Ishigaki S, Sawaki A, Ishigaki T. Interobserver agreement and performance score comparison in quality control using a breast phantom: screen-film mammography vs computed radiography. Eur Radiol, 2002;12:2192-2197.
- Yu Z, Fukatsu H, Naganawa S, Satake H, Sato Y, Ohiwa M, Endo T, Ichihara S, Ishigaki T. The role of contrast-enhanced MR mammography for determining candidates for breast conservation surgery. Breast Cancer, 2002;9:231-239.
- Naganawa S, Koshikawa T, Fukatsu H, Ishigaki T, Nakashima T, Ichinose N. Contrast-enhanced MR imaging of the endolymphatic sac in patients with sudden hearing loss. Eur Radiol, 2002;12(5):1121-1126.
- Iwai T, Hayashi Y, Mitsudo K, Shigetomi T, Ueda M, Ishigaki T. Prognostic evaluation of preoperative thermochemoradiotherapy for N(3) cervical lymph node metastases of oral cancer. Oncology, 2002;62:234-240.
- Itoh S, Satake H, Ohta T, Asai H, Endo T, Ishigaki T. Pancreatic ductal adenocarcinoma showing iso-attenuation in early-phase contrast-enhanced CT: comparison with histopathological findings. Radiat Med, 2002;20(2):59-67.
- Naganawa S, Koshikawa T, Fukatsu H, Ishigaki T, Aoki I, Ninomiya A. Fast recovery 3D fast spin-echo MR imaging of the inner ear at 3 T. AJNR Am J Neuroradiol, 2002;23(2):299-302.
- Naganawa S, David G. N, Stefan Z, Toralf M. Regional differences of fMR signal changes induced by hyperventilation: comparison between SE-EPI and GE-EPI at 3-T. J Magn Reson Imaging, 2002;15(1):23-30.
- Homma M, Tabushi K, Obata Y, Tamiya T, Koyama S, Ishigaki T. A method for measuring the dose distribution of the radiotherapy domain using the computed radiography system. Igaku Butsuri, 2002;22(2):118-124.
- Ikeda M, Ishigaki T, Yamauchi K. Relationship between Brier score and area under the binormal ROC curve. Comput Methods Programs Biomed, 2002;67:187-194.
- Ishihara S, Shimamoto K, Ikeda M, Kato K, Mori Y, Ishiguchi T, Ishigaki T. CRT diagnosis of pulmonary disease: influence of monitor brightness and room illuminance on observer performance. Comput Med Imaging Graph, 2002;26:181-185.
- Itomi K, Okumura A, Negoro T, Watanabe K, Natsume J, Takada H, Tadokoro M, Ishigaki T. Prognostic value of positron emission tomography in cryptogenic West syndrome. Dev Med Child Neurol, 2002;44:107-111.
2001
- Sato E, Nakashima T, Miura Y, Furuhashi A, Nakayama A, Mori N, Murakami H, Naganawa S, Tadokoro M. Phenotypes associated with replacement of His by Arg in the Pendred syndrome gene. Eur J Endocrinol, 2001;145(6):697-703.
- Hirota H, Shimamoto K, Ikeda M, Ishigaki T, Maruyama K, Yamada T, Satake H, Ishiguchi T, Takahashi Y, Nishihara E. Display method can affect interobserver agreement: comparison of 'zoom-and-pan' and 'browse-and-paste' for primary CT interpretation. Comput Med Imaging Graph, 2001;25:327-333.
- Ikeda M, Ito S, Ishigaki T, Yamauchi K. Application of resampling techniques to the statistical analysis of the Brier score. Methods Inf Med, 2001;40:259-264.
- Ishiguchi T, Ota T, Naganawa S, Fukatsu H, Itoh S, Ishigaki T. CT and MR imaging of pancreatic cancer. Hepatogastroenterology, 2001;48:923-927.
- Itoh S, Koyama S, Ikeda M, Ozaki M, Sawaki A, Iwano S, Ishigaki T. Further reduction of radiation dose in helical CT for lung cancer screening using small tube current and a newly designed filter. J Thorac Imaging, 2001;16:81-88.
- Iwano S, Ishigaki T, Shimamoto K, Inamura K, Maeda T, Ikeda M, Tsuneo Ishiguchi, Kozuka T. Detection of subtle pulmonary disease on CR chest images: monochromatic CRT monitor vs color CRT monitor. Eur Radiol, 2001;11:59-64.
- Kato K, Ishiguchi T, Maruyama K, Naganawa S, Ishigaki T. Accuracy of plastic replica of aortic aneurysm using 3D-CT data for transluminal stent-grafting: experimental and clinical evaluation. J Comput Assist Tomogr,2001;25(2): 300-304.
- Naganawa S, Iwayama E, Koshikawa T, Fukatsu H, Ishigaki T, Ninomiya A, Aoki I. Virtual endoscopy of the labyrinth, using a 3D-FastASE sequence. J Magn Reson Imaging, 2001;13(5):792-796.
- Naganawa S, Koshikawa T, Fukatsu H, Ishigaki T, Fukuta T. MR cisternography of the cerebellopontine angle: comparison of three-dimensional fast asymmetrical spin-echo and three-dimensional constructive interference in the steady-state sequences. AJNR Am J Neuroradiol, 2001;22(6):1179-1185.
- Naganawa S, Koshikawa T, Fukatsu H, Sakurai Y, Ichinose N, Ishiguchi T, Ishigaki T. Contrast-enhanced MR angiography of the carotid artery using 3D time-resolved imaging of contrast kinetics: comparison with real-time fluoroscopic triggered 3D-elliptical centric view ordering. Radiat Med, 2001;19(4):185-192.
- Naganawa S, Koshikawa T, Kato K, Ishiguchi T, Ishigaki T, Sato K, Katagiri T, Kishimoto H, Mimura T, Takizawa O, Imura C. Aortoiliac stenooculusive disease and aneurysms: screening with non-contrast enhanced two-dimensional cardiac gated cine phase contrast MR angiography with multiple velocity encoded values and cardiac gated two-dimensional time-of-flight MR angiography. Radiat Med, 2001;19(2):99-105.
- Nihashi T, Inao S, Kajita Y, Kawai T, Sugimoto T, Niwa M, Kabeya R, Hata N, Hayashi S, Yoshida J. Expression and distribution of beta amyloid precursor protein and beta amyloid peptide in reactive astrocytes after transient middle cerebral artery occlusion. Acta Neurochir(Wien), 2001;143:287-295.
- Nihashi T, Kakigi R, Kawakami O, Hoshiyama M, Itomi K, Nakanishi H, Kajita Y, Inao S, Yoshida J. Representation of the ear in human primary somatosensory cortex. Neuroimage, 2001;13:295-304.
- Sawaki A, Shimamoto K, Hattori T, Ikeda M, Ishiguchi T, Ishigaki T, Sakuma S. Three-dimensional image display without special eyeglasses: observation of magnetic resonance angiography using the stereoscopic liquid crystal display. J Digit Imaging, 2001;14(3):111-116.
- Suzuki K, Ishiguchi T, Kawatsu S, Iwai H, Maruyama K, Ishigaki T. Dilatation of stent-grafts by luminal pressures: experimental evaluation of polytetrafluoroethylene (PTFE) and woven polyester grafts. Cardiovasc Intervent Radiol, 2001;24:94-98.
- Masunaga H, Takehara Y, Isoda H, Igarashi T, Sugiyama M, Isogai S, Kodaira N,Takeda H, Nozaki A, Sakahara H. Assessment of gadolinium-enhanced time-resolved three-dimensional MR angiography for evaluating renal artery stenosis. AJR Am J Roentgenol., 2001;176(5):1213-1219.
2000
- Ando Y, Fukatsu H, Ishiguchi T, Ishigaki T, Endo T, Miyazaki M. Diagnostic utility of tumor vascularity on magnetic resonance imaging of the breast. Magn Reson Imaging, 2000;18:807-813.
- Ishiguchi T, Nishikimi N, Usui A, Ishigaki T. Endovascular stent-graft deployment: temporary vena caval occlusion with balloons to control aortic blood flow-experimental canine study and initial clinical experience. Radiology, 2000;215(2):594-599.
- Itoh S, Ikeda M, Arahata S, Kodaira T, Isomura T, Kato T, Yamakawa K, Maruyama K, Ishigaki T. Lung cancer screening: minimum tube current required for helical CT. Radiology, 2000;215(1):175-183.
- Iwano S, Makino N, Ikeda M, Itoh S, Ishihara S, Tadokoro M, Ishigaki T. Videotaped helical CT images for lung cancer screening. J Comput Assist Tomogr, 2000;24(2):242-246.
- Kato K, Shimamoto K, Ishigaki T, Niimi R, Ishiguchi T, Mimura T, Yamauchi K, Ikeda M, Iwata A. An experimental teleradiology transmission system using a high-speed ATM backbone network. J Telemed Telecare, 2000;6:114-118.
- Koshikawa T, Naganawa S, Fukatsu H, Ishiguchi T, Ishigaki T. Arachnoid granulations on high-resolution MR images and diffusion-weighted MR images: normal appearance and frequency. Radiat Med, 2000;18(3):187-191.
- Maruyama K, Ishiguchi T, Kato K, Naganawa S, Itoh S, Sakurai T, Ishigaki T. Stent-graft placement for pseudoaneurysm of the aorta. Radiat Med, 2000;18(3):177-185.
- Murase E, Ishiguchi T, Ikeda M, Ishigaki T. Is lower-dose digital fluorography diagnostically adequate compared with higher-dose digital radiography for the diagnosis of fallopian tube stenosis? Cardiovasc Intervent Radiol, 2000;23:126-130.
- Naganawa S, Ishiguchi T, Ishigaki T, Sato K, Katagiri T, Kishimoto H, Mimura T, Takizawa O, Imura C. Real-time interactive MR imaging system: sequence optimization, and basic and clinical evaluations. Radiat Med, 2000;18(1):71-79.
- Naganawa S, Koshikawa T, Iwayama E, Fukatsu H, Ishiguchi T, Ishigaki T, Ikeda M, Nakashima T, Ichinose N. MR imaging of the enlarged endolymphatic duct and sac syndrome by use of a 3D fast asymmetric spin-echo sequence: volume and signal-intensity measurement of the endolymphatic duct and sac and area measurement of the cochlear modiolus. AJNR Am J Neuroradiol, 2000;21(9):1664-1669.
- Nakashima T, Ueda H, Furuhashi A, Sato E, Asahi K, Naganawa S, Beppu R. Air-bone gap and resonant frequency in large vestibular aqueduct syndrome. Am J Otol, 2000;21(5):671-674.
- Satake H, Shimamoto K, Sawaki A, Niimi R, Ando Y, Ishiguchi T, Ishigaki T, Yamakawa K, Nagasaka T, Funahashi H. Role of ultrasonography in the detection of intraductal spread of breast cancer: correlation with pathologic findings, mammography and MR imaging. Eur Radiol, 2000;10:1726-1732.
- Shibahara E, Fukatsu H, Naganawa S, Ito T, Iwayama E, Ishigaki T, Segawa T, Waguo Zhang. Water fat separation using the single acquisition \\\"sandwich\\\" type 3-point Dixon method to optimize knee joint scans. Nagoya J Med Sci, 2000;63(1-2):41-49.
- Yamada T, Yanagawa S, Iwai H, Ishigaki T, Nawa A, Kikkawa F. High-dose-rate interstitial brachytherapy of Bartholin's gland: A case report. Gynecol Oncol, 2000;77:193-196.
- Yamauchi K, Ikeda M, Ota Y, Yang Su, Ishigaki T, Itouji E, Adachi S, Hirota S, Kohno M. Evaluation of the Space Collaboration System: its history, image quality and effectiveness for joint case conference. Nagoya J Med Sci, 2000;63:19-24.
- Isoda H, Takehara Y, Isogai S, Takeda H, Tanaka T, Takahashi M, Nozaki A, Sun Y. Software-triggered contrast-enhanced three-dimensional MR angiography of the intracranial arteries. AJR Am J Roentgenol., 2000;174(2):371-375.
- Takehara Y, Isoda H, Kurihashi K, Isogai S, Kodaira N, Masunaga H, Sugiyama M, Ozawa F, Takeda H, Nozaki A, Sakahara H. Dynamic MR dacryocystography: a new method for evaluating nasolacrimal duct obstructions. AJR Am J Roentgenol., 2000;175(2):469-473.
- Isoda H, Takehara Y, Isogai S, Masunaga H, Takeda H, Nozaki A, Sakahara H.MRA of intracranial aneurysm models: a comparison of contrast-enhanced three-dimensional MRA with time-of-flight MRA. J Comput Assist Tomogr., 2000;24(2):308-315.
1999
- Inagaki H, Kato T, Tadokoro M, Ito K, Fukatsu H, Ota T, Isomura T, Nishino M, Ishigaki T. Interactive fusion of three-dimensional images of upper abdominal CT and FDG PET with no body surface markers. Radiat Med, 1999;17(2):155-163.
- Isomura T, Itoh S, Endo T, Akiyama S, Maruyama K, Ishiguchi T, Ishigaki T, Takagi H. Efficacy of gastric blood supply redistribution by transarterial embolization: preoperative procedure to prevent postoperative anastomotic leaks following esophagoplasty for esophageal carcinoma. Cardiovasc Intervent Radiol, 1999; 22:119-123.
- Ito T, Naganawa S, Fukatsu H, Ishiguchi T, Ishigaki T, Kobayashi M, Kobayashi K, Ichinose N, Miyazaki M, Kassai Y. High-resolution MR images of inner ear internal anatomy using a local gradient coil at 1.5 Tesla: correlation with histological specimen. Radiat Med, 1999;17(5):343-347.
- Iwayama E, Naganawa S, Ito T, Fukatsu H, Ikeda M, Ishigaki T, Ichinose N. High-resolution MR cisternography of the cerebellopontine angle: 2D versus 3D fast spin-echo sequences. AJNR Am J Neuroradiol, 1999;20(5):889-895.
- Naganawa S, Ito T, Iwayama E, Fukatsu H, Ishigaki T. MR cisternography of the cerebellopontine angle using a 3D fast spin echo sequence. Medical Imaging International, 1999;(9):16-18.
- Naganawa S, Ito T, Iwayama E, Fukatsu H, Ishigaki T. High-resolution MR cisternography of the cerebellopontine angle, obtained with a three-dimensional fast asymmetric spin-echo sequence in a 0.35-T open MR imaging unit. AJNR Am J Neuroradiol, 1999;20(6):1143-1147.
- Naganawa S, Ito T, Iwayama E, Fukatsu H, Ishigaki T, Nakashima T, Ichinose N. MR imaging of the cochlear modiolus: area measurement in healthy subjects and in patients with a large endolymphatic duct and sac. Radiology, 1999;213(3):819-823.
- Naganawa S, Ito T, Iwayama E, Fukatsu H, Ishiguchi T, Ishigaki T, Ichinose N. Magnitude subtraction vs. complex subtraction in dynamic contrast-enhanced 3D-MR angiography: basic experiments and clinical evaluation. J Magn Reson Imaging, 1999;10(5):813-820.
- Nakatsugawa S, Okuda T, Muramoto H, Koyama K, Ishigaki T, Tsuruoka T, Hosokawa M, Kobayashi H. Inhibitory effect of ND2001 on spontaneous multiple metastasis of NC 65 tumors derived from human renal cancer cells intradermally transplanted into nude mice. Anticancer Drugs, 1999;10:229-233.
- Okamura M, Kurauchi O, Itakura A, Naganawa S, Watanabe Y, Mizutani S. Fetal sacrococcygeal teratoma visualized by ultra-fast T2 weighted magnetic resonance imaging. Int J Gynaecol Obstet, 1999;65(2):191-193.
- Okuda T, Matsuda S, Nakatsugawa S, Ichigotani Y, Iwahashi N, Takahashi M, Ishigaki T, Hamaguchi M. Molecular cloning of macrophin, a human homologue of Drosophila kakapo with a close structural similarity to plectin and dystrophin. Biochem Biophys Res Commun, 1998;264:568-574.
- Sawaki A, Shimamoto K, Satake H, Ishigaki T, Koyama S, Obata Y, Ikeda M. Breast ultrasonography: diagnostic efficacy of a computer-aided diagnostic system using fuzzy inference. Radiat Med, 1999;17:41-44.
- Yamada T, Ikeda M, Murao T, Yanagawa S, Ishigaki T, Ishiguchi T. Image storing system for radiation therapy (radiation oncology information system: ROIS) as a branch of diagnostic PACS; implementation and evaluation. Comput Med Imaging Graph, 1999;23:111-117.
- Yamakawa K, Naganawa S, Maruyama K, Kato T, Fukatsu H, Ishigaki T. Clinical evaluation of three-dimensional MR-cholangiopancreatography using three-dimensional Fourier transform fast asymmetric spin echo method (3DFT-FASE): usefulness of observation by multi-planar reconstruction. Radiat Med, 1999;17(1):15-19.
- Yoshida K, Fukatsu H, Ando Y, Ishigaki T, Okada T. Evaluation of sleep apnea syndrome with low-field magnetic resonance fluoroscopy. Eur Radiol, 1999;9:1197-1202.
- Takehara Y. Fast MR imaging for evaluating the pancreaticobiliary system. Eur J Radiol., 1999;29(3):211-32. Review.
- Takehara Y. MR pancreatography. Semin Ultrasound CT MR., 1999;20(5):324-339.
- Masui T, Takehara Y, Ichijo K, Naito M, Watahiki H, Kaneko M, Nozaki A, Sun Y. Evaluation of the pancreas: a comparison of single thick-slice MR cholangiopancreatography with multiple thin-slice volume reconstruction MR cholangiopancreatography. AJR Am J Roentgenol., 1999;173(6):1519-1526.
1998
- Ando Y, Fukatsu H, Ishigaki T, Endo T, Miyazaki M. Intramammary Extension of Breast Cancer: Diagnosis with MR Mammography. Breast Cancer, 1998;5:291-300.
- Ikeda M, Ishigaki T, Yamauchi K. Review of the new methodology of analyzing receiver operating characteristic curves. Medinfo, 1998;52 Pt 2:837-840.
- Ishiguchi T, Maruyama K, Fukatsu H, Ishigaki T. Radiologic diagnosis of pancreatic carcinoma. Semin Surg Oncol, 1998;15:23-32.
- Itoh S, Ikeda M, Isomura T, Endo T, Yamakawa K, Itoh K, Naganawa S, Maruyama K, Ishigaki T. Screening helical CT for mass screening of lung cancer: application of low-dose and single-breath-hold scanning. Radiat Med, 1998;16(2):75-83.
- Kobayashi H, Sakurai Y, Kondo S, Abe S, Hayakawa N, Aoyama Y, Obata Y, Ishigaki T. A paired wedge filter system for compensation in dose differences. Radiother Oncol, 1998;49:267-272.
- Naganawa S, Ito T, Fukatsu H, TIshigaki T, Nakashima T, Ichinose N, Kassai Y, Miyazaki M. MR imaging of the inner ear: comparison of a three-dimensional fast spin-echo sequence with use of a dedicated quadrature-surface coil with a gadolinium-enhanced spoiled gradient-recalled sequence. Radiology, 1998;208(3):679-685.
- Naganawa S, Itoh T, Fukatsu H, Ishigaki T, Nakashima T, Kassai Y, Miyazaki M, Takai H. Three-dimensional fast spin-echo MR of the inner ear: ultra-long echo train length and half-Fourier technique. AJNR Am J Neuroradiol, 1998;19(4):739-741.
- Okuda T, Nishizawa K, Ejima Y, Nakatsugawa S, Ishigaki T, Ishizaki K. The effects of static magnetic fields and X-rays on instability of microsatellite repetitive sequences. J Radiat Res (Tokyo) , 1998;39:279-287.
- Shimamoto K, Satake H, Sawaki A, Ishigaki T, Funahashi H, Imai T. Preoperative staging of thyroid papillary carcinoma with ultrasonography. Eur J Radiol, 1998;29:4-10.
- Shimamoto K, Sawaki A, Ikeda M, Satake H, Naganawa S, Tadokoro M, Isomura T, Hirota H, Ishigaki T. Interobserver agreement in sonographic diagnosis of breast tumors. Eur J Ultrasound, 1998;8(1):25-31.
- Zhon Gli Wan, Kobayashi H, Hayakawa A, Ishigaki T. A diffusible resistance factor(s) in spontaneous mitomycin resistant mammalian cancer cells. Nagoya J Med Sci, 1998;61:37-45.
- Takehara Y. Can MRCP replace ERCP. J Magn Reson Imaging. 1998;8(3):517-534. Review.
- Isoda H, Takehara Y, Isogai S, Takeda H, Kaneko M, Nozaki A, Sun Y, Foo TK.Technique for arterial-phase contrast-enhanced three-dimensional MR angiography of the carotid and vertebral arteries. AJNR Am J Neuroradiol. 1998;19(7):1241-1244.
- Masui T, Takehara Y, Fujiwara T, Ichijo K, Imaoka I, Naito M, Yamamoto H,Watahiki H, Kaneko M. MR and CT cholangiography in evaluation of the biliary tract. Acta Radiol., 1998;39(5):557-563.
1997
- Isoda H, Ramsey RG, Takehara Y, Takahashi M, Kaneko M. MR angiography of aneurysm models of various shapes and neck sizes. AJNR Am J Neuroradiol., 1997;18(8):1463-1472.
- Satake H, Shimamoto K, Endo T, Ishigaki T, Funahashi H. Value of ultrasonography and galactography in dilated ducts or cysts of the breast. European Journal of Ultrasound, 1997;6:127-130.
- Gambhir S, Inao S, Tadokoro M, Nishino M, Ito K, Ishigaki T, Kuchiwaki H, Yoshida J. Comparison of vasodilatory effect of carbon dioxide inhalation and intravenous acetazolamide on brain vasculature using positron emission tomography. Neurol Res, 1997;19:139-144.
- Ikeda M, Ito S, Ishigaki T, Yamauchi K. Evaluation of a neural network classifier for pancreatic masses based on CT findings. Comput Med Imaging Graph, 1997;21(3):175-183.
- Itoh S, Ikeda M, Ohta T, Isomura T, Katoh T, Maruyama K, Ishigaki T. Helical CT for lung-cancer screening: fifth report: evaluation of image quality at low-dose CT using healthy volunteers. Nippon Igaku Hoshasen Gakkai Zasshi, 1997;57(14):923-928.
- Koyama S, Obata Y, Shimamoto K, Ishigaki T, Ishii N, Isomoto Y, Yoshine K. Breast ultrasonography: computer-aided diagnosis using fuzzy inference. J Ultrasound Med, 1997;16:665-672.
- Naganawa S, Ito T, Shimada H, Nagao R, Endo T, Uchiumi K, Ishigaki T. Cerebral black blood MR angiography with the interleaved multi-slab three-dimensional fast spin echo sequence. Radiat Med, 1997;15(6):385-388.
- Nakao A, Harada A, Nonami T, Kaneko T, Takeda S, Kurokawa T, Ishigaki T, Takagi H. Intraoperative radiotherapy for pancreatic carcinoma with hepatic or peritoneal metastases. Hepatogastroenterology, 1997;44:1469-1471.
- Niimi R, Shimamoto K, Sawaki A, Ishigaki T, Takahashi Y, Sugiyama N, Nishihara E. Eye-tracking device comparisons of three methods of magnetic resonance image series displays. J Digit Imaging, 1997;10:147-151.
- Masui T, Takehara Y, Igarashi T, Ichijo K, Takahashi M, Kaneko M, Nozaki A.MR angiography of the renal artery: comparison of breath-hold two-dimensional phase-contrast cine technique with the phased-array coil and breath-hold two-dimensional time-of-flight technique with the body coil. Eur J Radiol., 1997;25(1):62-66.
1996
- Ikeda M, Ishigaki T, Yamauchi K. Estimation of the size of the media necessary to construct a medical image database. Comput Biol Med, 1996;26:77-85.
- Ishigaki T, Endo T, Ikeda M, Kono M, Yoshida S, Ikezoe J, Murata K, Matsumoto M. Subtle pulmonary disease: detection with computed radiography versus conventional chest radiography. Radiology, 1996;201:51-60.
- Ishiguchi T, Shimamoto K, Fukatsu H, Yamakawa K, Ishigaki T. Radiologic diagnosis of hepatocellular carcinoma. Semin Surg Oncol, 1996;12:164-169.
- Ito K, Kato T, Ohta T, Tadokoro M, Yamada T, Ikeda M, Nishino M, Ishigaki T, Ito K,Gambhir S. Fluorine-18 fluoro-2-deoxyglucose positron emission tomography in recurrent rectal cancer: relation to tumour size and cellularity. Eur J Nucl Med, 1996; 23:1372-1377.
- Itoh S, Ikeda M, Isomura T, Katoh T, Hirose M, Yamakawa K, Maruyama K, Shimamoto K, Endo T, Kamata N, Ishigaki T. Fundamental study of lung-cancer screening by helical CT: second report: evaluation of CT images using normal volunteers. Nippon Igaku Hoshasen Gakkai Zasshi, 1996;56(12):813-817.
- Itoh S, Koyama S, Tusaka M, Maekoshi H, Ikeda M, Ohta T, Ishiguchi T, Ishigaki T. Fundamental study for lung-cancer screening by helical CT. First report: evaluation of radiation dose and image quality using a phantom. Nippon Igaku Hoshasen Gakkai Zasshi, 1996;56(11):731-735.
- Itoh S, Koyama S, Tusaka M, Maekoshi H, Satake H, Ishigaki T. Helical CT for lung-cancer screening: third report: fundamental study for ultralow-dose CT by application of small tube current and filter. Nippon Igaku Hoshasen Gakkai Zasshi, 1996;56(13):961-966.
- Itoh S, Satake H, Katoh T, Isomura T, Ikeda M, Ishigaki T. Helical CT for lung-cancer screening: fourth report. Detectability of pulmonary lesions. Nippon Igaku Hoshasen Gakkai Zasshi, 1996;56(14):1039-1044.
- Kobayashi H, Kodaira T, Yamada T, Horikawa Y, Ito Y, Murao T, Obata Y, Ishigaki T. 18 years of conformation radiotherapy at Nagoya University Hospital. Nagoya J Med Sci, 1996;59:17-24.
- Naganawa S, Endo T, Aoyama H, Ichihara S. MR lmaging of the Primary Breast Lymphoma: A Case Report. Breast Cancer, 1996;3(3):209-213.
- Naganawa S, Yamakawa K, Fukatsu H, Ishigaki T, Nakashima T, Sugimoto H, Aoki I, Miyazaki M, Takai H. High-resolution T2-weighted MR imaging of the inner ear using a long echo-train-length 3D fast spin-echo sequence. Eur Radiol, 1996;6(3):369-374.
- Nakamura K, Ishiguchi T, Maekoshi H, Ando Y, Tsuzaka M, Tamiya T, Suganuma N, Ishigaki T. Selective fallopian tube catheterisation in female infertility: clinical results and absorbed radiation dose. Eur Radiol, 1996;6:465-469.
- Okada T, Fukatsu H, Ishigaki T, Yasuma F, Kayukawa Y. Ultra-low-field magnetic resonance imaging in upper airways obstruction in sleep apnea syndrome. Psychiatry Clin Neurosci, 1996;50:285-289.
- Yamamoto M, Hibi H, Hirata Y, Miyake K, Ishigaki T. Effect of varicocelectomy on sperm parameters and pregnancy rate in patients with subclinical varicocele: a randomized prospective controlled study. J Urol, 1996;155:1636-1638.
- Takehara Y. MR pancreatography: technique and applications. Top Magn Reson Imaging. 1996;8(5):290-301. Review.
1995
- Fukatsu H, Ando Y, Ishigaki T, Okada T. Evaluation of sleep apnea syndrome (SAS) with low field MR fluoroscopy. Nippon Igaku Hoshasen Gakkai Zasshi, 1995;55(3):157-161.
- Haghgoo S, Hasegawa T, Nadai M, Wang L, Ishigaki T, Miyamoto K, Nabeshima T. Brain distribution characteristics of xanthine derivatives and relation to their locomotor activity in mice. J Pharm Pharmacol., 1995;47:412-419.
- Hirota H, Shimamoto K, Yamakawa K, Ishigaki T, Takahashi Y, Sugiyama N, Ishihara E, Tani Y. Clinical evaluation of newly developed CRT viewing station: CT reading and observer's performance. Comput Med Imaging Graph, 1995:19(3):281-285.
- Mitsuru I, Takeo I, Kazunobu Y. Development of distributed image database combined with clinical information in hospital information system. J Med Syst, 1995;19:305-311.
- Ishigaki T, Sakuma S, Endo T, Ikeda M. Diagnostic usefulness of chest computed radiography--film versus cathode-ray tube images. J Digit Imaging, 1995;8:25-30.
- Itoh S, Ikeda M, Endo T, Isomura T, Ishigaki T, Senda K. CT findings of pancreatic carcinoma: evaluation with the combined method of early enhancement CT and high dose enhancement CT. Nippon Igaku Hoshasen Gakkai Zasshi, 1955;55:460-465.
- Itoh S, Nagasaka T, Endo T, Ishiguchi T, Ishigaki T. CT findings of mass-forming pancreatitis: correlation with histopathologic findings. Nippon Igaku Hoshasen Gakkai Zasshi, 1995;55:627-632.
- Kato T, Fukatsu H, Ito K, Tadokoro M, Ota T, Ikeda M, Isomura T, Ito S, Nishino M, Ishigaki T. Fluorodeoxyglucose positron emission tomography in pancreatic cancer: an unsolved problem. Eur J Nucl Med, 1995;22:32-39.
- Kodaira T, Shimamoto K, Hirota H, Itoh S, Itoh K, Kamata N, Ishigaki T, Ikeda M. Optimal concentration of contrast medium in helical CT of the thorax. Nippon Igaku Hoshasen Gakkai Zasshi, 1995;55:138-144.
- Naganawa S, Senda K, Yamakawa K, Fukatsu H, Ishigaki T, Nakashima T, Sugimoto H, Aoki I, Takai H. High resolution MR imaging of the inner ear apparatus using 3D-Fast spin echo sequence. Nippon Igaku Hoshasen Gakkai Zasshi,1995; 55(1):81-82.
- Nakashima T, Yanagita N, Yamakawa K, Naganawa S. Inner ear barotrauma: computed tomographic evaluation. Clin Otolaryngol Allied Sci, 1995;20(6):544-546.
- Ota T, Ito K, Tadokoro M, Kato T, Nishino M, Amano M, Ishigaki T. Evaluation of the performance of a whole-body positron imaging system with attenuation correction. Radiat Med, 1995;13(3):121-128.
- Xin Ru Zhang, Kobayashi H, Hayakawa A, Ishigaki T. An evaluation of the biological effects of three different modes of magnetic fields on cultured mammalian cell. Nagoya J Med Sci, 1995;58:157-164 s.
- Fujiwara T, Takehara Y, Isoda H, Ichijo K, Tooyama N, Kodaira N, Kitanaka H, Asai T, Kawaguchi K. Torsion of the wandering spleen: CT and angiographic appearance. J Comput Assist Tomogr., 1995;19(1):84-86.
- Masui T, Takehara Y, Aoshima R, Kaneko M. Acute hemodynamic effects of intravenous bolus injection of ionic and nonionic magnetic resonance contrast media. Acad Radiol., 1995;2(2):148-153.
- Takehara Y, Ichijo K, Tooyama N, Kodaira N, Fujiwara T, Nozaki A.Three-dimensional projection images of the labyrinth acquired with multislab 3DFT fast spin-echo sequence and dual-array surface coil. AJR Am J Roentgenol., 1995;165(3):645-646.
- Fujiwara T, Takehara Y, Ichijo K, Tooyama N, Kodaira N, Yamamoto H, Watahiki H. Anterior extension of acute pancreatitis: CT findings. J Comput Assist Tomogr.1995;19(6):963-966.
1994
- Ando Y, Fukatsu H, Ishigaki T, Aoki I, Yamada T. Analysis of knee movement with low-field MR equipment--a normal volunteer study. Radiat Med, 1994; 12(4):153-160.
- Itoh S, Yamakawa K, Shimamoto K, Endo T, Ishigaki T. CT findings in groove pancreatitis: correlation with histopathological findings. J Comput Assist Tomogr, 1994;18(6):911-915.
- Milla N, Ito K, Ikeda M, Nakamura K, Hirose M, Ishigaki T. Fundamental and clinical evaluation of chest computed tomography imaging in detectability of pulmonary nodule. Nagoya J Med Sci, 1994;57:127-132.
- Naganawa S, Thomas G. Cooper, Göran Jenner, E.James Potchen, Ishigaki T. Flow velocity and volume measurement of superior and inferior mesenteric artery with cine phase contrast magnetic resonance imaging. Radiat Med, 1994;12(5):213-220.
- Naganawa S, Göran J, Thomas G. Cooper, E.James Potchen, Ishigaki T. Rapid MR imaging of the liver: comparison of twelve techniques for single breath-hold whole volume acquisition. Radiat Med, 1994;12(6):255-261.
- Masui T, Takehara Y, Aoshima R, Kaneko M. Acute hemodynamic effects of nonionic and ionic magnetic resonance contrast media in intravenous bolus injection in rats. Invest Radiol. 1994;29 Suppl 2:S189-191.
- Takehara Y, Ichijo K, Tooyama N, Kodaira N, Yamamoto H, Tatami M, Saito M,Watahiki H, Takahashi M. Breath-hold MR cholangiopancreatography with a long-echo-train fast spin-echo sequence and a surface coil in chronic pancreatitis. Radiology., 1994;192(1):73-78.
- Mochizuki T, Isoda H, Masui T, Ohkawa Y, Takahashi M, Takehara Y, Ichijo K,Kodaira N, Kitanaka H. Occlusion of the posterior humeral circumflex artery:detection with MR angiography in healthy volunteers and in a patient with quadrilateral space syndrome. AJR Am J Roentgenol,. 1994;163(3):625-627.
1993
- Hirose M, Ikeda M, Ito K, Ishigaki T, Sakuma S. Considerations for standard chest radiography: the long film-focus distance technique. Nagoya J Med Sci, 1993;55:33-39.
- Ishigaki T, Ikeda M, Shimamoto K, Hirota H, Makino N. Digital radiology and PACS. Nagoya J Med Sci, 1993;56:53-67.
- Ito K, Narita H, Kato T, Fukatsu H, Tadokoro M, Asai H, Ishiguchi T, Ishigaki T, Sakuma S. Kinetics of flomoxef sodium monitored with in vivo 19F NMR spectroscopy. Nippon Igaku Hoshasen Gakkai Zasshi, 1993;53(1):104-106.
- Shimamoto K, Endo T, Ishigaki T, Sakuma S, Makino N. Thyroid nodules: evaluation with color Doppler ultrasonography. J Ultrasound Med, 1993; 12: 673-678.
- Isoda H, Takehara Y, Masui T, Seki A, Takahashi M, Kaneko M. MRI of postoperative maxillary cysts. J Comput Assist Tomogr. 1993;17(4):572-575.
1992
- Asai H, Shimamoto K, Ishigaki T, Virginia G. Baldelli,R.T., Sakuma S, Ikezaki Y, Yoshitome E. Influence of matrix size, vessel shape, vascular diameter, flow velocity, course of vessels on MR angiography. Radiat Med, 1992;10:145-153.
- Isomura T, Tamiya-Koizumi K, Suzuki M, Yoshida S, Taniguchi M, Matsuyama M, Ishigaki T, Sakuma S, Takahashi M. RFP is a DNA binding protein associated with the nuclear matrix. Nucleic Acids Res, 1992;20:5305-5310.
- Ito K, Kato T, Tadokoro M, Ishiguchi T, Oshima M, Ishigaki T, Sakuma S. Recurrent rectal cancer and scar: differentiation with PET and MR imaging. Radiology, 1992;182:549-552.
- Itoh S, Ishiguchi T, Ishigaki T, Sakuma S, Maruyama K, Senda K. Mucin-producing pancreatic tumor: CT findings and histopathologic correlation. Radiology, 1992;183:81-86.
- Itoh S, Ishiguchi T, Negoro M, Hirose M, Fukatsu H, Endo T, Ishigaki T, Sakuma S. Evaluation of transcatheter arterial embolization with coaxial microcatheter and micro-coil for vascular lesions. Nippon Igaku Hoshasen Gakkai Zasshi, 1992;52:452-460.
- Itoh Y, Ishigaki T, Sakuma S, Hirose M, Fukatsu H, Itoh S, Horikawa Y, Shimamoto K, Tadokoro T, Ikeda M, Itoh K. Influence of CRT workstation on observer's performance. Comput Methods Programs Biomed, 1992;37:253-258.
- Shimamoto K, Sakuma S, Ishigaki T, Ishiguchi T, Itoh S, Fukatsu H. Hepatocellular carcinoma: evaluation with color Doppler US and MR imaging. Radiology, 1992;182:149-153.
- Tadokoro M, Ota T, Kato T, Ito K, Ishigaki T, Amano M, Sakuma S. Multi-directional positron imaging: evaluation of cancer detection with 2-(F-18)-fluoro-2-deoxy-D-glucose. Radiat Med, 1992;10:141-144.
- Saeed M, Wendland MF, Takehara Y, Masui T, Higgins CB. Reperfusion and irreversible myocardial injury: identification with a nonionic MR imaging contrast medium. Radiology., 1992;182(3):675-683.
- Mochizuki T, Ichijo K, Takehara Y, Nakamura M. Gallium-67-citrate scanning in patients with sarcoid uveitis. J Nucl Med., 1992;33(10):1851-1853.
1991
- Horikawa Y, Ishigaki T, Sakuma S. Stereotactic irradiation using a linear accelerator with helmet-type shell. Nippon Igaku Hoshasen Gakkai Zasshi, 1991;51:1053-1058.
- Ishiguchi T, Itoh S, Fukatsu H, Itoh Y, Horikawa Y, Masanori Tadokoro, Kengo Itoh, Takeo Ishigaki, Sadayuki Sakuma. Arterial embolization therapy for metastatic bone and soft-tissue tumors with microcatheter and microcoils. Nippon Igaku Hoshasen Gakkai Zasshi, 1991;51:260-269.
- Naganawa S, Asai H, Ishigaki T, Sakuma S. MR imaging of the vestibular aqueduct in normal volunteers and patients with Meniere's disease--a preliminary report. Nippon Igaku Hoshasen Gakkai Zasshi, 1991;51(3):213-218.
- Okae S, Ishiguchi T, Ishigaki T, Sakuma S. The development of a distribution system for medical lasers and its clinical application. Nippon Igaku Hoshasen Gakkai Zasshi, 1991;51:173-178.
- Pich A, Pisani P, Kzengli M, Cappello N, Navone R. Argyrophilic nucleolar organiser region counts and prognosis in pharyngeal carcinoma. Br J Cancer. 1991;64:327-332.
- Sakuma S, Ishigaki T, Ikeda M. The goal of PACS in Nagoya University Hospital. Comput Methods Programs Biomed, 1991;36:143-146.
- Shimamoto K, Kaii O, Ikeda M, Takeuchi Y, Ishigaki T, Sakuma S. Diagnostic accuracy of breast sonography. Comparison among three different techniques. Nippon Igaku Hoshasen Gakkai Zasshi, 1991;51:1425-1430.
1990
- Ishigaki T, Sakuma S, Ikeda M, Itoh Y, Suzuki M, Iwai S. Clinical evaluation of irreversible image compression: analysis of chest imaging with computed radiography. Radiology, 1990;175:739-743.
- Niwa H, Takahashi M, Yanagita N, Naganawa S. Evaluation of clearance function of the Eustachian tube by sequential contrast CT. Acta Otolaryngol Suppl, 1990;471:43-50.
- Saeed M, Wendland MF, Takehara Y, Higgins CB. Reversible and irreversible injury in the reperfused myocardium: differentiation with contrast material-enhanced MR imaging. Radiology., 1990;175(3):633-637.
1989
- Fukatsu H, Makino N, Kodama Y, Ikeda M, Ishigaki T, Sakuma S.Evaluation of thyroid calcification using computed radiography with image plate. Eur J Radiol, 1989;9:22-28.
- Takehara Y, Takahashi M, Isoda H, Niwa H, Mizuno T, Kaneko M. Gastrointestina visualization during xenon-133 ventilation study in a patient with tracheoesophageal fistula. J Nucl Med. 1989 Feb;30(2):258-259.
- Takehara Y, Takahashi M, Isoda H, Kaneko M, Mochizuki K, Yuasa H, Aiba K, Kawaguchi K. Adult intussusception with an appendiceal mucocele diagnosed by CT and ultrasonography. Radiat Med. 1989;7(3):139-142.
- Takehara Y, Takahashi M, Isoda H, Kaneko M, Sakai T, Tanaka T, Sato H,Yamamoto T. Scintigraphic evaluation of brain death with 99mTc-d,l-hexamethyl-propyleneamine oxime (HMPAO). Radioisotopes. 1989;38(8):335-338.
1988
- Ishigaki T, Sakuma S, Watanabe M. Computer-assisted rotation and multiple stationary irradiation technique.Newly designed overrunning multi-leaf collimators for conformation radiotherapy. Eur J Radiol, 1988;8:76-81.
- Ishigaki T, Sakuma S, Ikeda M. One-shot dual-energy subtraction chest imaging with computed radiography: clinical evaluation of film images. Radiology, 1988;168:67-72.
- Takehara Y, Takahashi M, Fukaya T, Kaneko M, Koyano K, Sakaguchi S. Computed tomography of isolated dissecting aneurysm of superior mesenteric artery. J Comput Assist Tomogr., 1988;12(4):678-680.
1987
- Shimamoto K, Sakuma S, Ishigaki T, Makino N. Intratumoral blood flow: evaluation with color Doppler echography. Radiology, 1987;165:683-685.

